Rev. chil. endocrinol. diabetes 2017; 10 (3)    Volver a Índice

 

Caso Clínico

Diabetes insípida como primera manifestación
de metástasis hipofisaria

Isabel Azcona1, Diana Boj2, Leticia Pérez3 y María Martínez4

 

Insipid diabetes as first sign of pituitary metastasis

1Servicio de Endocrinología y Nutrición. Hospital Universitario Miguel Servet, Zaragoza, España.

 

No existen conflictos de intereses.

 

Correspondencia:
Isabel Azcona Monreal
Calle Asín y Palacios 44, 10º D; CP 50009; Zaragoza
Teléfono: 678019249
isabelazconam@gmail.com

 

Recibido: 24/04/2017
Aceptado: 08/06/2017

Introducción: Diabetes insipidus as the first clinical manifestation of pituitary neoplasm metastasis Up to de 90% of the masses that are detected in the pituitary gland correspond to adenomas. On the contrary, pituitary metastasis only represent a 1%, which is a diagnostic challenge in the medical practice. Most of the time, these lesions are detected casually in autopsy; but it is important to consider that aproximatelly a 7% of these lesions can be clinically expresed as diabetes insipidus. Here we present a patient with initial symptoms of diabetes insipidus with the final diagnostic of lung adenocarcinoma.

Key words: Diabetes insipidus, Neoplasm Metastasis, Pituitary gland.

Introducción

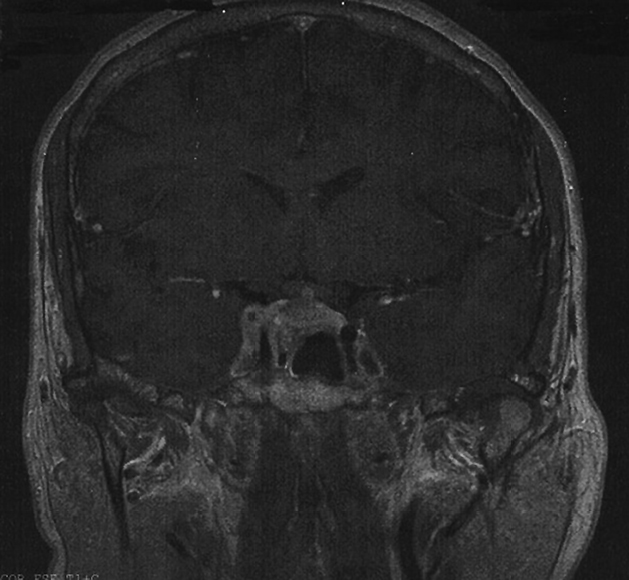
Mujer de 51 años de edad, fumadora de 20 paquetes/año, con antecedentes personales de intervención quirúrgica por gangrena de Fournier hace 20 años y menopausia hace 1 año. Sin antecedentes familiares de interés. Inicia de forma súbita clínica de polidipsia de hasta 10 litros al día junto con poliuria y nicturia. Un mes más tarde comienza con diplopía binocular, hemianopsia bilateral, cefalea y ptosis completa del párpado superior del ojo derecho. Ante la clínica referida es derivada a Oftalmología para valoración, solicitando por su parte una Resonancia Magnética cerebral que se informa como voluminoso macroadenoma hipofisario que invade el seno cavernoso derecho (Figura 1).

Figura 1. Resonancia Magnética que demuestra macroadenoma hipofisario que invade el seno cavernoso derecho.
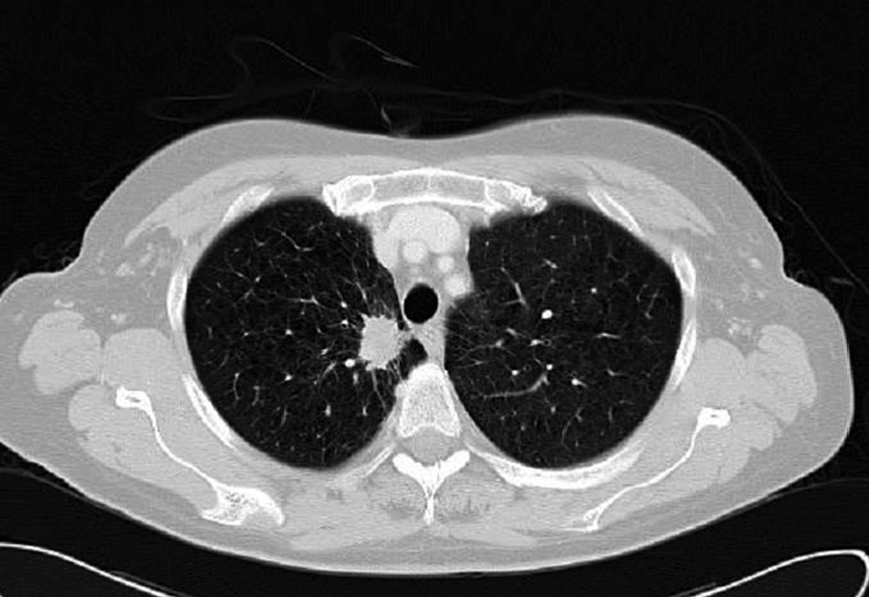
Figura 2. TAC torácico que demuestra nódulo pulmonar espiculado en segmento apical del lóbulo superior derecho con retracción pleural mediastínica adyacente de aspecto neoplásico; correspondiente con el tumor primario.

La paciente no presenta signos de deshidratación y mantiene una tensión arterial en torno a 120/85 mmHg. En la analítica basal no se observan alteraciones destacables: glucosa 85 mg/dl (74-106 mg/dl), creatinina 0,61 mg/dl (0,51-0,95 mg/dl), urea 18 mg/dl (17-43 mg/dl), sodio 143 mEq/L (136-146 mEq/L), potasio 4 mEq/L (3,5-5 mEq/L) y calcio 9,1 mg/dl (8,5-10 mg/dl).

En la analítica de orina destaca una osmolalidad urinaria de 202 mOsm/Kg (300-900 mOSm/Kg) con sodio en orina de 45,2 mEq/L (80-180 mEq/L) junto con una osmolalidad en suero de 291 mOsm/Kg (285-310 mOsm/L).

Se solicitó estudio de funcionalidad hormonal con los siguientes resultados: TSH 0,66 microUI/ml (0,34-5,60 microUI/ml), T4 libre 1,28 ng/dl (0,58-1,64 ng/dl), FSH 23,83 mUI/ml (postmenopausia 16,74-113,59 mUI/ml), LH 12,83 mUI/ml (postmenopausia 10,87-58,64 mUI/ml), ACTH 28,5 pg/ml (5-46 pg/ml), Cortisol 18,29 mcg/ml (5-25 mcg/ml), GH 2,68 ng/ml (0,15-8 ng/ml), Prolactina 27,34 ng/mL (2,74-19,64 ng/ml). Ante la sospecha clínica y analítica de diabetes insípida en el contexto de una masa hipofisaria se inicia tratamiento con desmopresina oral disminuyendo el volumen de orina a unos 4L diarios.

Se interviene de forma programada mediante abordaje transesfenoidal endoscópico realizando exéresis parcial de la lesión selar sin incidencias.

La valoración anatomopatológica intraoperatoria de la muestra informa de celularidad con atipia y mitosis sugestivo de malignidad, sin poder diferenciar con exactitud entre posible carcinoma hipofisario o metástasis de carcinoma a distancia.

La analítica en el postoperatorio no demostró déficits hormonales: TSH 0,69 microUI/ml (0,34-5,60 microUI/ml), T4 libre 1,25 ng/dl (0,58-1,64 ng/dl), FSH 17,58 mUI/ml (postmenopausia 16,74-113,59 mUI/ml), LH 8,12 mUI/ml (postmenopausia 10,87-58,64 mUI/ml), ACTH 41,8 pg/ml (5-46 pg/ml), Cortisol 14,42 mcg/ml (5-25 mcg/ml), GH 1,72 ng/ml (0,15-8 ng/ml), IGF1 188 ng/ml (87-238 ng/ml), Prolactina 30,16 ng/mL (2,74-19,64 ng/ml).

Para completar el estudio y detectar el posible tumor primario se solicitó una mamografía que resultó normal. Entre los marcadores tumorales solicitados cabe destacar el CEA 38,4 ng/ml (normal < 5 ng/ml), CYFRA 4,4 ng/ml (normal < 3 ng/ml).

Se solicitó asimismo un TAC toraco-abdominal donde se detectó un nódulo espiculado en el lóbulo superior izquierdo sugestivo de malignidad (Figura 2) y una lesión focal hepática de aspecto metastásico.

En el informe definitivo de anatomía patológica y mediante técnica de inmunohistoquímica (positivo para TTF1 y CK7) se informa de hallazgos compatibles con adenocarcinoma pulmonar, por lo que ya no se precisó en el estudio la toma de muestra mediante broncoscopia del tumor primario.

La paciente es dada de alta para seguimiento y tratamiento por parte del servicio de Oncología manteniendo 120 mcg cada 12 h de desmopresina oral. Al alta persistía la parálisis del tercer par craneal.

Discusión

Las metástasis hipofisarias son una entidad poco frecuente tratándose en su mayoría de hallazgos necrópsicos incidentales. Esto se debe a que los pacientes suelen fallecer debido a las metástasis sistémicas del tumor primario antes de que puedan manifestarse los síntomas secundarios a la ocupación hipofisaria1.

Los tumores primarios que con mayor frecuencia suelen metastatizar en la hipófisis son por orden decreciente los tumores de mama (más frecuente en mujeres), pulmón (más frecuente en varones) y tracto digestivo.

La localización más frecuente de las metástasis hipofisarias es el lóbulo posterior de la hipófisis. Esto es debido a la irrigación arterial directa de la zona, a diferencia del lóbulo anterior que es irrigado por el sistema portal2. La presentación clínica más frecuente de las metástasis hipofisarias es en forma de diabetes insípida. Es frecuente del mismo modo, que se asocien síntomas relacionados con la compresión e invasión local como las alteraciones del campo visual, la oftalmoplejía por invasión del seno cavernoso y una elevación moderada de las cifras de prolactina secundaria a la compresión del tallo hipofisario3.

La diabetes insípida es un síndrome derivado de la disminución de la secreción hipofisaria de vasopresina (origen central) o secundario a la disminución de su acción a nivel renal (nefrogénica), caracterizada por una poliuria de hasta 20 litros al día con una orina diluida (con frecuencia < 300 mOsm/L). Los pacientes presentan una sed intensa compensadora secundaria a la poliuria. No son frecuentes los signos clínicos de deshidratación, a menos que la ingesta de líquidos esté alterada por disfunción del centro hipotalámico de la sed o por dificultad de acceso al agua4.

El diagnóstico definitivo se consigue tras la realización de un test de deshidratación (Test de Miller), con abstinencia de la ingesta hídrica durante al menos 8 h y medición posterior horaria del sodio plasmático, osmolalidad plasmática y urinaria, volumen de orina y peso del paciente. En el sujeto normal o con polidipsia psicógena la privación de agua provoca liberación de vasopresina, con incremento de la osmolalidad urinaria. La osmolalidad urinaria, por el contrario, se modifica escasamente en la diabetes insípida central y en la diabetes insípida nefrogénica.

En nuestro caso, dado el contexto clínico y analítico, la sospecha clínica de diabetes insípida de origen central era alta, por lo que se realizó una prueba terapéutica con desmopresina consiguiendo una mejoría del síndrome poliuria-polidipsia que no se habría producido en caso de un origen nefrogénico.

La etiología de la diabetes insípida central es variada. Dentro de las causas de origen adquirido, las más frecuentes son la etiología idiopática (25%), tumoral (25%), postquirúrgica (20%) y secundaria traumatismo craneoencefálico (18%)5.

Dentro de la etiología tumoral se incluyen varias entidades como son las metástasis y diversos tumores primarios como el craneofaringioma, el disgerminoma, el pinealoma, el meningioma y los adenomas hipofisarios. Ya que los adenomas hipofisarios son la causa más frecuente de lesiones en la región selar, es interesante destacar las características diferenciales con las lesiones hipofisarias metastásicas.

En los adenomas hipofisarios la frecuencia de aparición de diabetes insípida está en torno al 1%. Son tumores de crecimiento más lento con una velocidad de instauración de los síntomas más paulatina asociando con frecuencia disminución de la agudeza visual por compresión quiasmática y déficits hormonales adenohipofisarios. Tienen una menor tendencia a la invasión de tejidos adyacentes, por lo que la afectación de los nervios oculomotores es menos frecuente.

La técnica de imagen de elección es la Resonancia Magnética. Aunque la evaluación radiológica no diferencia entre lesiones metastásicas y adenomas, hay características como son el engrosamiento del tallo hipofisario, la invasión del seno cavernoso o la esclerosis de la silla turca que pueden orientarnos hacia el origen metastásico en un contexto clínico compatible. El diagnóstico definitivo se obtiene con el estudio anatomopatológico.

La supervivencia media de los pacientes con metástasis hipofisarias suele ser de unos 7 meses. Aunque en los casos de lesiones únicas puede valorarse la intervención quirúrgica, en los casos no subsidiarios de intervención quirúrgica suele administrarse radioterapia y quimioterapia con intención paliativa.

En nuestro caso, el debut inicial de una diabetes insípida junto con clínica rápidamente progresiva de compresión quiasmática y de estructuras adyacentes, sugirió con alta probabilidad el diagnóstico de afectación metastásica hipofisaria; que finalmente se confirmó en el estudio anatomopatológico y en el estudio de imagen. Analíticamente no se demostró ningún otro déficit hormonal asociado. Se objetivaron cifras moderadamente elevadas de prolactina en relación a la compresión del tallo hipofisario; deducible ya que son cifras que no están en correlación con el tamaño de la masa; al contrario de lo que suele ocurrir con adenomas productores de prolactina.

Es preciso por tanto sospechar afectación hipofisaria de probable etiología metastásica, especialmente en pacientes mayores de 55 años, que inician clínica brusca de diabetes insípida y oftalmoplejía de rápida evolución; y en el caso de no presentar antecedentes tumorales previos conocidos, realizar los estudios de imagen adecuados para detectar el posible tumor primario6,7.

Referencias bibliográficas

  1. Benaiges D, Zanui M, Chillaron JJ, Arriola E, Garrigos L, Pedro-Botet J. 2012. Two cases of pituitary metastases as initial presentation form of small cell lung cancer. Invest Clin 53: 402-40.
  2. Maíllo A, Díaz P, Subhi-IssaAhmad L, Hernández J, Onzain L, Morales F. 1997. Metástasis hipofisarias como primera manifestación de cáncer orgánico. Dificultades diagnósticas. Neurocirugía 8: 316-24.
  3. Mathioudakis N, Quinones-Hinojosa A, Salvatori R, Basaria S. A Lifelong Smoker with Hypopituitarism: Rethinking the Hypothesis of a Tumor in the Hypophysis. Case Reports in Medicine. 2012.
  4. Guía clínica del diagnóstico y tratamiento de los trastornos de la neurohipófisis. Endocrinología y Nutrición. 2007.
  5. Botella JI, Valero MA, Sánchez AI, Casanovas B, Roa C, Martínez E. 2007. Manual de Endocrinología y Nutrición 112-5.
  6. Ariel D, Sung H, Coghlan N, Dodd R, Gibbs IC, Katznelson L. 2013. Clinical charasteristics and pituitary dysfuntion in patientes with metastatic cancer to the sella. Endocr Pract 19: 914-9.
  7. Mao JF, Zhang JL, Nie M, Lu SH, Wu XY. 2011. Diabetes insipidus as the first symptom caused by lung cancer metastasis to the pituitary glands: clinical presentations, diagnosis, and management. J Postgrad Med 57: 302-6.