Rev. chil. endocrinol. diabetes 2021; 14 (1)    Volver a Índice

 

Caso clínico

Insulinoma simulando una epilepsia: Reporte de caso

Luis Núñez1*, DaríoPerdomo2, Lina Garzón3.

 

Insulinoma simulating epilepsy: Case report

1. Cirujano general y hepato-biliar. Clínica Medilaser S.A de Neiva, Huila. Colombia

2. Cirujano general y hepato-biliar. Clínica Medilaser S.A de Neiva, Huila. Colombia

3. Médico general. Clínica Medilaser S.A de Neiva, Huila. Colombia.

 

*Correspondencia: Luis Núñez R. / md.lucho@gmail.com

Médico Cirujano, Universidad Nacional de Colombia. Cirujano General. Universidad Surcolombiana.

Fellowship en trasplante de hígado y páncreas, Universidade Federal de São Paulo, Brasil. Epidemiología clínica, Universidad Surcolombiana.

ORCID ID: 0000-0002-1153-3086.

Dirección postal: 410010.

Teléfono: + 57 317 830 9317.

 

Conflicto de intereses: No existe conflicto de intereses en este manuscrito.

 

Fuentes de financiación: Recursos propios, no hubo apoyo financiero.

 

Recibido: 07-08-2020

Aceptado: 08-10-2020

Resumen: Insulinoma es un tumor neuroendocrino que surge de las células β del páncreas y produce hiperinsulinemia endógena. Son neoplasias raras con una incidencia reportada de 4 casos por millón de habitantes por año. La presentación clínica típicamente cursa con síntomas adrenérgicos y neuroglucopénicos secundarios a hipoglicemia. Requiere estudios de niveles séricos de insulina, pro-insulina y péptido C, además de imágenes diagnosticas que confirmen los hallazgos. La mayoría de los insulinomas son benignos, su sitio primario más común es el páncreas y pueden extirparse quirúrgicamente. Se presenta el caso de un hombre de 36 años con déficit cognitivo leve y episodios de diaforesis con deterioro neurológico hasta convulsiones tónico clónicas generalizadas que curiosamente resolvían con uso doméstico de “panela molida”. Se ingresó a urgencias por ataques recurrentes de hipoglicemia severa con requerimiento de altas dosis de dextrosa al 50% por acceso central, hasta confirmación diagnóstica, intervención y resección de tumor neuroendocrino pancreático bien diferenciado (G1 según clasificación OMS) tipo insulinoma en la cola del páncreas.

Palabras clave: Epilepsia; Hiperinsulinismo; Hipoglicemia; Insulinoma; Tumor neuroendocrino.

 

Abstract: Insulinoma is a neuroendocrine tumor that arises from the β cells of the pancreas and produces endogenous hyperinsulinemia. They are rare neoplasms with a reported incidence to 4 cases per million inhabitants per year. The clinical presentation typically presents with adrenergic and neuroglycopenic symptoms secondary to hypoglycemia. It requires studies of serum levels of insulin, pro-insulin and C-peptide, in addition to diagnostic images that confirm the findings. Most insulinomas are benign, their most common primary site is the pancreas, and they can be removed surgically. We present the case of a 36-year-old man with mild cognitive deficits and episodes of diaphoresis with neurological deterioration to generalized clonic tonic seizures that curiously resolved with domestic use of “ground brown sugar”. He was admitted to the emergency department due to recurrent attacks of severe hypoglycemia with a high-dose requirement for 50% dextrose through central access, until diagnostic confirmation, intervention, and resection of a welldifferentiated pancreatic neuroendocrine tumor (G1 according to WHO classification) insulinoma in the tail of pancreas.

Key words: Epilepsy; Hyperinsulinism; Hypoglycemia; Insulinoma; Neuroendocrine tumor.

Introducción

Insulinoma es un tumor neuroendocrino que surge de las células β del páncreas y provoca un estado hiperinsulinico hipoglucémico endógeno. Son neoplasias raras con una incidencia reportada de 4 casos por millón de habitantes por año, representa el 2% de todas las neoplasias del tracto gastrointestinal y hasta un 10% de los insulinomas pueden ser parte del síndrome de neoplasia endocrina múltiple tipo 1 (MEN1)1,2. La mayoría de los insulinomas son benignos, su sitio primario más común es el páncreas, la ubicación extra pancreática es muy rara con una incidencia del 2% siendo la pared del duodeno la ubicación más común3. Se diagnostica a una edad promedio de 45 años y es más frecuente en las mujeres con el 60% de los casos reportados4. Durante el pico de insulina producido por estos tumores, característicamente se presenta con síntomas adrenérgicos y neuroglucopénicos. Los síntomas adrenérgicos comprenden temblores, ansiedad, diaforesis y palpitaciones, también pueden presentarse síntomas neuroglucopénicos, que incluyen confusión mental, cambios visuales, cambios en el nivel de conciencia y convulsiones. En 1935, el cirujano Allen Whipple describió por primera vez las manifestaciones clínicas de los insulinomas pancreáticos consistente en una tríada clásica compuesta de síntomas de hipoglicemia, evidencia de glucosa plasmática menor a 50 mg/ dL y resolución de los síntomas después de la administración de glucosa4,5. Requiere evaluar niveles de insulina, péptido C y pro-insulina, además de identificar la lesión tumoral por medio de imágenes diagnósticas. El abordaje quirúrgico es la única opción terapéutica curativa para los tumores neuroendocrinos pancreáticos4.

tecedente de déficit cognitivo leve y cuadro clínico de 4 años de evolución aproximadamente consistente en episodios convulsivos que curiosamente mitigaban con administración de “panela” molida, es valorado por neurología quien decide inicio de anticonvulsivante con levetiracetam. Es ingresado al servicio de urgencias en primer nivel por presentar deterioro progresivo del estado de consciencia, diaforesis difusa, palidez mucocutánea generalizada hasta episodios convulsivos tónicoclónicos generalizados sin recuperación inter crisis y evidencia de glucometría capilar de 25 mg/dl, por lo que se administran bolos continuos de dextrosa al 10% y benzodiacepinas. Posteriormente presenta deterioro del patrón respiratorio por lo que se procede a proteger la vía aérea con intubación orotraqueal (IOT) y se remite a tercer nivel de complejidad donde se inicia dextrosa al 50% por acceso central a razón de 7 a 10 gramos/hora con mejoría parcial del estado mental. Se solicitó radiografía de tórax con evidencia de neumonía broncoaspirativa con compromiso multilobar en hemitórax derecho por lo que se inicia cubrimiento antibiótico. Fue valorado por el servicio de medicina interna y endocrinología, quienes determinaron hipoglicemia en paciente no diabético con clínica compatible con triada de Whipple por lo que se consideró hiperinsulinismo endógeno, como primera posibilidad diagnostica insulinoma por lo que se iniciaron estudios de extensión donde se encontraron niveles elevados de insulina y péptido C (Tabla 1), además de resonancia nuclear magnética (RNM) de abdomen con evidencia de lesión focal de aproximadamente 27 x 24 mm en la cola del páncreas (Figura 1).

Laboratorio Resultado Valor de referencia
Niveles de insulina 130.3 uUI/L 2.6 a 25 uUI/L
Pro insulina 19.4 pmol/L Menor o igual a 18.8 pmol/L
Peptido C 8.4 ng/ml 1,1 a 4.4 ng/ml
CPK total 562.4 24 a 195
Anticuerpos anti-insulina 0.10 Menor a 0.95
Sulfonilureas en suero Negativo para Glibenclamida,
Glicazida, Glimepririda, Gliquidona,
Glipzina, Torbutamina
 

 

Durante la hospitalización presenta bacteriemia asociada a catéter con aislamiento de Staphylococcus Haemolyticus, por lo que infectología indicó cambio del sitio de inserción del catéter venoso central y cubrimiento antibiótico con piperacilina/tazobactam, vancomicina y meropenem con resolución del cuadro infeccioso.

Es valorado por el equipo de cirugía hepato-biliar y se programa abordaje quirúrgico con impresión diagnóstica de insulinoma, se indica vacunación pre quirúrgica para neumococo dada la posibilidad de esplenectomía según la extensión de la lesión en los hallazgos operatorios. Se realiza cirugía con hallazgos intra operatorios de lesión tumoral en el cuello del páncreas de 3 x 3 cm aproximadamente, adherido a vasos esplénicos, el cual es resecado sin complicaciones (Figura 2), no se evidencia compromiso ganglionar retroperitoneal ni otras lesiones. Requirió vigilancia post operatoria en la unidad de cuidados intensivos (UCI) con evolución clínica satisfactoria por lo que se dio egreso al día 17 de hospitalización.

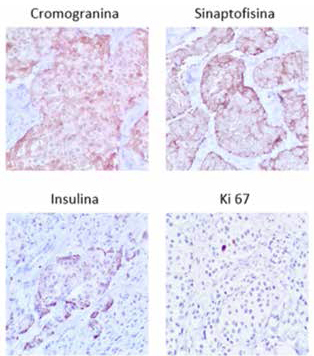
El paciente se presenta al control post operatorio de forma ambulatoria sin quejas con reporte de patología que describe lesión compatible con un tumor neuroendocrino bien diferenciado (Grado 1 según la clasificación de la OMS) con tamaño de 3.5 x 3 x 3 cm el cual infiltra el tejido adiposo peri pancreático con evidencia de invasión linfovascular y metástasis en 3 ganglios linfáticos, borde de sección pancreático sin evidencia de células neoplásicas a 3 cm, la omentectomía sin evidencia de neoplasia (Figura 3). Se determinó que la estadificación patológica del paciente era pT3 pN1(3/5) pMx. L(1). V(1), Pn(0). R(0) de acuerdo con la American Joint Committee on Cancer/Unio Internationalis Contra Cancrum (AJCC/ UICC). Se realizan estudios de inmunohistoquímica en el que se observa reactividad para cromogranina y sinaptofisina de forma granular y citoplasmática, así como positividad focal para insulina. No se observó reactividad para glucagón ni citoqueratinas AE1/ AE3. El índice de proliferación Ki-67 fue del 2% (Figura 4).

Figura 1: Resonancia nuclear magnética de abdomen. Lesión focal en la cola pancreática por sus características pudiendo corresponder a lesión de origen neuroendocrino.

Figura 1: Estudio de coloración básica en espécimen con resección de márgenes. A. Metástasis ganglionar: Se observan 5 ganglios linfáticos, 3 de los cuales presentan compromiso por neoplasia. B-C. Se identifica páncreas con lesión tumoral parcialmente encapsulada constituida por nidos, acinos y trabéculas de células poligonales con núcleos centrales con cromatina en sal y pimienta y citoplasma amplio claro, dispuestas en estroma colagenizado denso. Se identifica tejido adiposo peripancreático con implantes tumorales.
Figura 1: Estudio de receptores hormonales en biopsia. A. Cromogranina. B. Sinaptofisina C. Insulinina D. Ki 67.

Discusión

La alteración del estado de consciencia representa un reto médico en el servicio de urgencias por lo que debe existir un enfoque diagnóstico estructurado en busca de la etiología. Siempre se debe descartar hipoglicemia como causa de deterioro neurológico por lo que no se debe pasar por alto la glucometría capilar, ya que es una herramienta económica y de fácil acceso en cualquier nivel de atención. Se debe determinar si el estado de hipoglicemia es endógena o exógena para definir conductas de manejo adicionales a la reposición de glucosa, enfocadas a los diagnósticos más probables.

Se debe tener una alta sospecha diagnóstica para pensar en un tumor neuroendocrino tipo insulinoma como causa de hipoglicemia por su baja incidencia de presentación6. El insulinoma puede exhibir un abanico de síntomas neuroglucopénicos que pueden variar desde confusión, cambios sutiles en el comportamiento, manifestaciones bizarras en la personalidad, amnesia y/o convulsiones que pueden aparentar trastornos neuropsiquiátricos. Por otro lado, haciendo más difícil el diagnóstico, se encontraron varios casos donde los pacientes no presentaban valores de hipoglicemia evidentes por lo que los autores concluyeron que probablemente se trataba de una respuesta de las hormonas contrarreguladoras como el glucagón y cortisol6,7,8.

Se encontró que el intervalo desde la presentación clínica hasta el diagnóstico correcto puede demorarse desde 1 mes hasta 30 años9. El diagnóstico tardío de un insulinoma puede acarrear secuelas graves a nivel cognitivo por los episodios recurrentes de hipoglicemia, que son secundarios a picos de hiperinsulinemia endógena producidos por el tumor. Antes de realizar el diagnóstico de insulinoma, este paciente estaba siendo manejado por neurología con medicamentos anticonvulsivantes para yugular las crisis de epilepsia por 4 años previo al diagnóstico correcto, así mismo se revisó la literatura donde se encontró 5 casos más tratados con medicación antiepiléptica para las convulsiones que resolvieron después de identificar el insulinoma y ejecutar la resección del tumor10,11,12,13,14.

En resumen, nosotros reportamos un caso con diagnóstico de epilepsia en manejo por neurología con anticonvulsivantes que como consecuencia de los ataques recurrentes de hipoglicemia genero un impacto negativo a nivel cognitivo. Por lo general el insulinoma es una situación benigna y curable, pero sí no se detecta a tiempo puede llegar a ser fatal por lo que enfatizamos en la importancia de evaluar las causas metabólicas en el contexto de un síndrome convulsivo y/o estado mental alterado.

Referencias

  1. Service FJ, McMahon MM, O’Brien PC, Ballard DJ. Functioning insulinoma: incidence, recurrence, and long-term survival of patients: a 60-year study. Mayo Clin Proc. 1991; 66: 711-719. https://doi.org/10.1016/S0025- 6196(12)62083-7
  2. Moaffaq M, Bassel A, Safi N, Soliman B Pancreatic insulinoma causing hypoglycemic episodes. Journal of Pediatric Surgery Case Reports. 2020; 57: 101466. https://doi.org/10.1016/j.epsc.2020.101466
  3. Okabayashi T, Shima Y, Sumiyoshi T, Kozuki A, et al. Diagnosis and management of insulinoma. World journal of gastroenterology. 2013; 19(6): 829-837. doi: 10.3748/wjg.v19.i6.829
  4. Castanha C, Da Silva N, Albuquerque M, Santa-Cruz F, et al. Surgical resection of pancreatic insulinoma during pregnancy: Case report and literature review. 2019; 61: 119-122.
  5. Wouter T Zandee, Wouter W de Herder. Insulinoma. Encyclopedia of Endocrine Diseases. 2018; 2: 1-5.
  6. Takaaki M, Takafumi Y, Daisuke Y, Toshihiko M, et al. Insulinoma with a History of Epilepsy: Still a Possible Misleading Factor in the Early Diagnosis of Insulinoma. Intern Med. 2017; 56: 3199-3204.
  7. Ding Y, Wang S, Liu J, et al. Neuropsychiatric profiles of patients with insulinomas. Eur Neurol 2010; 63: 48-51,
  8. So-Hee P, Dong Wook Kim. Insulinoma Presenting as Medically Intractable Temporal Lobe Epilepsy. Journal of Epilepsy Research. 2014; 4: 21-23.
  9. Imamura M, Nakamoto Y, Uose S, Komoto I, Awane M, Taki Y. Diagnosis of functioning pancreaticoduodenal neuroendocrine tumors. J Hepatobiliary Pancreat Sci. 2015; 22: 602-609.
  10. Patra S, Chakraborty PP, Barman H, Santra G. Acanthosis nigricans in insulinoma: before and after successful surgical enucleation. BMJ Case Rep. 2016; 2016: bcr2016218003.
  11. Halpin K, McDonough R, Alba P, Halpin J, Singh V, Yan Y. Vague neuroglycopenic complaints camouflage diagnosis of adolescent insulinoma: a case report. Int J Pediatr Endocrinol. 2016; 14: 1-6.
  12. Kao KT, Simm PJ, Brown J. Childhood insulinoma masquerading as seizure disorder. J Pediatr Child Health. 2014; 50: 319-322.
  13. Graf TG, Brändle M, Clerici T, l’Allemand D. Insulinoma: only in adults? Case reports and literature review. Eur J Pediatr. 2014; 173: 567-574.
  14. Horvath EM, Gozar H, Chira L, Dunca I, Kiss E, Pávai Z. Insulinoma diagnosed as drug-refractory epilepsy in an adolescent boy: A case report. Rom J Morphol Embryol. 2013; 54: 1147-1151.