1Departamento de Endocrinología. Facultad de Medicina. Pontificia Universidad Católica de Chile.
a Residente Endocrinología. Departamento de Endocrinología. Facultad de Medicina. Pontificia Universidad Católica de Chile.
Correspondencia a: Dra. Soledad Velasco L. Departamento de Endocrinología. Facultad de Medicina. Pontificia Universidad Católica de Chile. Lira 85, piso 5. Santiago, Chile. Fono: (56-2) 354-3095. Fax: (56-2) 638-5675. mvelascl@ uc.cl.
Recibido el 16 de octubre, 2007.
Aceptado el 13 de noviembre, 2007.
ACTH Independent Cushing syndrome, involving both adrenal glands, represents a minority of endogenous hyperadrenocorticisms and is caused by infrequent diseases. ACTH independent macronodular adrenal hyperplasia (AIMAH) is one of them and is caused by aberrant cortical adrenal receptors expression that are able to stimulate cortisol secretion. We report a 62 years old male, presenting with hypertension, weight gain, urinary lithiasis and osteopenia. The diagnosis of Cushing’s syndrome was made with a morning cortisol level after 1 mg nocturnal dexamethasone of 8.2 ug / dL. Urinary free 24 hour cortisol levels were normal, circadian rhythm of cortisol was maintained and ACTH was <5 pg / mL. Abdominal magnetic resonance imaging showed bilateral nodular adrenal enlargement. The functional study, looking for abnormal receptors, showed a potent cortisol secretory response after stimulation with vasopressin.
(Key words: ACTH independent macronodular adrenal hyperplasia; Cushing syndrome; aberrant expression of receptors adrenal; vasopressin, hypercortisolism)
Introducción
El Síndrome de Cushing (SC) independiente de ACTH constituye el 15 al 20% de los hipercortisolismos endógenos en adultos, siendo principalmente debido (90%) a enfermedad suprarrenal unilateral. Dentro del restante 10%, con compromiso suprarrenal bilateral, existe la Hiperplasia Suprarrenal Macronodular bilateral Independiente de ACTH (HSMIA), siendo una enfermedad muy poco frecuente y que corresponde a menos del 1% de los SC endógenos. Las manifestaciones clínicas ocurren entre la quinta y sexta década de la vida, con un promedio de 51 años de edad. El diagnóstico en la mayoría de los casos se hace en un paciente con SC independiente de ACTH y con imágenes suprarrenales nodulares bilaterales de hasta 4 cm., aunque en una minoría el compromiso puede ser asimétrico.
En general se presenta en forma esporádica, aunque existen casos familiares publicados. Fisiopatológicamente se debe a la expresión de receptores aberrantes en la corteza suprarrenal, cuyo ligando, diferente del ACTH, es capaz de activar, independientemente de la tropina, la cascada de la esteroidogénesis. Así, la secreción de cortisol puede estar regulada por diversas hormonas como péptido inhibitorio gástrico (GIP), noradrenalina (NA), angiotensina II (AII), vasopresina (AVP), serotonina (5HT) y hormona luteinizante (LH). La identificación de estos receptores de membrana anormales en SC suprarrenal, ha abierto nuevas alternativas de control del hipercortisolismo.
Dada la rareza de este cuadro clínico comunicamos el caso de un paciente con hipercortisolismo independiente de ACTH, con HSMIA debida al estímulo aberrante de vasopresina. Se discute también el diagnóstico y la opción terapéutica.
Caso Clínico
Hombre de 62 años, con antecedentes de tiroidectomía total en 1998 por adenoma folicular y dislipidemia en tratamiento desde 2001. A los 58 años, por hipertensión arterial, inicia tratamiento con losartán 50 mg, agregando luego atenolol 50 mg e hidroclorotiazida 12.5 mg. Se constató aumento de 13 kg. de peso en 3 años.
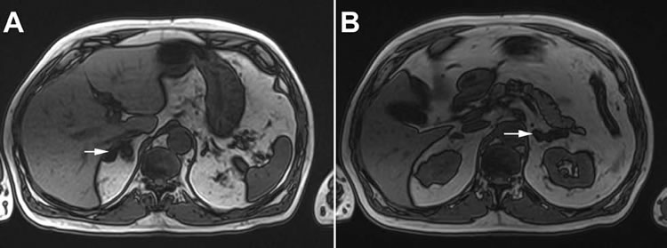
Por litiasis renal, se realizó Pielo-TAC que, además de litiasis calicilar y ureteral derecha, mostró nódulos suprarrenales bilaterales. La densitometría ósea certificó osteopenia moderada de ambas caderas (T score -1.4). Una resonancia magnética de abdomen confirmó el engrosamiento polinodular de ambas glándulas suprarrenales, con un nódulo predominante de 2 cm a derecha. La imagen radiológica era compatible con hiperplasia suprarrenal macronodular (Figura 1). Con la sospecha de SC se midió cortisol libre urinario de 24 horas (CLU) que fue 48.2 ug/24 h (VN<90) y cortisol plasmático 9 am: 22.4 ug/dL. La dosis nocturna de 1 mg de dexametasona no suprimió el cortisol matinal (8.2 ug/dL), pero se constató mantención del ritmo circadiano de cortisol (09 h: 12.4 ug/dL, 16 h: 7.6 ug/dL, 23 h: 5.2 ug/dL).
Al examen físico presentaba buen estado general, Índice de Masa Corporal de 29 con distribución central de tejido adiposo, presión arterial 130/80 mmHg (en tratamiento), pulso regular de 70 lpm. No se detectó pigmentación cutánea anormal, relleno supraclavicular, estrías violáceas ni atrofia muscular. Para completar el estudio se efectuó test de Liddle que confirmó SC (CLU 24 h basal= 52.1 ug; dosis baja de dexametasona= 27.7 ug; dosis alta de dexametasona= 24.5 ug), pero independiente de ACTH (<5 pg/mL).
Con el diagnóstico presuntivo de HSMIA se realizó estudio funcional en busca de receptores suprarrenales eutópicos sobreexpresados o ectópicos aberrantes, utilizando pruebas funcionales para evidenciar la eventual relación de cortisol ante el estímulo o el bloqueo de los siguientes receptores: a) GIP; b) 5TH; c) AII; d) adrenérgico beta (Rß); e) AVP (Tabla 1). La prueba postural, que consiste en medir cortisol y ACTH en decúbito supino estricto y después de deambulación, demostró aumento sobre los valores de reposo, de 86% para el cortisol y 20% para ACTH (Figura 2A); esta respuesta se interpretó como positiva, sin discriminar cuál de los receptores involucrados en esta prueba (AII, ß, AVP) era el responsable del estímulo de cortisol. Para una aproximación más específica y discriminatoria, se realizaron pruebas diferenciales para cada uno. El estímulo con vasopresina (10 U im), después de dar 1 mg de dexametasona a las 23 horas del día anterior, generó un aumento de 282% de cortisol y de 0% de ACTH (Figura 2B).
Se somete a cirugía laparoscópica para adrenalectomía derecha; esta glándula representaba 2/3 de la masa suprarrenal total. La glándula derecha pesó de 10.5 gramos y la histología reveló hiperplasia marcada de toda la corteza suprarrenal, pero especialmente de la zona fasciculata.
El paciente evolucionó en buenas condiciones, con mejor control de sus cifras tensionales, permitiendo obtener su control sólo con monoterapia.
A un año de la cirugía ha mantenido el peso corporal y la estabilidad de la presión arterial (125/70 mmHg) con 10 mg de amlodipino. Sus exámenes de control son: cortisol plasmático 9 am: 12.5 ug/dL; CLU: 59.6 ug/24 h y cortisol 9 am suprimido con 1 mg de dexametasona la noche anterior: 2.9 ug/dL. En la densitometría ósea hay estabilidad de la osteopenia de ambas caderas (T score -1.3). La RM de abdomen mostró el mismo aspecto nodular de la glándula suprarrenal izquierda, hasta 1 cm. de grosor, sin cambios respecto a la imagen preoperatoria.
Discusion
El caso que comunicamos corresponde a un paciente de 62 anos, con diagnostico de SC de etiologia suprarrenal, con crecimiento multinodular bilateral. La busqueda etiologica demostro respuesta positiva, con aumento de cortisol ante el estimulo postural (prueba positiva: cortisol .50%) y, especificamente, ante el estimulo de vasopresina exogena. La respuesta de cortisol fue independiente de ACTH, ya que esta nunca aumento significativamente respecto del valor basal. El diagnostico de SC se hizo a partir de la no supresibilidad de cortisol en los test con dexametasona (Nugent y Liddle), pero llamo la atencion, en esta circunstancia patologica, la mantencion de un ajustado ritmo circadiano de cortisol.
En los últimos años diversos grupos han identificado mecanismos fisiopatológicos que explican el hipercortisolismo en HSMIA. En estos casos la expresión aberrante de diferentes receptores de membrana en la corteza suprarrenal permite que la unión de sus ligandos estimule la esteroidogénesis a través de la misma cascada en que actúa ACTH1,2. De este modo, la secreción de cortisol es regulada también, por otras hormonas distintas de ACTH, ya sea mediante la estimulación de receptores ectópicos (no presentes normalmente en la glándula suprarrenal) o de receptores eutópicos (expresados normalmente en escasa cantidad), sin relación con la esteroidogénesis. Hasta este momento se ha estudiado la expresión aberrante de receptores para GIP, NA, AII, AVP, 5HT y LH (3-5). La estimulación de estos receptores mediante ligandos endógenos escapa al mecanismo de retroalimentación normal de ACTH. Si bien se ha aclarado el mecanismo fisiopatológico, aún no se sabe la etiología inicial que desencadena esta alteración6.
En los casos de HSMIA la mayoría de los receptores de membrana están acoplados a proteína G, haciendo que su expresión anormal en la corteza suprarrenal sea responsable de la hiperplasia y del hipercortisolismo. La expresión de estos receptores de membrana llevaría a una esteroidogénesis descontrolada y a una proliferación celular que escapa a los mecanismos de regulación fisiológicos7.
Nuestro paciente ilustra una respuesta anormal al estímulo con vasopresina que puede estar dada, ya sea por la expresión aberrante de un tipo de receptor de vasopresina, por sobreexpresión de un receptor eutópico de vasopresina, acoplamiento más eficiente del receptor a las vías esteroidogénicas o la combinación de ellos8,9. Existen tres tipos de receptores de vasopresina: el tipo 1 se expresa normalmente en vasos sanguíneos y en la glándula suprarrenal; el tipo 2 lo hace exclusivamente en el túbulo colector del riñón y el tipo 3 se expresa en la hipófisis y en la médula suprarrenal. En los casos de SC suprarrenal independiente de ACTH, con respuesta a vasopresina, con adenoma o con HSMIA, en la mayoría de ellos se ha encontrado que el receptor V1 tiene su expresión aumentada o normal al comparar con controles sanos, sin demostrar mutaciones del receptor ni de su promotor10,12. En la actualidad el único tratamiento disponible y efectivo para esta patología, es la suprarrenalectomía uni o bilateral, con un estrecho seguimiento en el caso de cirugía unilateral, ya que se ha descrito que puede haber una reactivación del cuadro por la glándula remanente13.
Es de gran trascendencia la identificación de los receptores hormonales aberrantes en la glándulas suprarrenales de pacientes con hiperplasia e hiperproductores de cortisol, ya que ello, hoy en día, puede abrir la oportunidad para tratamientos específicos como alternativa a la adrenalectomía, usando moléculas que inhiban la producción del ligando endógeno o antagonicen al receptor. En esta línea y según el tipo de receptor involucrado, se han probado distintos tratamientos, como octreotide para bloquear la liberación postprandial de GIP, bloqueadores del receptor adrenérgico ß y AII, acetato de leuprolide para bloquear la secreción de LH y antagonistas del receptor de vasopresina tipo 11,12. Sin embargo, pese a la disminución de secreción de cortisol, no han mostrado eficacia clínica mantenida ni regresión del tamaño tumoral, Figura 1. RM con crecimiento polinodular de ambas glándulas suprarrenales (flechas) al momento del diagnóstico de HSMIA (A. derecha y B. izquierda). La RM de control, un año después de la suprarrenalectomía derecha, no mostró variación de la suprarrenal izquierda. siendo posible que existan otros mecanismos genéticos o vías involucradas en la proliferación celular.
Se debe pensar en esta patología cuando, además del cuadro clínico sugerente, existe falta de supresión a la dexametasona con CLU normal e incluso mantención del ritmo circadiano de cortisol. El CLU normal no invalida el dato de no supresibilidad. La imagen suprerrenal debe corroborar el aumento nodular de una o las dos suprarrenales.

Figura 2A. Respuesta de cortisol y ACTH en la prueba postural.
TABLA 1. Pruebas funcionales para la búsqueda de otros receptores involucrados.

Referencias