Correspondencia:
Juan Carlos Quintana F.
Recibido: 16 de marzo de 2012
Aceptado: 16 de marzo de 2012
Los emisores gamma pueden ser subdivididos en dos grandes grupos: aquellos que emiten un solo fotón por desintegración radiactiva y los que emiten dos (esto últimos opuestos en 180° a partir de la aniquilación del positronium). Cuando se tiene dos eventos simultáneos que viajan en dirección diametralmente opuesta, la localización de la desintegración es mucho más precisa debido a que la trayectoria de los fotones puede ser calculada con gran fiabilidad mediante tomografía por emisión de positrones (PET). Con los emisores de un solo fotón, es necesario “filtrar” por medios físicos los rayos incidentes para determinar su trayectoria, lo que disminuye considerablemente la cantidad de eventos disponibles para la imagen y la precisión de la ubicación de la desintegración: se trata de tomografía por emisión de fotón único o SPECT. Debido a la enorme sensibilidad del PET, su capacidad de obtener imágenes cuantitativas y considerable resolución temporal (del orden de segundos), se han desarrollado una miríada de trazadores moleculares marcados con emisores de positrones; lamentablemente la disponibilidad de la mayoría de estos radiofármacos es escasa. Si bien MR tiene excelente resolución espacial, no requiere el uso de trazadores radiactivos y posee considerable resolución temporal, su sensibilidad intrínseca es baja (0,1-0,01 mM)2 por lo que, por el momento, es menos competitiva para imágenes moleculares. Últimamente han surgido sistemas híbridos donde dos o más modalidades de imagen se obtienen en un mismo sujeto, equipo y sesión: por ejemplo PET con tomografía computada (PET/CT), PET con resonancia magnética (PET/MR), SPECT/CT y equipos multimodales para animales pequeños (PET, MR, CT y SPECT). Al momento de escribir este artículo, en nuestro medio están en operación siete tomógrafos PET, cinco de los cuales son híbridos (PET/ CT) y se dispone comercialmente de cuatro radiotrazadores distintos marcados con emisores de positrones.
Somatostatina
La somatostatina es una hormona ciclopeptídica de 14 ó 28 aminoácidos que se expresa en muchos tejidos incluyendo el sistema nervioso central (SNC), hipotálamo, hipófisis anterior, tiroides, páncreas, tracto gastrointestinal, suprarrenales y el bazo3,4. Es un importante regulador de secreción endo y exocrina y afecta a muchas hormonas, tales como: hormona del crecimiento, glucagón, insulina, gastrina, secretina y TSH. En el SNC actúa como neuromodulador y neurotransmisor5. La actuación de la somatostatina es mediada por 5 receptores (sst1-5) que están relacionados con un gran número de efectos biológicos. La somatostatina natural se une con gran afinidad a los 5 subtipos, sin embargo, su vida media es muy corta (2 minutos) por degradación proteolítica en el plasma, lo que limita su uso clínico6. Se han sintetizado un número de análogos sintéticos entre los que se cuentan: octreotide, lanreotide, octreotate, phe3-tyr3-octreotide (TOC), etc7. A diferencia de la somatostatina natural, la vida media de estos análogos es más larga, sin embargo, presentan distintas afinidades para cada subtipo de receptor: todos seunen al subtipo 2, siendo octreotate es el que presenta mayor afinidad y lanreotide es el único que tiene buena afinidad por los subtipos 3, 4 y 58. Muchos tumores neuroendocrinos sobreexpresan el receptor sst2 y también pueden sobreexp esar los receptores sst3 y/o sst5, lo que los convierten en buenos blancos para terapia e imágenes moleculares9. In111-DTPAoctreotide (Octreoscan®) fue el primer análogo marcado con un emisor gamma para fines diagnósticos, aprobado en EE.UU. en 1994. Posteriormente, con el uso de diferentes quelantes, particularmente DOTA (ácido 1,4,7,10, tetranzaciclododecano N,N’’,N’’’-tetracético), fue posible marcar una variedad de análogos con diferentes tipos de radionúclidos, tanto para fines diagnósticos como terapéuticos10.
- Emisores β- para terapia tales como Itrio90 (Y90-DOTATOC)
o Lutecio177 (Lu177-DOTA-octreotate)2
- Emisores β+ para PET, v.gr. Galio68 (Ga68-DOTATATE)
o Cobre64 (Cu64-CPTA-octreotide)11.
- Otros emisores gamma para SPECT, ejemplo: Tecnecio99m
(Tc99m-HYNIC-TOC)12.
Tumores neuroendocrinos
Las neoplasias endocrinas pueden dividirse en dos grupos: aquellas que secretan (glico)-péptidos y aminas biogénicas y las que secretan hormonas esteroidales. El primer grupo corresponde a los tumores neuroendocrinos, así llamados porque comparten marcadores proteicos con las neuronas (sinaptofisina y enolasa específica de neuronas). Los tumores neuroendocrinos surgen del sistema celular neuroendocrino que conforma agregados celulares (organoides) o que se haya como células dispersas en varios órganos del cuerpo13. Algunas de las características clínicas y patológicas de estos tumores dependen del órgano de origen, pero otras son compartidas por todos estos tumores independientemente de su ubicación anatómica. En general el estudio de tumores neuroendocrinos se ha concentrado en neoplasias de órganos y sistemas específicos, lo que ha generado multiplicidad de clasificaciones y nomenclaturas. Los diferentes criterios usados han generado mucha confusión debido a que tumores morfológicamente similares pueden ser designados en forma distinta dependiendo de su sitio de origen o algunas terminologías usadas en un sistema pueden sugerir importantes diferencias en la biología del tumor cuando se usan en otras clasificaciones. En general los tumores neuroendocrinos pueden dividirse en bien y mal diferenciados, estos últimos designados como carcinomas neuroendocrinos de alto grado o grado 3. Los tumores bien diferenciados tienen un curso más bien indolente, mientras que los indiferenciados son altamente agresivos14. Los tumores bien diferenciados son los de mayor interés para las imágenes metabólicas porque expresan una gran variedad de marcadores neuroendocrinos. A continuación se ejemplificará algunas aplicaciones diagnósticas o terapéuticas con análogos de somatostatina radiomarcados en tumores neuroendocrinos escogidos.
Tumores gastroenteropancreáticos
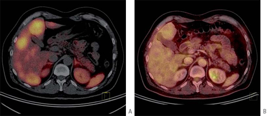
Este grupo (GEP) constituyen un grupo heterogéneo de tumores neuroendocrinos del estómago, páncreas e intestino. El más frecuente es el tumor carcinoide. El tratamiento primario es la cirugía aún en los pacientes con enfermedad metastásica, debido a que la resección parcial puede mejorar la calidad de vida, sobrevida y estado funcional. Las imágenes cumplen un papel importante para determinar la extensión de la enfermedad al inicio y en el seguimiento. Los estudios realizados con 111In pentatreotide muestran elevada sensibilidad para la detección de GEP a excepción del insulinoma. La sensibilidad para el gastrinoma metastásico, carcinoide y otros GEP son generalmente sobre 80% hasta 94%. La sensibilidad para la enfermedad metastásica tiende a ser superior a la de los tumores primarios (Figura 1) y en muchas ocasiones se encuentran lesiones no detectables por imágenes anatómicas. Utilizando Ga68 análogos de somatostatina se han obtenido excelentes resultados, con sensibilidades entre 82-100% (Figuras 2 y 3). El FDG tiene baja sensibilidad para la detección de estos tumores de lento crecimiento, bien diferenciados y bajo Ki-67, en cambio las imágenes con análogos de somatostatina presentan un patrón opuesto (Figura 4 y 5). Los tumores neuroendocrinos indiferenciados y agresivos presentan marcada avidez por la glucosa y pobre expresión de receptores de somatostatina y viceversa. Se ha visto que los pacientes con tumores con mayor expresión de Ki-67 evolucionan peor que aquellos con bajo Ki-6715. Los tumores neuroendocrinos que captan FDG tienen por lo tanto peor pronóstico16. En un estudio que comparó el rendimiento de cintigrafía con Octreoscan y FDG en pacientes con tumor carcinoide encontró que el 86% de los tumores primarios se localizaban con pentatreotide mientras que sólo el 57% con FDG. Pacientes con metástasis, el 69% fue positivo con el análogo de somatostatina, 47% con FDG y 56% con imágenes anatómicas17. Figuras similares se han obtenido con el uso de PET y Ga68análogos de somatostatina18,19.


Cáncer medular de tiroides
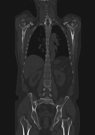
El tumor medular de tiroides es una neoplasia poco frecuente (3-5% de todos los cánceres de tiroides) proveniente de las células C parafoliculares (Figuras 6 y 7). La mayoría ocurre en forma esporádica (70-80% de los casos) pero existen formas familiares (solos o como parte del síndrome NEM 2A y 2B)20. Este tumor metastiza precozmente a los ganglios cervicales (55-75% de los casos), principalmente el compartimiento central del cuello. Metástasis a distancia se encuentran en 10-15% de los pacientes, principalmente mediastino, pulmones, hígado y hueso21 (Figuras 8 y 9). Debido a la producción de calcitonina por las células C, esta hormona es usada como marcador tumoral al diagnóstico y durante el seguimiento. La resección quir úrgica completa (tiroidectomía total y disección cervical amplia) es la únicaforma de curación. A pesar de la agresividad de este tratamiento, 40% de los pacientes operados mantienen niveles de calcitonina medibles y otro 10% inicialmente negativo, recurrirá en el tiempo2. Por esta razón, la localización de cualquier cúmulo tumoral existente mediante imágenes es de extrema importancia. Los criterios usados en imágenes diagnósticas para el tumor primario son similares a los usados en el cáncer diferenciado de tiroides, sin embargo, la localización de adenopatías y metástasis a distancia es generalmente difícil22. Convencionalmente se ha usado ecografía, tomografía computada y cintigrafía (In111-pentatreotide, Tc99m-DMSA- V y Tc99m-MIBI) para evaluar pacientes con enfermedad recurrente. Tc99m(V)-DMSA (ácido dimercaptosuccínico pentavalente) es un marcador tumoral inespecífico. El mecanismo de captación es sólo parcialmente conocido y tendría relación con la presencia de grupos fosfatos y el pH del medio. Su uso en esta enfermedad fue descrito por primera vez en 1984 por Ohta23. La sensibilidad reportada de la cintigrafía con DMSA-V se encuentra entre 50-80% y su uso combinado con In111- pentatreotide alcanza 86%24. F18-FDOPA es un aminoácido (dihidroxifenilalanina) marcado con Flúor18 usado originalmente para el estudio de pacientes con enfermedad de Parkinson. Los tumores neuroendocrinos pueden captar y decarboxilar p recursores de aminoácidos tales como la DOPA y ser visualizados con PETFDOPA. Las series reportan sensibilidades entre 44 y 90% para este método2. Desafortunadamente para la síntesis de F18-FDOPA se requiere de blancos especiales en el ciclotrón (diferentes a los usados para la producción de FDG) y de módulos de síntesis dedicados, lo que hace que este radiofármaco aún no esté disponible en nuestro medio. Si bien el 85% de los tumores medulares de tiroides expresan algún tipo de receptores de somatostatina y 75% expresan los tipos 2,3 ó 5 (que son los afines por octreotide), el subtipo 2 es expresado sólo en 43%25, que es el blanco principal de los análogos disponible para imagen y terapia. La afinidad de estas moléculas por los subtipos 3 y 5 es típicamente menor. Esto explica la variabilidad de resultados en la literatura en relación con la sensibilidad tanto de la cintigrafía con In111-pentatreotide (Octreoscan) como para el PET con derivados de la somatostatina para la detección de esta neoplasia. Las series publicadas con In111-pentatreotide reportan sensibilidades entre 50-75% para cáncer medular de tiroides y sugieren que este método es mejorpara metástasis ganglionares en el cuello o mediastino que para metástasis a distancia2. Estudios con PET y análogos de somatostatina son escasos para esta enfermedad. La limitada información disponible sugiere que la sensibilidad de PET-análogos de somatotatina es inferior al PET-FDOPA en cáncer medular de tiroides tanto a nivel de paciente como de lesión y similar a los resultados de estudios realizados con PET-FDG. En el trabajo retrospectivo de Conry et al2, se estudiaron 18 pacientes con recidiva de cáncer medular de tiroides a los que se le realizó PET con Ga68-DOTATATE y F18-FDG. La sensibilidad encontrada por paciente fue 72% para DOTATATE y 78% para FDG. FDG encontró 28 metástasis mientras que DOTATATE 23. Treglia et al26 recientemente publicó una serie prospectiva de 18 pacientes con recurrencia de cáncer medular de tiroides estudiados PET y Ga68-análogos de somatostatina, F18-FDOPA y F18-FDG. En este trabajo la sensibilidad por paciente fue 72% para FDOPA, 33% para análogos de somatostatina y 17% para FDG. A nivel de lesiones la sensibilidad fue: 85% para FDOPA, 20% para análogos de somatostatina y 28% para FDG.

Insulinoma
Es un tumor endocrino del páncreas muy poco frecuente, se calcula su incidencia anual en 0,5-3 casos por millón de habitantes. Casi siempre está ubicado en el páncreas (1/3 en la cabeza, 1/3 en el cuerpo y 1/3 en la cola) aunque puede tener localizaciones ectópicas: duodeno, divertículo de Meckel, vía biliar, ovario y omento. Generalmente son pequeños: 40% son menores de 1 cm y 50% entre 1 y 5 cm y generalmente solitarios. Menos del 10% son múltiples, en cuyo caso debe descartarse síndrome de NEM tipo 1. Menos del 10% son malignos y 5% se presentan con metástasis, generalmente en el hígado o adenopatías regionales27 (Figura 10). Los insulinomas benignos y malignos suelen expresar receptores de somatostatina, el más frecuente es el subtipo 4 (80-90% de los casos), de moderada (10-50%) a gran intensidad (> 50% de las células tumorales) en los estudios inmunohistoquímicos. Los subtipos 1, 2 y 3 se expresan esporádicamente (40-50% de los casos) en los insulinomas benignos y malignos,generalmente en menos del 10% de las células neoplásicas. Los insulinomas benignos no expresan sstr 5 mientras que algunos malignos sí lo hacen28. Estos hallazgos están en línea con la experiencia clínica: aproximadamente el 50% de los insulinomas son positivos en la cintigrafía con pentatreotide y el tratamiento con radiopéptidos análogos de somatostatina (Lu177-DOTATATE o Y90-DOTATOC) es paliativo y sirve para ayudar al control de la hipoglicemia de estos enfermos29 (Figura 11).
Fusión SPECT/RM. Imágenes transaxiales de RM y SPECT con In111- pentatreotide.
Paciente con insulinoma metastásico. Se demuestra intensa sobreexpresión de receptores de somatostatina en metástasis hepáticas múltiples.
Gastrinoma
Es un tumor de baja frecuencia (1/1.000.000-1/3.000.000)30. La probabilidad de metástasis se relaciona con el tamaño del tumor (6% cuando el tumor es menor de 3 centímentros y 36% cuando mide más de 3 cm) y la presencia de metástasis hepáticas es un factor de mal pronóstico31. Los gastrinomas se localizan en el páncreas y la pared duodenal y raramente en el antro gástrico. 60% son malignos y 20% se asocian a NEMI. Clínicamente se caracterizan por el síndrome de Zollinger Ellison32. Los gastrinomas expresan diferentes receptores peptídicos, entre los que se cuentan: el subtipo 2 del receptor de somatostatina se expresa con alta densidad y alta incidencia33, receptor de péptido 1 tipo glucagón con alta incidencia pero baja densidad y con menor frecuencia el receptor del péptido vasoactivo intestinal, el receptor del péptido liberador de gastrina y el receptor 1 de colecistokinina34. Los gastrinomas son tumores difíciles de localizar mediante imágenes: en un estudio de 80 pacientes, sensibilidad global de la cintigrafía con Pentatreotide (Octreoscan) fue 70%, lo que fue significativamente superior a otras modalidades como ecografía (19%), tomografía computada (38%), resonancia magnética (45%) y angiografía (40%)35. Series más grandes del mismo grupo confirman la sensibilidad del método para la detección de este tumor36. Existe muy escasa información en la literatura sobre la sensibilidad y especificidad de otros métodos tales como PET con análogos de somatostatina, pero muy probablemente el rendimiento es mejor que con Octreoscan debido a la mejor resolución espacial del PET y la adición de CT en el mismo examen, lo que permite mejorar la especificidad (Figura 12).
Feocromocitoma
Los feocromocitomas son tumores secretores de catecolaminas
que provienen de las células cromafines de la médula
adrenal y de sitios extra adrenales. Los feocromocitomas extra
adrenales se denominan paragangliomas, los que pueden
estar en cualquier lugar entre la región cervical y la cavidad
pelviana. El diagnóstico se sospecha por síntomas paroxísticos
característicos, hipertensión arterial inusual o refractaria,
incidentaloma suprarrenal en una imagen de CT/MR, historia
familiar de feocromocitoma o paraganglioma o en asociación
con otros síndromes genéticos (NEM 2A o B, neurofibromatosis
tipo 1 y la enfermedad de Von Hippel-Landau). Estudios
recientes muestran que 25% de los pacientes tiene mutaciones
germinales en genes que codifican subunidades de
la succinil dehidrogenasa (SDHB, SDHC y SDHD), en genes
relacionados con el síndrome Von Hippel-Landau (VHL),
neurofibromatosis tipo 1 (NF1) y NEM tipo 2 (RET). 10% de
los feocromocitomas y 20% de los paragangliomas son malignos.
CT tiene elevada sensibilidad para detectar tumores
intra y extra adrenales, con sensibilidad superior al 90%. Lasensibilidad de MR sería un poco más alta. La especificidad de estos métodos varía entre 50 – 90% según las series, con
un número significativo de falsos positivos. En este contexto
las imágenes moleculares son de utilidad para caracterizar
estos tumores, especialmente los tumores extraadrenales, enfermedad
maligna, cuando hay cambios post quirúrgicos y
sospecha de recurrencia, etc. Los tumores derivados de células
cromafines expresan el transportador de norepinefrina
(NET) a través del cual el precursor de catecolaminas metayodobencilguanidina
(MIBG) es transportado al interior
de la célula y almacenado en gránulos citoplasmáticos utilizando
los trasportadores vesiculares de monoaminas. La
sensibilidad del MIBG para la detección de estos tumores es
83-100% con especificidades de 95-100%, sin embargo, en
el subgrupo con la mutación SDHB, que se asocia con malignidad,
es aproximadamente la mitad: 65-80%. Los feocromocitomas
y paragangliomas malignos expresan receptores
de somatostatina, predominantemente sst2, 3 y 5. Utilizando
cintigrafía con pentatreotide las sensibilidades son cercanas
al 90% para la localización de paragangliomas y feocromocitomas
malignos o metastásicos. Los feocromocitomas y
paragangliomas benignos expresan en menor porcentaje receptores
de somatostatina (25-28%). En general los estudios
con PET-Ga68 análogos de somatostatina han demostrado ser
superiores a la cintigrafía con Octreoscan. Una desventaja
de los análogos de somatostatina es que presentan captación
fisiológica en las glándulas suprarrenales, claramente visible
en los estudios PET, lo que podría enmascarar pequeños
tumores in situ. El trasportador de norepinefrina también es
utilizado por el precursor de catecolaminas dihidrofenilalanina
(DOPA) y la dopamina los que pueden ser marcados con
F18 como trazadores PET. Con estos trazadores se han reportado excelentes valores de sensibilidad y especificidad para
feocromocitomas y paragangliomas malignos (sensibilidad
88-100% por paciente y 70-97% por lesión). La F18-DOPA
estará próximamente disponible en nuestro medio. Al igual
que con MIBG, el problema son los tumores con la mutación
SDHB en los cuales la sensibilidad es menor (F18-dopamina:
70-88%). En este subgrupo en particular el uso de PET con
FDG es de gran utilidad por que estos tumores presentan
elevada avidez por la glucosa por lo que las sensibilidades
reportadas varían entre 97-100%37-40.
La única forma de curar a los pacientes con feocromocitomas malignos y paragangliomas es con cirugía. Sin embargo, en enfermedad metastásica y en tumores inoperables, se utiliza tratamiento con radiofármacos. Actualmente, se puede utilizar emisores β unidos a MIBG o análogos de somatostatina. I131-MIBG se usa como terapia adyuvante, en diferentes protocolos (dosis únicas o fraccionadas, con dosis totales variables entre 200 y 1400 mCi). Del 60% de las lesiones que muestran captación ávida por el radiofármaco, 30% muestran respuesta objetiva y otro 40% presentan enfermedad estable. Aquellos tumores que presentan expresión de receptores de somatostatina se pueden beneficiar con el uso de análogos de esta hormona unida a emisores β tales como Y90 y Lu177. Se ha publicado el uso de variosanálogos (DOTATOC, DOTA-lanreotide y DOTATATE) marcados con Y90 y numerosos protocolos diferentes, con respuestas parciales y completas hasta 37%. La experiencia publicada con Lu177 es menor38. En nuestro medio disponemos tanto de Y90 DOTATOC como Lu177 DOTATATE para terapia.
Tumor mesenquimal fosfatúrico
La osteomalacia oncogénica es un síndrome paraneoplásico caracterizado por dolor óseo y muscular, pérdida de densidad mineral ósea, marcada disminución del nivel plasmático de 1,25 dihidroxicolecalciferol, hipofosfatemia e hiperfosfaturia (Figura 13). La causa puede ser un tumor mesenquimal oculto que secreta una hormona llamada factor de crecimiento fibroblástico-23 (FGF-23), que pertenece a una clase de factores u hormonas conocidos como fosfatoninas41,42. Puede darse también en asociación con otras enfermedades tales como: cáncer de próstata, cáncer de células pequeñas, neurofibromatosis, cánceres hematológicos, síndrome del nevus epidérmico y displasia fibrosa poliostótica. El tumor mesenquimal, desde el punto de vista histológico, puede ser parecido a un variado número de neoplasias muchas de ellas benignas (hemangiopericitomas, hemangiomas, sarcomas, fibromas osificantes, granulomas, tumores de células gigantes y osteoblastomas)43. La resección quirúrgica del tumor es generalmente curativa. Sin embargo, muchos de estos tumores son pequeños y de ubicación inusual por lo que su localización suele ser muy difícil. Pueden aparecer en huesos o tejidos blandos, en cualquier parte del cuerpo. PET/CT con F18-FDG es el método más sensible para su localización, sin embargo, de baja especificidad debido a la captación de F18FDG por lesiones no neoplásicas tales como reparación de fracturas óseas, que son muy frecuentes en estos pacientes. Debido a que numerosos tumores mesenquimales expresan receptores de somatostatina, tales como tumores óseos, vasculares y perivasculares (osteosarcomas, tumor de células gigantes, angiosarcomas, hemangiopericitomas), sarcomas sinoviales, histiocitomas y tumores de origen muscular (leiomiomas, leiomiosarcomas y rabdomiosarcomas)44, el uso de trazadores para receptores de somatostatina es útil en estos pacientes. Tanto el SPECT con In111-pentatreotide como el PET con Ga68-DOTATATE u otros análogos han sido usados exitosamente para localizar estos tumores (Figura 14). La adición de imágenes estructurales (SPECT/CT y PET/CT) mejoran aún más el rendimiento del examen. Particularmente en estos casos es necesario realizar un examen de cuerpo total, desde el vértex craneal hasta los pies, incluyendo las extremidades superiores completas, debido a que el tumor puede estar en cualquier parte. Por el momento no hay estudios que comparen el rendimiento del In111-Octreoscan con PET con Ga68-octreotide.
Referencias