Rev. chil. endocrinol. diabetes 2015; 8 (3)    Volver a Índice

 

Artículo Original

Absceso de tiroides en adultos: reporte de tres casos

Ángel Ortiz V.1 y Rodrigo Villalobos R.1

 

Thyroid abscess in adults: report of three cases

1Unidad de Cirugía Oncológica, Servicio de Cirugía Hospital Clínico San Borja Arriarán y Departamento de Cirugía Centro Facultad de Medicina Universidad de Chile.


No existen conflictos de interés en la realización de este reporte de casos.


Correspondencia a:
Dr. Rodrigo Villalobos R.
Cel: 90477105
E mail: rodrigovillalobosrubilar@hotmail.com


Recibido: 19-05-2015
Aceptado: 04-06-2015

Thyroid abscesses appear mostly in children and are uncommon among adults. Predisposing factors are immunosuppression, cysts, malformations or dissemination of other infectious foci. We report three patients with thyroid abscesses. A 53 years old female who ingested a fishbone who developed a left para-esophageal abscess two years later, associated with a foreign body inserted in the ipsilateral thyroid lobe. A 93 years old female presenting with malaise and a left cervical mass. A cervical CAT scan showed a large cervical abscess extending to the mediastinum, associated with the left thyroid lobe. A 24 years old male with an acute leukemia. During chemotherapy he suffered a disseminated fungal infection with multiple foci. A cervical ultrasound showed a large thyroid abscess. The three patients were treated surgically with favorable outcomes.

Key words: Thyroid abscess, surgical drainage.

 

Introducción

Los abscesos tiroideos son poco comunes y en general son complicaciones agudas de las tiroiditis supurativas3. La glándula tiroides es un órgano relativamente resistente a la infección, tal resistencia estaría determinada por varios factores, entre los que destacan el que sea un órgano encapsulado, aislado anatómicamente, con un alto contenido de yodo, lo que podría tener un efecto antiséptico y antibacteriano. De la misma forma, el tener el mayor aporte sanguíneo por gramo de tejido del cuerpo y poseer un extenso drenaje linfático se consideran factores que le confieren resistencia a las infecciones1,2.

Reporte de casos

Caso 1

Paciente de 53 años, obesa. Lesión faringea hace 2 años por espina de pescado. Presenta cuadro de 10 días de dolor y aparición de nódulo de 1 cm en cuello, por lo que inicia tratamiento con Amoxicilina por 8 días. Cuadro cede transitoriamente, exacerbándose con la suspensión del antibiótico, presentando aumento progresivo de volumen cervical, doloroso, eritematoso, agregándose fiebre, disfagia y disnea en decúbito dorsal. Se hospitaliza y es evaluada por otorrinolaringología quienes descartan lesiones de vía aerodigestiva. Infectólogo indica tratamiento e.v. con Clindamicina por 14 días.

Los exámenes de laboratorio reportan leucocitosis 10.200, Hto 31%, PCR 170 mg/dl, TSH 1,08; T3 141; T4L1,3.

La endoscopía digestiva alta muestra esófago sin lesiones. TAC cervical demuestra colección cervical paraesofágica izquierda en relación a cuerpo extraño de densidad cálcica ubicada en contacto con la pared esofágica que penetra al lóbulo tiroideo ipsilateral.

Resuelto el cuadro infeccioso agudo se realiza exploración quirúrgica que termina en tiroidectomía total por absceso secundario a cuerpo extraño + nódulo tiroideo derecho (Figuras 1 y 2), en el postoperatorio inmediato presentó hematoma cervical que fue drenado. Evoluciona en buenas condiciones con leve disfonía. Requiere tiroplastía por parálisis cordal izquierda con mejoría sustancial de la voz.

A los 2 años presenta adecuada fonación, con leve sensación de carraspera, en tratamiento con Levotiroxina.

Figura 1.

Figura 2.


Caso 2

Mujer, 93 años, autovalente. Cuadro de 3 meses caracterizado por compromiso progresivo del estado general hasta la postración, diarrea y baja de peso; se agrega aumento de volumen cervical, tras lo cual presenta odinofagia y disfagia. Ecografía cervical reporta gran masa sólida a expensas del lóbulo tiroideo izquierdo.

Exámenes de laboratorio, muestran: leucocitos 8.900, Hematocrito 40,4%, VHS 30 mm/dl, TSH menor a 0,1 mg/dl.

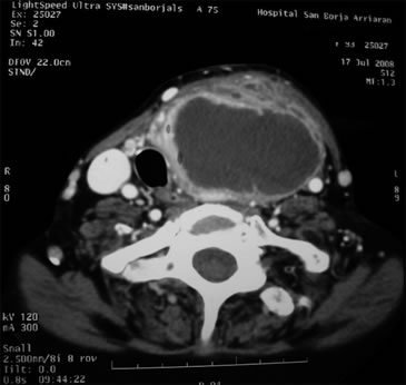
TAC cervical: Gran colección cervical izquierda en relación a lóbulo tiroideo ipsilateral extendiéndose hacia mediastino, con desviación de vía aérea (Figura 3).

Colección es puncionada dando salida de pus con cultivo positivo para E. coli multisensible. Se inicia tratamiento con Ceftriaxona-Clindaminicina y se realiza drenaje quirúrgico. Se intenta realización de tiroidectomía resultando frustra debido a gran tamaño e hiperemia muy difícil de manipular, por lo que se realiza drenaje amplio, resecando segmento de pared anterior de la cavidad abscedada. Biopsia intraoperatoria es negativa para neoplasia.

Evoluciona estable con normalización de parámetros sépticos, completa 10 días de tratamiento ATB y es dada de alta en buenas condiciones generales.

Biopsia diferida informa proceso inflamatorio agudo fistulizado con vasculitis de vaso mediano de tipo séptico, fibrosis periférica, músculo estriado con cambios degenerativos y necrosis grasa, se observa remanente de folículos linfoides.

Control a 9 meses de la cirugía, en buenas condiciones y se entrega alta por especialidad.

Caso 3

Hombre, 24 años, ingresa al servicio de medicina del Hospital San Borja Arriarán con diagnóstico de Leucemia Aguda. El mielograma e inmunofenotipo realizado es compatible con Leucemia Linfoblástica Aguda morfología L1, estirpe linfoide B, CD 10 positivo.

Hematología inicia tratamiento respectivo. (Fase I - Protocolo I).

Durante la evolución presenta algorra bucal, se inicia fluconazol 150 mg diarios y colutorios de nistatina. Comienza con fiebre hasta 39 grados, compromiso de estado general, disnea, odinofagia y placas de pus en las amígdalas. Se toman hemocultivos con resultado de crecimiento de levaduras, aislándose Trichosporon asahii, se inicia anfotericina B y se posterga QMT.

Paciente evoluciona con alteración en la función hepática y renal, pancitopenia a pesar de transfusiones e inicio de Filgrastim, tos productiva, con cultivo de expectoración positivo para Acinetobacter baumanii iniciándose Meropenem.

Se realiza ecocardiografía que no muestra vegetaciones; fondo de ojo revela lesión subretinal blanquecina en ojo derecho compatible con coriorretinitis fúngica; TAC de cerebro es normal.

Paciente presenta discreta mejoría con normalización de las funciones hepática y renal; hemocultivos se negativisan. Sin embargo, presenta nódulos subcutáneos en cuero cabelludo, tórax y bíceps (punciones sólo muestran células inflamatorias) y la presencia de un bocio difuso, homogéneo, no doloroso a la palpación, de aparición súbita.

Ecografía tiroidea muestra tiroides aumentada de tamaño a expensas de gran contenido homogéneo líquido, dejando escaso tejido tiroideo remanente. Se punciona dando salida a abundante material purulento el cual es enviado a cultivo resultando positivo para Trichosporon asahii. Estudio endocrinológico muestra anticuerpos antitiroideos negativos, T4 libre y T3 bajas con TSH en límites normales bajos (1,62 Ul/ml), días después se repite TSH en valores de 6,56 Ul/ml lo que confirma el diagnóstico de hipotiroidismo primario de aparición súbita.

Se realiza una tiroidectomía total izquierda y subtotal derecha.

La biopsia diferida concluye que se trata de una tiroiditis granulomatosa activa apreciando hifas y artroconídeos, algunos de ellos yemantes.

Dada las condiciones favorables del paciente y el control de su fungemia, reinicia QMT, agregando en forma periódica dosis de Filgrastim. La terapia antifúngica se mantiene con Anfotericina B y Fluconazol oral.

Así, el paciente completa el protocolo de tratamiento estipulado para LLA sin mayores complicaciones, encontrándose a los 18 meses de haber presentado el cuadro infeccioso en buenas condiciones generales, con sustitución hormonal con Levotiroxina.

Discusión

Los abscesos tiroideos pueden presentarse como complicaciones agudas de las tiroiditis supurativas, otras posibles vías de infección para la formación del absceso tiroideo incluyen: sepsis, invasión directa de la glándula, diseminación linfática, trauma directo, PAAF, cuerpo extraño (espina de pescado5 y hueso de pollo)3, persistencia de la comunicación entre el tiroides y el tracto respiratorio superior. La fístula del seno piriforme es la más común de las anormalidades subyacentes en la tiroiditis aguda supurada (Miyauchi, 1988, Katz, 1989, Inigues, 1989)6.

En nuestros casos, la etiología fue identificada en 2 pacientes: por espina de pescado y por sepsis en un paciente inmunosuprimido.

El estreptococo y el estafilococo son los gérmenes hallados con mayor frecuencia (Barton 1988). Sin embargo, se han identificado otros microorganismos, tanto aerobios como anaerobios: Mycobacterium tuberculosis8, Pneumocystis jirovecii (en pacientes VIH)3, Acinetobacter calcoaceticus3, Fusobacterium mortiferum4.

En nuestros pacientes: en el primer caso no se aíslo el germen, en el segundo caso se identifico E. coli y en el tercer caso se identifica una levadura: Trichosporon asahii que ha sido descrito como agente emergente causando micosis oportunistas en pacientes inmunocomprometidos, causando infecciones sistémicas graves7.

La clínica es la de un absceso: fiebre alta, taquicardia, diaforesis, aumento de volumen doloroso, eritema, calor y leucocitosis. El absceso generalmente se extiende hacia delante, pero se conocen casos en los que diseca el mediastino e incluso se rompe detrás de la traquea o el esófago. La función tiroidea generalmente no se afecta6.

Entre los diagnósticos diferenciales se encuentran la tiroiditis granulomatosa subaguda, hemorragia en el interior de un nódulo, quiste o carcinoma tiroideo que crece con rapidez y que presenta necrosis central. La presentación clínica de la tiroiditis granulomatosa subaguda, por lo general es menos grave que la tiroiditis aguda y la hemorragia en el interior de un quiste o la neoplasia tiroidea no se acompaña de fiebre ni de otras manifestaciones de toxicidad bacteriana6.

Es fundamental la obtención de una muestra para cultivo para asegurar un tratamiento antimicrobiano parenteral a dosis altas. La agresividad terapéutica viene justificada por los graves riesgos que se pueden presentar: destrucción de la glándula tiroides y paratiroides, trombosis de la vena yugular interna, formación de abscesos con disección de mediastino, rotura de tráquea o esófago y sepsis generalizada3,6.

En cuanto a las imágenes: TAC y ecotomografía cervical nos acercan al diagnóstico y también nos muestran el tamaño y extensión del absceso.

El drenaje quirúrgico es fundamental en la terapia3. La inflamación importante presente en este cuadro puede dificultar la disección de la glándula tiroides e incrementar las posibilidad de lesiones de estructuras adyacentes a la glándula; de no ser posible la disección de la glándula tiroides, la obtención de una muestra de la pared del absceso tiene una doble finalidad: de mejorar el drenaje y de permitir identificar una neoplasia, en cuyo caso, el plan sería realizar una nueva intervención, con la certeza de que la morbilidad quirúrgica ante un proceso inflamatorio tan intenso sería mayor.

El procedimiento empleado en nuestros casos fue variable, dependiendo de las condiciones locales y generales del paciente, pero con el mismo fin eliminar el foco séptico.

En suma, el absceso tiroideo es una patología poco frecuente, que puede llevar a consecuencias graves para el paciente, requiriendo por lo tanto, de un manejo combinado, con una apropiada terapia antibiótica (o antifúngica según el caso) y drenaje quirúrgico.

Referencias bibliográficas

  1. Sadler GP, Clark OH, Van Heerden JA, Farley MD. 1999. Tiroides y paratiroides. En: Schwartz SI, Shires GT , Fisher JE, Spencer FC, Galloway AC, Daly JM. Principios de Cirugía. 7 ed. McGraw-Hill- Interamericana. México D.F. pp. 1767-1768.
  2. Sánchez-Lozada R, Carbajal-de Nova DM, Hurtado-López LM. 2003. Absceso estéril primario de tiroides: Diagnóstico diferencial de neoplasia tiroidea. Revista de Endocrinología y Nutrición 1 1 (4): 175-178.
  3. Jacobs A, Gros D-A C, Gradon JD. 2003. Thyroid abscess Due to Acinetobacter cacoaceticus: Case report and review of the causes of and current Management strategies for thiroid abscess es. Southern Medical Journal 96 (3): 300-307.
  4. Stavreas NP, Amanatidou CD, Hatzimanolis EG, Legakis I, Naoum G, Lakka-Papadodima E, et al. 2005. Thyroid Abscess Due to a Mixed Anaerobic Infection with Fusobacterium mortiferum. Journal of Clinical Microbiology 43 (12): 6202-6204.
  5. Lin ZH, Teng YS, Lin M. 2008. Acute Thyroid Abscess Secondary to Oesophageal Perforation. The Journal of International Medical Research 36: 860-864.
  6. Moreno B, Gargallo MA, De la Torre M. Diagnóstico y tratamiento en endocrinología. pp. 206-207.
  7. Silva V, Zepeda FG. 2003. Primer reporte en Chile de infección nosocomial del tracto urinario por Trichosporon asahii, en dos pacientes. Rev Med Chile 131: 461-463.
  8. Magboo ML, Clark OH. 1990. Primary tuberculous thyroid abscess mimicking carcinoma diagnosed by fine needle aspiration biopsy . West J Med 153 (6): 657-659.