1.Médico Endocrinólogo, Profesora Adjunta, Clínica de Endocrinología y Metabolismo del Hospital de Clínicas,
Montevideo, Uruguay.
2. Médico Postgrado, Clínica de Endocrinología y Metabolismo del Hospital de Clínicas, Montevideo, Uruguay.
3. Médico Endocrinólogo, Profesora. Directora, Clínica de Endocrinología y Metabolismo del Hospital de Clínicas, Montevideo, Uruguay.
*Correspondencia: Gabriela Mintegui
gabymin92@gmail.com
Teléfonos: 24101464; 094252851
Dirección: Emilio Frugoni 1199, apto 601. CP. 11200 Montevideo, Uruguay.
No se recibió ayuda financiera
Recibido: 29-03-2020
Aceptado: 27-05-2020
Resumen: El carcinoma papilar de tiroides variante de células altas, descrito en 1976
por Hawk y Hazard, representa el 1% de los carcinomas diferenciados, siendo más
agresivo e invasivo que la forma clásica y 80% de los casos se asocia con mutación
B-RAF. Se presenta el caso de una mujer de 49 años con tumoración dolorosa en
cara anterolateral de cuello, que tuvo un crecimiento rápido, disfonía y lateralización
del cuello a izquierda. En la ecografía de tiroides se vio en el lóbulo derecho un
voluminoso nódulo mixto, predominantemente sólido, hipoecogénico, con micro
calcificaciones, sin separación del plano graso con los músculos infra hioideos. Se
realizó punción con aguja fina que resultó Bethesda VI. En valoración pre quirúrgico
se encontró la parálisis de cuerda vocal derecha. Se realizó tiroidectomía total
con vaciamiento central y lateral derecho. El estudio anatomo-patológico reportó
un carcinoma papilar de tiroides variante de células altas de 33 x 40 x 27 mm en
lóbulo derecho que contacta con la tinta china, evade la cápsula y presenta invasión
perineural. Ocho ganglios de 18 analizados fueron metastásicos en el compartimento
VI. Posteriormente se realizó rastreo corporal total con una dosis mínima de I131
y luego se administró 150 mCi de I131. El carcinoma papilar de tiroides, variante
de células altas puede presentarse inicialmente con el compromiso locorregional y
su correcto diagnóstico tiene implicancia en el pronóstico y su manejo terapéutico.
Debemos pensar en variantes agresivas cuando al inicio ya encontramos elementos
sugestivos de extensión extratiroidea, como en este reporte.
Palabras clave:
Carcinoma de papilar tiroides; Células altas; Extensión extratiroidea;
Variante agresiva.
Abstract: High-cell variant papillary thyroid carcinoma, described in 1976 by Hawk
and Hazard, represents 1% of differentiated carcinomas, being more aggressive
and invasive than the classic form, and 80% of cases is associated with a B-RAF
mutation. We present the case of a 49-year-old woman with a painful tumor on the
anterolateral side of the neck, who had rapid growth, dysphonia and lateralization
of the neck to the left. On thyroid ultrasound, a voluminous mixed node, predominantly
solid, hypo echogenic, with micro calcifications, without separation of the fat
plane with the infrahyoid muscles, was seen in the right lobe. Fine needle puncture
was performed, resulting in Bethesda VI. In pre-surgical evaluation, right vocal
cord paralysis was found. Total thyroidectomy was performed with central and right
lateral emptying. The pathology study reported a 33 x 40 x 27 mm high cell variant
papillary thyroid carcinoma in the right lobe that contacted with the Chinese ink,
evaded the capsule and presented perineural invasion. Eight lymph nodes out of 18
analyzed were metastatic in compartment VI. Subsequently, a total body scan wasperformed with a minimum dose of I131 and then 150 mCi of I131 was administered.
Papillary thyroid carcinoma, a high-cell variant, may initially present with loco
regional involvement and its correct diagnosis has implications for prognosis and
therapeutic management. We must think of aggressive variants when at the beginning
we already found elements suggestive of extra thyroid extension, as in this report.
Key words: Aggressive variant; Extrathyroid extension; High cells; Papillary thyroid
carcinoma.
El carcinoma papilar de tiroides (CPT) representa 85% de los carcinomas tiroideos. Es un tumor maligno y bien diferenciado de células foliculares, con patrón de crecimiento en papilas que tiene características nucleares específicas1. Se han documentado más de 10 variantes anátomo-patológicas, la mayoría presenta un curso indolente, con mortalidad muy baja2. Sin embargo otras, como la variante de células altas, columnar y esclerosante difuso, tienen un comportamiento más agresivo y resultados más desfavorables en la evolución1.
La variante de células altas se define como un tumor papilar que presenta el 50% o más de células, por lo menos dos veces más altas que anchas, con citoplasma eosinofílico y núcleo en “vidrio esmerilado”, grande, pálido, de contorno irregular con hendiduras y pseudoinclusiones dirigido hacia membrana basal2.
Se cree que el peor pronóstico en este tipo de tumor se relaciona con su edad avanzada en el momento de la presentación, mayor tamaño del tumor y la alta frecuencia de extensión extra tiroidea (EET). Es por ello que la tasa de mortalidad a cinco años es más alta que en pacientes con CPT clásicos. Sin embargo, se ha demostrado un comportamiento más agresivo que el carcinoma clásico, independientemente de la edad, el sexo y el tamaño del tumor2.
El objetivo es mostrar un caso de baja frecuencia histológica,
cuyo comportamiento clínico inicial, hizo sospechar una variante
histológica agresiva.
Presentación de caso
Mujer de 49 años, sin antecedentes patológicos a destacar y sin antecedentes de radiación de cabeza y cuello, o antecedentes familiares de enfermedad tiroidea. Tres meses previos notó crecimiento rápido de tumoración cervical con dolor; además disfonía del mismo tiempo de evolución. Al examen se palpó nódulo en lóbulo tiroideo derecho, de 4 cm, firme, que causaba una posición antálgica con lateralización del cuello hacia izquierda. La ecografía de cuello mostró glándula tiroides aumentada a expensas del lóbulo derecho (LD), que presentó nódulo predominantemente sólido, de 34x29 mm, heterogéneo, con sectores marcadamente hipoecogénicos y microcalcificaciones. No se evidenció claro plano graso de separación del nódulo con músculos infrahioideos a derecha, pero si del paquete vascular. No adenomegalias cervicales. TIRADS 5. Presentó eufunción tiroidea y valoración general normal. Se realizó punción citológica con aguja fina (PAAF) del nódulo que informó: Bethesda VI (Figura 1).

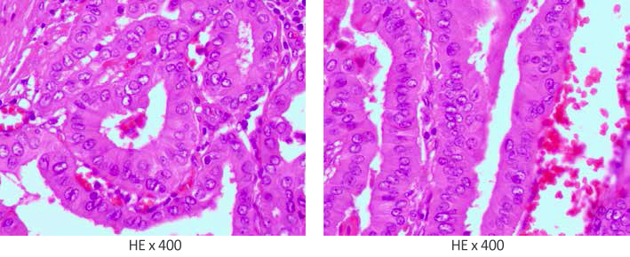
En la valoración preoperatoria, se encontró parálisis de cuerda vocal derecha, con buena luz glótica. Con el planteo de carcinoma tiroideo con compromiso locorregional derecho, se procedió a tiroidectomía total con vaciamiento central y lateral. Durante el procedimiento quirúrgico se encontró invasión de músculos infrahioideos, recurrente derecho y músculo liso de esófago y faringe. La anatomía patológica describió en la macroscopía, cápsula efraccionada por tejido parduzco de aspecto micropapilar de 33x40x27 mm en LD. Microscopía: carcinoma predominantemente papilar, con áreas foliculares de patrón infiltrativo, compuesto en 60% por células de 3 a 4 veces mayor altura que ancho (Figura 2). A nivel de la cápsula invasión perineural; la lesión contacta con el margen cruento. Ocho ganglios de 18 extraídos con metástasis en el sector VI, solo uno que evade la cápsula
En el postoperatorio presentó disfagia y agravamiento de la disfonía, se confirmó parálisis bilateral de ambas cuerdas vocales, encontrándose ambas en posición paramediana. Permanece con gran disfagia y disfonía en el postoperatorio, que mejora con administración de hidrocortisona; en la evolución persiste con disfonía, sin disnea en tratamiento y control con foniatra. A los 2 meses, se realizó rastreo corporal total (RCT) que determinó un pequeño remanente en cuello. Recibió 150 mCi de I131, (TSH de 68μUI/mL), T4L 0,35ng/mL, tiroglobulina (Tg) de 7,9ng/mL, anticuerpos anti-Tiroglobulina <10μUI/mL.
Discusión
El carcinoma papilar variante células altas es un tumor infrecuente dentro de los carcinomas diferenciados de tiroides. En Europa y Estados Unidos representa el 1%1. En América Latina un estudio de 469 casos de CPT demostró mayor prevalencia de variantes agresivas (25%) y la más frecuente, fue de células altas 24%3.
El carcinoma papilar de tiroides puede tener diseminación a ganglios linfáticos cervicales (30-80%) o por vía hematógena (3,7%), con una sobrevida a 10 años de 95%4. En la variante de células altas, la presencia de metástasis en cuello y/o a distancia, son más frecuentes. La agresividad parecería estar dada por su mayor potencial de invasión extratiroidea, locorregional y a distancia, con alto riesgo de recurrencia y mayor resistencia al I131.
Se ha descrito que 80% de casos presenta mutaciones puntuales activadoras del gen B-RAF que le confiere mayor EET y más metástasis linfáticas en comparación con la variante papilar habitual y carcinoma folicular1,5,6.
Se plantea que algunos factores moleculares intrínsecos de esta variante, son responsables de mayor agresividad biológica y comportamiento clínico. Estos factores son el MUC-1, una glucoproteína transmembrana cuyo aumento de su expresión promueve la disociación celular y la progresión oncogénica7. También la sobreexpresión de la colagenasa tipo IV por las células tumorales se correlaciona con mayor potencial invasivo y metastásico8.
Varios estudios hacen énfasis que el peor pronóstico de este tipo de tumor se produce por la EET, que se ha encontrado hasta en 80% de ellos, en contraste con 3% de la variante clásica4,9. Sin embargo, se demostró también que el tumor de células altas aún sin EET tuvo una velocidad metastásica significativamente mayor que el clásico sin EET, independiente de la edad, el sexo y tamaño del tumor. En ese mismo estudio, 6% de los de células altas sin ETE presentaron metástasis a distancia, mientras que ninguno de los clásicos la tuvieron10.
En este reporte, la determinación en los estudios paraclínicos preoperatorios de rutina, como la ecografía y la valoración prequirúrgica, mostraron la ausencia de separación del plano muscular con el nódulo y la parálisis de cuerda vocal ipsilateral respectivamente, nos orientó que podía tratarse de una variante agresiva. El compromiso en el intraoperatorio de los músculos infrahioideos, nervio recurrente, esófago y faringe, que no se observan con frecuencia en la variante clásica del carcinoma papilar también.
En varios estudios, la invasión del tracto aerodigestivo por CPT se informó en aproximadamente 7%-16% de todos los casos de cáncer de tiroides. Los sitios incluyeron la endolaringe, tráquea, esófago, músculos infrahioideos y nervio laríngeo recurrente11,12. Los patrones de invasión del tumor son comúnmente por extensión directa del tumor primario y menos comúnmente por extensión de ganglios linfáticos paratraqueales metastásicos11. Aunque es muy infrecuente la invasión del tracto aerodigestivo se asocia con una morbilidad significativa y en algunos casos, muerte por enfermedad locorregional no controlada. La invasión de estas estructuras produce síntomas como disnea, disfagia y hemoptisis y puede aumentar la morbilidad unas 5 veces o más13. Existe una resistencia relativa de la mucosa esofágica a la invasión, por lo cual la afectación intraluminal grave del esófago rara vez ocurre. Sin embargo, los tumores penetran fácilmente a través de la musculatura esofágica y pueden causar disfagia secundaria a los efectos compresivos de la masa tumoral en la mucosa subyacente14,15,16.
La paciente tuvo parálisis recurrencial por invasión tumoral, la tasa de incidencia de parálisis de cuerdas vocales evidenciada por laringoscopía alcanza el 3% en enfermedad benigna de la tiroides y hasta 8% en cáncer de tiroides, lo que sugiere enfermedad localmente invasiva1.
Esta paciente se puede catalogar como con riesgo de recurrencia intermedio, no constituye de riesgo alto porque no se demostró en la patología compromiso de tejidos circundantes, excepto ganglionares. Las indicaciones de ablación y dosis de I131 a administrar van en concordancia con el riesgo de recurrencia. En este caso se recomienda 100mCi, pero en casos seleccionados puede ser llegar hasta 150 mCi y se ha demostrado mejoría de la supervivencia global, más no la tasa de recidiva16.
Se conoce que la variante de células altas puede ser refractaria al I131 aproximadamente en el 20% de casos, por lo que a 5 años tiene mayor tasa de mortalidad que la variante papilar clásica. Ochenta y ocho por ciento de estos tumores de células altas refractarios al I131 tenían EET extensa17,18.
Dado que sugieren que los cánceres de células altas, incluso si son pequeños en la presentación o diagnosticado en los pacientes más jóvenes, pueden tener un mayor riesgo de EET, estas lesiones merecen consideración para el tratamiento quirúrgico agresivo y en el postoperatorio con I131(19).
La realización rutinaria de rastreo corporal total (RCT) diagnóstico previamente a la administración de la dosis ablativa no se recomienda20. En este caso, dada la variante y el compromiso locorregional se decidió realizar el RCT previo. Se decidió una dosis ablativa de 150 mCi por todos los elementos ya analizados y considerando pudiera ser refractario al I131.
Conclusiones
El carcinoma papilar de tiroides es conocido mundialmente como un carcinoma “benigno” por su elevada tasa de supervivencia. Sin embargo, hay que tener presente aquellas variantes que tienen comportamiento más agresivo por su elevada morbilidad-mortalidad. El carcinoma de células altas tiene factores intrínsecos moleculares que le confieren otro comportamiento clínico y bioquímico. Una vez diagnosticada una variante agresiva, es de suma importancia el tratamiento a elegir, ya que el tipo de cirugía y la dosis de I131 a utilizar determinarán el pronóstico del paciente.
Referencias