1Residente Becario de Endocrinología, Escuela de Medicina, Pontifi cia Universidad Católica de Chile,
2Departamento de Oftalmología, Facultad de Medicina, Pontifi cia Universidad Católica de Chile.
3Departamento de Endocrinología, Facultad de Medicina, Pontifi cia Universidad Católica de Chile.
Correspondencia a: Marisol García M. Departamento de Endocrinología. Facultad de Medicina, Pontifi cia Universidad Católica de Chile Lira 85, 5º piso. Santiago, Chile. Teléfono 3543095. Fax: 6385675. E-mail: sol.garcia77@gmail.com
Recibido: 26 Enero de 2009
Aceptado: 16 Marzo de 2009
Dysthyroid optic neuropathy is an uncommon and severe form of presentation of Graves ophtalmopathy, caused by compression and elongation of the optic nerve. Use of high dose steroids is the treatment of choice. Decompressive surgery is reserved for refractory cases. We report a 41 years old female with a dysthyroid optic neuropathy that appeared 18 years after the diagnosis of Graves disease, manifested by a marked reduction in visual acuity. Orbit CAT scan did not show compression or elongation of optic nerve. She was treated with prednisone 60 mg per day, obtaining a complete remission after 19 days of treatment. After 90 days of follow up with low doses of steroids, the patient remains asymptomatic.
Key words: Dysthyroid optic neuropathy, Graves` orbitopathy.
La neuropatía óptica distiroidea (NOD) se define como el detrimento de la función del nervio óptico en relación a la oftalmopatía de Graves (OG). Ocurre hasta en el 5% de los de los pacientes con OG, y puede, potencialmente, llevar a la ceguera1. Mucho más inusual es la presentación de la NOD con mínimas o sin otras manifestaciones de OG. Comunicamos el caso de una mujer con enfermedad de Basedow Graves, que 18 años después del episodio inicial, recidivó del hipertiroidismo y evolucionó con neuropatía óptica distiroidea. La rareza del cuadro, su potencial gravedad y la buena respuesta al tratamiento ameritan su presentación.
Caso Clínico
Mujer de 41 años con antecedente de hipertiroidismo por enfermedad de Graves a los 23 años, con hormonas tiroideas muy elevadas y captación de I131 de 24 h de 55%. Al examen físico presentaba signos clínicos evidentes de hipertiroidismo, sin OG y con glándula tiroidea difusa de 30 g. Se trató con PTU por 15 meses, pero recidivó a los 4 meses de suspendida la droga, requiriendo un nuevo año de tratamiento; por estar en edad fértil rechazó la opción de I131. A los 27 años, cursando su primer embarazo, se reactiva la enfermedad requiriendo dosis bajas de PTU con el resultado de un recién nacido de término normal. Posteriormente, tuvo otros 4 embarazos, todos con niños normales de término y sin complicaciones; antes y después de estos embarazos se mantuvo eutiroidea sin necesitar medicación.
La paciente consultó 18 años después del diagnóstico inicial de enfermedad de Graves por síntomas de hiper– tiroidismo y molestias visuales caracterizadas por epífora, edema de párpados y conjuntiva, ojo rojo y dificultad ocasional para enfocar la mirada. Previo al inicio de sus síntomas había estado en contacto por varios días con cremas y soluciones tópicas cutáneas ricas en yodo (bronceadores y povidona). El laboratorio confirmó la recidiva de la enfermedad de Basedow Graves: TSH < 0,01 uUI/mL (VN: 0,3-4,2); T4 total: 18,5 ug/dL (VN: 4,6-12); T3: 322 ng/dL (VN: 80-200); TRab: > 20 UI/mL (VN < 1) y el aporte exógeno excesivo de yodo: yoduria: 578 ug/gr creat (VN: < 200) y captación de 33% de I131 en 24 h. Inicia tratamiento con tiamazol 30mg/d y se suspenden las cremas y soluciones tópicas. La evaluación oftalmológica constató visiones normales, reflejos fotomotores conservados, signo de Graeffe bilateral, ausencia de exoftalmo (OD: 17 mm; OI: 17 mm), edema de párpados y conjuntiva, hiperemia conjuntival leve, ortotropia, dolor leve en supraversión y dextroversión, tensión ocular y fondo de ojo normal.
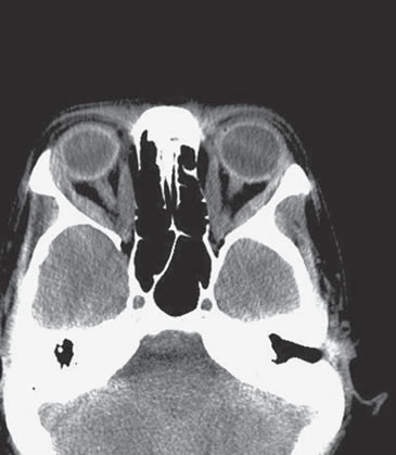
Se realizó TAC de órbitas que sólo mostró mínimo engrosamiento (bilateral) de los rectos mediales e inferiores, sin infiltración del cono posterior ni alargamiento del nervio óptico u otras imágenes patológicas (Figura 1). La campimetría computada fue normal para ambos ojos.
Aproximadamente, al mes de la evaluación oftalmo– lógica inicial nota disminución bilateral y progresiva de la agudeza visual, mayor en el ojo derecho, con incapacidad para leer o identificar caras, situación que se profundiza en pocos días. El examen oftalmológico realizado entonces mostró una disminución objetiva de visión de su ojo derecho, con reflejos fotomotores lentos, pero presentes, sin defecto pupilar aferente relativo. Una nueva campimetría computada detectó un escotoma central en ambos ojos, aunque mayor y más profundo en su ojo derecho, situación que fue interpretada como secundaria a una neuropatía óptica. Se inició tratamiento con prednisona 60 mg/d (1 mg/ kg peso) con lo que, en menos de una semana, acusa mejoría de los síntomas orbitarios y normalización de la visión. Un campo visual normal, realizado a los 19 días de tratamiento, certificó la desaparición de los escotomas centrales. Actualmente, habiendo completado 90 días de tratamiento esteroidal, mantiene dosis bajas de tiamazol (7,5 mg/d) y prednisona (5 mg/d) estando asintomática. (TSH: 2,7 uUI/ mL; T4: 0,76 ng/dL; TRab: 2,9 UI/L; yoduria: 196 ug/gr creat).
Figura 1. TAC de órbitas previo a tratamiento.
Figura 2. Evolución de las campimetrías. Los cuadros negros corresponden a zonas con disminución estadísticamente signifi cativa (p < 0,5%) de la sensibilidad retinal en relación al promedio de ese ojo, en un gráfi co de “desviación modelo”.
Discusión
La Enfermedad de Graves es una patología autoinmune, con componente hereditario, en la cual el anticuerpo para el receptor de TSH (TRab) estimula la captación de yodo, la síntesis y la secreción de hormonas tiroideas.
La OG se presenta en el 25 a 50% de los casos de enfermedad de Graves2. Raramente puede aparecer sin la enfermedad tiroidea concomitante. Las alteraciones de la OG resultan de la interacción de los TRab con sus receptores en los fibroblastos inmaduros de la órbita, en proceso de diferenciación a adipocitos, produciéndose glucosaminoglicanos de gran poder hidrofílico, que se depositan entre las fibras musculares y expanden los tejidos comprometidos, produciendo aumento de la presión intraorbitaria, proptosis del globo ocular y alteraciones de la función muscular extrínseca2,3; en casos muy graves el globo ocular puede luxarse desde la órbita.
Dentro del contexto de la OG la funcion del o los nervios opticos puede comprometerse ya sea por traccion o por compresion. El aumento de tejido orbitario puede ser debido al deposito de grasa en el cono posterior o a inflamacion de los musculos orbitarios. En el primer caso, si el cono posterior se repleta con tejido graso se dan las condiciones para generar proptosis y consecuentemente elongacion de los nervios opticos. Si lo que predomina es la miositis, y ella se manifiesta a nivel de la corona apical muscular posterior aparece posible un efecto compresivo circunferencial sobre el nervio optico. Una tercera posibilidad, la de una eventual accion inmunologica directa sobre el tracto neural es solo teorica y no ha sido descrita.
La NOD ocurre en el 4 a 8% de los pacientes con OG, con una edad media de presentacion de 53 anos y generalmente acompanando al hipertiroidismo (87%)4.
Los factores de riesgo para desarrollar la NOD son el habito tabaquico, sexo masculino, edad avanzada y diabetes mellitus5, condiciones que no estuvieron presentes en nuestra paciente. Asimismo, la fisiopatologia que destaca la importancia de los factores mecanicos de elongacion o compresion y la posible isquemia asociada de los vasa nervorum, tampoco encuentra respaldo en el caso que comentamos por la ausencia de hallazgos pertinentes en el TAC orbitario. No parece atractivo postular que factores mecanicos pudieran revertir en tan corto plazo.
La OG se presenta con una amplia variedad de sintomas y hechos semiologicos; en aras de sistematizar este disimil compromiso se ha elaborado un gscoreh clinico de actividad que se estructura en dos sintomas: dolor orbitario permanente y dolor evocado al movilizar el globo ocular, y en cinco signos: enrojecimiento conjuntival, eritema palpebral, edema palpebral, quemosis e inflamacion de la caruncula5,6. A estos sintomas y signos hay que agregar la deteccion de alteraciones en el examen oftalmologico especializado. La NOD, que es un componente de la OG, tiene como hecho central el compromiso de la vision. La OG en estos casos puede tener distintos niveles de actividad segun el score clinico comentado; de acuerdo a este criterio solo el 28% de una poblacion estudiada con NOD tenia score de actividad de OG ≤ a 37. Nuestra paciente podria catalogarse como score 5 (Tabla1).
Tabla 1. “Score” clínico de actividad de OG en la paciente

El hecho que la NOD aparezca sin los factores mecanicos intraorbitarios comentados, propios de la OG, no debe extranar ya que el exoftalmo se describe solo en el 62% de los casos y la elongacion del nervio optico, segun el estudio de imagenes, en un tercio de ellos7; esto plantea la presencia de otros factores etiologicos no precisados. En este sentido, no podemos descartar una explicacion etiologica de orden inmunologica sobre el nervio optico mismo, atendida la rapida y efectiva respuesta al tratamiento inmunosupresor con corticoides que se expreso en baja del TRab de un valor mayor de 20 a 2,5 UI/L. El TRab se describe como positivo en 30 de 32 pacientes estudiados con NOD, a la vez que los anticuerpos anti TPO lo son en 27 de 28 casos7.
Lo habitual es que la NOD se asocie a proptosis. En una serie de 47 pacientes el promedio del exoftalmo fue de 22 mm tanto a derecha como a izquierda, sin diferencias entre ambos sexos. Mediciones menores de 22 mm en pacientes con NOD se encontraron en 18 de 49 sujetos7. La ausencia de proptosis, como en nuestro caso, ha sido confirmada en pacientes europeos de una vasta area que comprende a Italia, Reino Unido, Holanda, Grecia y Alemania, en quienes en el total de ojos de la serie con NOD (n: 94) 20 de ellos tenian mediciones ≤ de 20 mm y solo un tercio ≥ de 25 mm7.
Estos hechos senalan la complejidad de la NOD y la variabilidad de sus sintomas, signos y hallazgos de laboratorio. Ello se entiende al no contar con una explicacion etiologica y fisiopatologica satisfactoria. Esta insuficiencia deriva en que el diagnostico de NOD muchas veces es tardio, con las implicancias que conlleva al tratarse de una enfermedad ocular grave.
El tratamiento de eleccion es medico, con altas dosis de corticoesteroides por 3 a 4 meses; algunos autores prefieren la metilprednisolona, porque tendria tasas de remision mas altas que la prednisona5. La aproximacion quirurgica se reserva para muy contados casos, y cuando los factores biomecanicos son evidentes5,6.
El caso clinico presente corresponde a una presentacion grave de OG en la forma de NOD asociada a minimos signos de OG, que se manifesto luego de la recidiva brusca del hipertiroidismo, que temporalmente parecio desencadenado por el aporte excesivo de yodo, documentado en el antecedente anamnestico de exposicion al halogeno y la yoduria elevada.
La presencia de compromiso del nervio optico, uni o bilateral, en ausencia de factores mecanicos orbitarios, con rapida respuesta al tratamiento esteroidal, hacen necesario tener presente esta entidad en los pacientes con enfermedad de Basedow Graves con o sin otras manifestaciones evidentes de OG.
Referencias