*Correspondencia: Andrea Orellana T.
a.orellanatoledo2292@gmail.com
Recibido: 28-03-2024.
Aceptado: 14-05-2024.
Resumen: La acromegalia es una enfermedad rara que se caracteriza por el aumento de la hormona de crecimiento (HC) y, en consecuencia, del factor de crecimiento similar a la insulina 1 (IGF-1), siendo la causa más frecuente la presencia de un adenoma hipofisario. Sus principales manifestaciones son el crecimiento excesivo de las extremidades, cambios en la apariencia facial y complicaciones sistémicas como apnea del sueño, intolerancia a la glucosa, diabetes e hipertensión. El diag- nóstico se confirma mediante la detección de niveles séricos elevados de IGF-1 y niveles séricos elevados de HC que no se suprimen en una prueba de tolerancia a la glucosa oral, y además se complementa con un examen de resonancia magnética nuclear (RMN) para evaluar la presencia de adenoma hipofisiario. La resistencia a la insulina y la prediabetes son complicaciones comunes de la acromegalia, y el riesgo de progresar a diabetes es de un 20%, pero la cetoacidosis diabética (CAD) es una complicación muy inusual, resultado de una relativa deficiencia de insulina causada por exceso de hormona de crecimiento. Presentamos un caso de un hombre de 35 años con antecedentes de obesidad y dislipidemia, que consultó en el servicio de urgencias por CAD. En dicha hospitalización se pesquisan rasgos fenotípicos de acromegalia, por lo que se solicita medición de HC, IGF-1 RMN que informa la presencia de un adenoma hipofisiario, diagnosticándose acromegalia.
Palabras clave: Acromegalia; Adenoma hipofisiario; Cetoacidosis diabética; Diabetes mellitus secundaria.
Abstract: Acromegaly is a rare disease characterized by increased growth hormone (GH) levels and, consequently, insulin-like growth factor 1 (IGF-1), with the most common cause being the presence of a pituitary adenoma. Its main manifestations are excessive growth of the extremities, changes in facial appearance, and systemic complications such as sleep apnea, glucose intolerance, diabetes, and hypertension. The diagnosis is confirmed by detecting elevated serum levels of IGF-1 and elevated GH levels that do not suppress during an oral glucose tolerance test, complemented by magnetic resonance imaging (MRI) to assess the presence of a pituitary adeno- ma. Insulin resistance and prediabetes are common complications of acromegaly, with a 20% risk of progressing to diabetes. However, diabetic ketoacidosis (DKA) is a very unusual complication, resulting from a relative insulin deficiency caused by excess growth hormone. We present a case of a 35-year-old man with a history of obesity and dyslipidemia, who consulted the emergency department for DKA. During
1. Médico Cirujano. Residente Medicina Interna Universidad Valparaíso.
2. Diabetóloga y Nutrióloga. Médico Internista. Hospital Carlos Van Buren.
3. Médico Internista. Hospital Carlos Van Buren.
4. Endocrinóloga. Hospital Carlos Van Buren.
*Correspondencia: Andrea Orellana T. / a.orellanatoledo2292@gmail.com
Recibido: 28-03-2024. Aceptado: 14-05-2024.
Rev Chil Endo Diab 2024; 17(3): 80-82.
ARTÍCULO ORIGINAL
this hospitalization, phenotypic traits of acromegaly were identified, prompting the measurement of GH, IGF-1, and an MRI that revealed a pituitary adenoma, leading to a diagnosis of acromegaly.
Keywords: Acromegaly; Diabetic ketoacidosis; Pituitary adenoma; Secondary dia- betes mellitus.
Introducción
La acromegalia corresponde a un desorden hormonal caracterizado por el aumento de la hormona de crecimiento (HC) y, en consecuencia, factor de crecimiento similar a la insulina 1 (IGF-1), siendo la causa más frecuente la presencia de un adenoma hipofisario. Fue descrita por primera vez en 1886 por el neurólogo francés Perrier Marie quien acuñó el término para describir a una mujer con los rasgos clínicos de la patología. Se considera una enfermedad rara con una prevalencia menor a 7 casos por 100.000 habitantes, sin embargo, su incidencia ha ido en aumento en el último siglo1.
El crecimiento excesivo progresivo de las extremidades, como las manos y los pies, y los cambios en la apariencia facial son las manifestaciones externas más comunes de la acromegalia, pero también existen diversas complicaciones sistémicas y comorbilidades asociadas, relacionadas tanto con niveles excesivos de hormonas como artralgias, apnea del sueño, intolerancia a la glucosa, diabetes e hipertensión o secundarias a efectos de la masa tumoral, como dolores de cabeza, que también son importantes para el diagnóstico.
El diagnóstico se confirma mediante la detección de niveles séricos elevados de IGF-1 y niveles séricos elevados de HC que no se suprimen en una prueba de tolerancia a la glucosa oral. La resonancia magnética (RM) se utiliza para detectar y evaluar el tamaño y la invasividad del tumor. Los enfoques de tratamiento de la acromegalia incluyen cirugía, tratamiento médico, y radioterapia, los cuales se elegirán según el tipo de paciente.
La resistencia a la insulina y el desarrollo de diabetes mellitus son complicaciones comunes de la acromegalia. La prevalencia de diabetes (20-56%) e intolerancia a la glucosa (16-46%) es bastante alta y su frecuencia depende de la serie de casos reportada1. En la acromegalia, los niveles elevados de HC e IGF-1 contribuyen a la resistencia periférica a la insulina y al desarrollo de diabetes. Aunque los niveles absolutos de insulina pueden ser normales o altos, la presencia de resistencia grave a la insulina puede predisponer a la CAD, sin embargo, esta complicación es inusual en pacientes con acromegalia en ausencia de DM tipo 12
Caso clínico
Presentamos el caso de un paciente de sexo masculino 35 años, con antecedentes de obesidad y dislipidemia, quien consultó en servicio de urgencias por historia de un mes de evolución de polidipsia, poliuria y pérdida de peso de 20 kg, agregándose en los últimos días mareos y visión borrosa. En el examen físico de ingreso destacaba una estatura de 176 cms, un peso de 105 kg, e índice de masa corporal (IMC) de 33 kg/m2. La presión arterial fue de 152/87 mmHg, frecuencia cardíaca normal, mucosas secas, aliento con olor afrutado y hallazgos sugerentes de acromegalia: macroquelia, prognatismo, prominencia de arcos ciliares, diastema dental, ensanchamiento de la nariz y crecimiento excesivo de las manos. Sin signos de insulino resistencia.
En los exámenes de ingreso presentaba glicemia 519 mg/ dl, bicarbonato: 20,3 mEq/L, pH: 7,27, creatinina: 1,15 mg/dl, cetonemia (+) se confirmó una cetoacidosis leve, se inició manejo con fluidoterapia y BIC de insulina y se hospitalizó con diagnóstico de debut diabético secundario a endocrinopatía (acromegalia). A la anamnesis dirigida paciente y familiares referían al menos 10 años de evolución de crecimiento de extremidades y alteración de rasgos faciales.
Por la sospecha clínica de acromegalia se solicitó un panel de laboratorio, el cual fue compatible con la enfermedad. El nivel de HC fue de 394 ng/ml (VN <10 ng/ml) y IGF-1 fue de 740 ng/ml (VN 63 a 223 ng/ml). Sin alteraciones en el resto del eje hipofisario. Prolactina 4,59 ng/ml (VN <20 ng/ml), TSH: 0,7 mUI/L (VN 0,37-4,7 mUI/L). HbA1c al ingreso: 12,2%.
Se realizaron además marcadores inmunológicos de diabetes (anticuerpos anti-células beta (ICA), anti insulina (IAA), antiácido glutámico descarboxilasa (GAD), anti tirosina fosfatasa 2 (IA2) y anti transportador 8 de Zinc (ZnT8) los cuales resultaron negativos, descartándose diabetes de origen autoinmune.
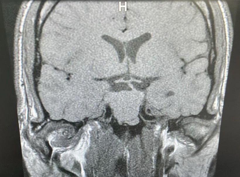
RM de silla turca que revela un tumor selar con extensión al seno esfenoidal y suprasellar con invasión de seno cavernoso bilateral Knosp IV de 28 mm (Figura 1).
Paciente evoluciona con muy mal control metabólico (HbA1c:15,4%) con glicemias persistentemente sobre 500 mg/dl a pesar de esquema basal bolo con altas dosis de insulina (necesitando entre 4-5 unidades por kilo de insulina), suspendiéndose pabellón por esta razón en múltiples oportunidades. Para realizar exéresis tumoral se decidió hospitalizar para inicio de insulina en BIC en Unidad de cuidados intermedios logrando mejor control metabólico previo a pabellón. El paciente fue sometido a resección transnasal y transesfenoidal de la masa hipofisaria sin complicaciones, indicándose alta insulina NPH a dosis de 1U/kg.
A los dos meses post resección IGF-1 y HC permanecián elevados, 705 ng/ml y 620 ng/ml respectivamente, por lo que se indicó lanreótide 90 mg semanal subcutáneo, con requerimientos de insulina estables. A los 18 meses post cirugía se logran valores de HbA1c menores a 7,5%, manteniéndose sólo con esquema de insulina basal a 0,3 unidades por kilo. RM de control describió una lesión selar que remodela la silla turca e infiltra el seno cavernoso derecho, que impresiona de leve menor tamaño al original (midiendo 26x26x25 mm), por lo que el tratamiento de su acromegalia aún se encuentra en desarrollo.

Discusión
Está ampliamente descrito en la literatura la asociación entre diabetes mellitus y acromegalia donde el exceso de HC e IGF-1 pueden inducir resistencia a la insulina directamente en el hígado, el tejido adiposo y el músculo. Esto conduce a una producción elevada de glucosa endógena, reducción de la captación de glucosa en los músculos y, en consecuencia, un incremento de la glucosa sanguínea, predisponiendo al desarrollo de trastornos en el metabolismo de la glucosa, especialmente resistencia a la insulina. Sin embargo, la asociación entre la CAD y la acromegalia es muy infrecuente, con no más de 30 casos reportados en la literatura3.
Como posibles causas, se han descrito principalmente la lipotoxicidad y la presencia de resistencia grave a la insulina que provoca una aceleración de la gluconeogénesis, glucogenólisis y la reducción de la utilización de la glucosa a nivel periférico. Debido a la persistente hipersecreción de HC, se promueve constantemente lipólisis y lipogénesis en el tejido adiposo, lo que se traduce en un aumento de los ácidos grasos circulantes, produciendo lipotoxicidad que induce una resistencia a la insulina en el músculo esquelético e inhibición de la secreción de insulina en las células ß pancreáticas, junto con un aumento en la producción de cuerpos cetónicos. Otros factores que contribuyen al desarrollo de CAD incluyen el uso de análogos de la somatostatina (inhiben la secreción de insulina) y la administración de glucocorticoides4,6.
Kreze et al estudiaron 10 posibles factores de riesgo, incluido el sexo, la edad >40 años, la duración superior a 6 años, los antecedentes familiares de diabetes, la obesidad, la hipertensión, el hirsutismo femenino, la HC >25 μg/l, la hiperprolactinemia y el macro adenoma hipofisiario5. En el caso de nuestro paciente, presentaba obesidad, niveles de HC >25 ug/L y un macro adenoma hipofisiario.
El tratamiento de la diabetes en pacientes con acromegalia es similar al tratamiento en otros pacientes con diabetes, dado que la resistencia a la insulina es el defecto principal en pacientes con acromegalia, el uso de sensibilizadores de insulina puede ser especialmente eficaz, pero no existen estudios que comparen la eficacia de diversos agentes hipoglicemiantes en pacientes con acromegalia1, ya que el tratamiento va enfocado en el tratamiento de la causa.
La extirpación quirúrgica exitosa del adenoma hipofisario mejora la hiperglicemia, logrando normalizar hasta en un 58% las alteraciones en el metabolismo de la glucosa después de la resección2. En el caso de nuestro paciente, observamos que luego del tratamiento (resección quirúrgica), los niveles de HbA1c, disminuyeron considerablemente, tal como aparece descrito en la literatura.
La correlación entre acromegalia y diabetes mellitus resalta la complejidad del manejo de pacientes con estas comorbilidades, como lo expuesto en este caso, subrayando la necesidad de un enfoque integrado en su tratamiento. Este enfoque no solo mejora los síntomas endocrinológicos sino también las alteraciones metabólicas, proporcionando una mejora significativa en la calidad de vida y el pronóstico de los pacientes.
Referencias