Rev. chil. endocrinol. diabetes 2011; (1)    Volver a Índice

 

Casos Clínicos

Síndrome de carcinoide con manifestación inicial a nivel valvular cardíaco. A raíz de un caso clínico

Álvaro Ríos S1., Jesús Véliz1,2, Claudio Parra1,3 y Nelson Wohllk1,2

 

Carcinoid syndrome presenting as valvular disease. Report of one case

1Sección Medicina Interna. Hospital del Salvador.
2Sección Endocrinología. Hospital del Salvador. Universidad de Chile, División Oriente.
3Sección Cardiología. Hospital del Salvador.


Correspondencia a:
Álvaro Ríos S.
Hospital del Salvador.
Avda. Salvador 364,
Providencia, Santiago, Chile.
Fax: 02-5753533
E-mail: alvarorios82@gmail.com


Recibido: 23 de Noviembre de 2010
Aceptado: 10 de Diciembre de 2010

Carcinoid syndrome is observed in one third of carcinoid tumors and usually appears when there are liver metastases. One of the main complications of this syndrome is the appearance of tricuspid or pulmonary valvular disease. We report a 56 years old male presenting with malaise and a weight loss of 10 kg. On physical examination, a heart murmur suspicious of a double tricuspid lesion was found. The echocardiogram was suggestive of a carcinoid valvular disease. The abdominal CAT scan showed a small bowel tumor. Urinary 5-hydroxy-indol- acetic acid values were highly elevated. The patient was subjected to excision of the distal ileum, liver metastasectomy and hemicolectomy. The pathological study of the surgical piece confirmed the diagnosis of carcinoid tumor. Two years after surgery, the patient is in stable conditions.
Key words: carcinoid syndrome, carcinoid heart disease, 5-hydroxyindoleacetic acid (5-HIAA).

Introducción
El tumor carcinoide proviene de células neuroendocrinas las cuales se caracterizan histológicamente por reaccionar positivamente a la tinción con plata y marcadores de tejido neuroendocrino, incluyendo la enolasa neuroespecífica, sinaptofisina y cromogranina. A la microscopia electrónica, los tumores carcinoides contienen numerosos gránulos neurosecretorios unidos a la membrana celular. Estos gránulos están compuestos de una variedad de hormonas y aminas biogénicas1,2. Aproximadamente el 90% de los tumores se localiza en el intestino delgado, principalmente en el íleon terminal y apéndice; con menor frecuencia se ubican en bronquios y gónadas2. Se describe una incidencia de 1,2 a 2,1 por 100,000 habitantes3. Al momento del diagnóstico, sólo un 20 a 30% de los pacientes presentan síndrome carcinoide (SC), causado por la producción tumoral de sustancias vasoactivas que incluyen serotonina, 5-hidroxitriptofano, histamina, bradiquinina, taquiquininas y prostaglandinas4.

Clínicamente el SC se caracteriza por episodios de vasodilatación cutánea o "flushing", diarrea secretora y espasmo bronquial. La presencia de SC refleja habitualmente diseminación de la enfermedad. El 50-60% de estos pacientes desarrolla lesiones cardíacas que clásicamente se describen como un engrosamiento fibroso en placa del endocardio, que afecta predominantemente las válvulas del lado derecho5. La cardiopatía carcinoide es la forma de presentación inicial en el 20% de los casos de carcinoide metastásico4.

Comunicamos el caso de un paciente con tumor carcinoide metastático y síntomas iniciales inespecíficos, cuyo diagnóstico se realizó en base a los hallazgos clínicos derivados de la cardiopatía.

Caso clínico

Hombre de 56 años de edad, con antecedente de patología hemorroidal en controles regulares con coloproctólogo. Presentó un cuadro de 6 meses de evolución de decaimiento, fatiga, dolor abdominal vago y baja de peso de 10 kg. En control de rutina se pesquisa un soplo holosistólico en el foco tricúspide acompañado de rodada diastólica, por lo que se solicitó ecocardiograma, ecografía abdominal, y se derivó a cardiología. Los exámenes de laboratorio generales resultaron normales (Tabla 1). La ecografía abdominal mostró múltiples lesiones focales hepáticas con aspecto de hemangiomas y colelitiasis.

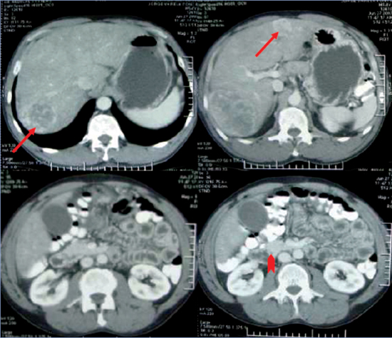
Se realizó Tomografía Computarizada (TC) de abdomen y pelvis con contraste que mostró numerosas lesiones nodulares hepáticas con características de "hemangiomas": una lesión en segmento VII de 9,3 cm, otra en segmento V de 3,5 cm, dos lesiones en segmento II de 3,3 cm y 5,7 cm, y otra en segmento IV de 1,8 cm; además colelitiasis y masa en mesenterio a derecha que comprimía un asa de intestino delgado sin plano de separación, sugerente de neoplasia de intestino delgado (Figura 1).

Tabla 1. Exámenes de laboratorio

Figura 1. TC abdominal con contraste que revela la presencia de múltiples lesiones nodulares hepáticas (flechas) y una masa que engruesa el mesenterio y reduce parcialmente el lumen del íleon terminal (punta de flecha).


El ecocardiograma reveló válvula mitral con velos densos y buena apertura, válvula aórtica normal, ventrículo izquierdo de diámetros y motilidad normales, FEVI conservada. Aurícula derecha notoriamente dilatada (33 cm2), ventrículo derecho dilatado en grado moderado a pronunciado. Válvula tricúspide con velos engrosados y rígidos, apertura disminuida, cierre incompleto, y reflujo marcado. Válvula pulmonar engrosada con apertura disminuida y cierre incompleto.

Por los hallazgos ecocardiográficos señalados se planteó la posibilidad de valvulopatía carcinoide. El ácido 5 hidroxi-indol acético (5HIAA) resultó 816 μmol/24 h (V.N: < 34 μmol/24 h), lo que avaló el diagnóstico de SC. Al interrogatorio dirigido el paciente refería episodios aislados de deposiciones líquidas y "flushing" facial; mantenía una capacidad funcional normal.

Para la localización del tumor primario y otras posibles localizaciones secundarias se solicitó cintigrama con In111 octeotride-DOTATOC, el que reveló nódulos hepáticos y captación en flanco derecho con receptores activos de somatostatina, y PET-CT Ga-68 DOTATATE que mostró hipercaptación multifocal en hígado e intestino delgado; ambos imágenes eran compatibles con carcinoide de íleon terminal con metástasis hepáticas (Figura 2). La radiografía de tránsito intestinal también ubicó la lesión a nivel del íleon distal.

Figura 2. PET-TC Ga-68 DO-TATATE muestra hipercaptación multifocal en hígado e intestino delgado (flecha) compatible con carcinoide metastásico.


Se efectuó la resección del segmento de íleon distal, colecistectomía, metastásectomía hepática y hemicolectomía derecha. Se encontraron cinco tumores hepáticos, ovalados y pediculados en segmentos II, V, VI y VII, y un tumor a nivel del mesenterio entre íleon distal y colon ascendente. La biopsia rápida fue positiva para tumor neuroendocrino.
El informe definitivo de la biopsia reveló: cáncer nodular polipoídeo de íleon (primario) de 2,5 x 1,5 cm, correspondiente a carcinoma neuroendocrino bien diferenciado que infiltra tejido adiposo de mesenterio; 3 de 10 adenopatías eran positivas para compromiso tumoral, además de 2 metástasis mesentéricas, con muestras hepáticas positivas para carcinoma neuroendocrino. Los bordes de sección estaban libres.

En control ambulatorio efectuado al mes del alta refiere importante regresión de la sintomatología, con 5-HIAA de control de 50 μmol/24 h. Repetido el PET/CT Ga-68 DOTATATE mostró lesión focal hepática hipercaptante en segmento VIII-IVA, compatible con metástasis de tumor neuroendocrino, persistente respecto al estudio inicial. El ecocardiograma no señaló variación respecto al estudio previo. En control clínico a los 2 años el paciente se encuentra estable.

Discusión

La cardiopatía valvular carcinoide se caracteriza por depósitos en placa de tejido fibroso en el endocardio, lo que típicamente ocurre en las válvulas derechas del corazón. Histológicamente estas placas están constituidas por miofibroblastos, células musculares lisas, y matriz extracelular.

Habitualmente se produce regurgitación tricuspídea y menos frecuentemente estenosis, y, a nivel de la válvula pulmonar, una mezcla de estenosis y regurgitación. El compromiso izquierdo ocurre en menos del 10% de los casos y se caracteriza por engrosamiento valvular con regurgitación.

En la mayoría de los casos, la cardiopatía carcinoide se asocia a la presencia de metástasis hepáticas ya que el crecimiento tumoral a este nivel permite que las sustancias vasoactivas eludan la inactivación metabólica hepática. Menos frecuentemente ocurre en tumores ováricos, donde sus productos no llegan a la circulación portal4.

El compromiso predominantemente derecho se explica porque el pulmón filtra e inactiva los productos del tumor antes que lleguen a la aurícula izquierda. El compromiso del lado izquierdo del corazón puede observarse en carcinoides bronquiales, en presencia de comunicación de derecha a izquierda, y en casos graves y mal controlados4.

La exposición a altas concentraciones circulantes de serotonina sería responsable del compromiso cardíaco. Los pacientes con cardiopatía carcinoide tienen niveles 2 a 4 veces más altos de serotonina plasmática, plaquetaria, y de excreción urinaria de 5-HIAA6.

El diagnóstico del SC se basa en la presencia de "flushing", diarrea y espasmo bronquial, acompañado de niveles elevados de 5-HIAA urinario en 24 horas. Ante estos hallazgos es fundamental el estudio de imágenes para determinar la localización del tumor primario y la búsqueda de metástasis.

La CT describe a la mayoría de las metástasis hepáticas como lesiones focales hipervasculares. Más del 90% de los tumores carcinoides expresan una alta concentración de receptores de somastostatina, por lo que el estudio de imágenes con análogos de octeótrido radiomarcado puede contribuir al diagnóstico topográfico, además de predecir la respuesta a una eventual terapia con análogos de somatostatina7.

El uso de PET-CT Galio-68 es efectivo cuando las imágenes convencionales y el PET-CT con 18-FDG no han sido capaces de ubicar el tumor primario8.

La cardiopatía carcinoide puede ser de difícil diagnóstico; las valvulopatías tricuspídea y pulmonar en grado de moderada a marcada gravedad pueden ser bien toleradas por meses. Las evidencias clínicas de insuficiencia cardíaca derecha aparecen en fase avanzada de la enfermedad, por lo que se recomienda realizar un ecocardiograma en todos los pacientes con SC.

La extensión y gravedad de la cardiopatía es el principal predictor de la evolución clínica. Se ha visto que a mayor excreción urinaria de 5-HIAA mayor es la velocidad de progresión de la enfermedad cardíaca9.

El tratamiento en la fase inicial de la enfermedad consiste en la resección quirúrgica del tumor primario, la que, en ausencia de metástasis, suele ser curativa. En la enfermedad metastásica el manejo está orientado a paliar los síntomas. El uso de análogos de somatostatina, como el octeótrido, puede controlar los síntomas hasta en un 80% de los pacientes, y en algunos casos detener el crecimiento tumoral10.

El interferón alfa ha demostrado ser efectivo en algunos casos resistentes a análogos de somatostatina, sin embargo, por sus efectos adversos su uso es limitado. No hay evidencia que demuestre la utilidad de los análogos en la prevención y la progresión de la cardiopatía carcinoide7.

En los pacientes con cardiopatía carcinoide el manejo está orientado al tratamiento de la falla cardíaca; en casos seleccionados, la plastía con balón y la cirugía de reemplazo valvular son opciones posibles. La resección de las metástasis hepáticas ha demostrado que puede disminuir la progresión de la enfermedad cardíaca y mejorar el pronóstico a largo plazo10.

Otras alternativas que se están estudiando están dirigidas contra el factor de crecimiento vascular endotelial (VEGF), presente en altas cantidades en estos tumores. Entre las drogas, tanto Bevacizumab, Sunitinib y Talidomida han demostrado cierta utilidad7.

El uso terapéutico de análogos radioactivos de somatostatina como MIBG, Indium111, Ytrium90 y Lu77, han demostrado, en estudios iniciales, reducción del tamaño tumoral y mejoría clínica hasta en un 60% de los casos, aunque con importantes efectos adversos7.

En resumen, presentamos el caso de un paciente con SC en que se llegó al diagnóstico en base a los hallazgos clínicos de la enfermedad cardíaca. El estudio de imágenes con análogos radiomarcados de somatostatina permitió delimitar las lesiones y proponer un tratamiento quirúrgico de las metástasis hepáticas, orientado a disminuir la progresión de la cardiopatía y mejorar su pronóstico a largo plazo.

Se plantea la importancia de considerar esta patología dentro del diagnóstico diferencial de las valvulopatías primarias, en especial la tricuspídea y pulmonar, ya que los síntomas clásicos del síndrome carcinoide pueden ser bien tolerados en algunos pacientes, y no constituir motivo de consulta, aún en presencia de enfermedad avanzada.

Referencias

  1. Kulke MH, Mayer RJ. 1999. Carcinoid Tumors. N Engl J Med 340: 858- 868.
  2. Fox DJ, Khattar RS. 2004. Carcinoid heart disease: presentation, diagnosis, and management. Heart 90: 1224–1228.
  3. Modlin IM, Sandor A. 1997. An analysis of 8305 cases of carcinoid tumors. Cancer 79: 813-829.
  4. Bernheim A, Connolly M, Hobday TJ, Abel MD, Pellikka P. 2007. Carcinoid Heart Disease. Prog Cardiovasc Dis 49: 439-451.
  5. Moller JE, Pellikka P, Bernheim A, et al. 2005. Prognosis of carcinoid heart disease: analysis of 200 cases over two decades. Circulation 112: 3320.
  6. Robiolio PA, Rigolin VH, Wilson JS, et al. 1995. Carcinoid heart disease. Correlation of high serotonin levels with valvular abnormalities detected by cardiac catheterization and echocardiography. Circulation 92: 790-795.
  7. Matthew H. Kulke. 2007. Clinical Presentation and management of carcinoid tumors. Hematol Oncol Clin N Am 21: 433-455.
  8. Amaral H, Pruzzo R, Redondo F, Gil MC, Pizarro A, de la Fuente H, Butte JM, Coudeu TM. 2009. Detection of neuroendocrine tumors by positron emission tomography-computed tomography with 68Ga-DOTATATE: report of one case. Rev Med Chile 137 (4): 537-541.
  9. Moller JE, Connolly HM, Rubin J, et al. 2003. Factors associated with progression of carcinoid heart disease. N Engl J Med 348: 1005-15.
  10. Bernheim A, Connolly H, Rubin J, Moller J, Scott C, Nargoney D, Pellinkka P. 2008. Role of hepatic resection for patients with carcinoid heart disease. Mayo Clin Proc 83 (2): 143-150.