*Correspondencia:
Maria M. Pineyro
mercepin@gmail.com
Avenida Italia S/N.S/N. Montevideo UY
(CP 116000)
Los autores no
tienen conflictos de interés.
Finaciamiento: No hubo finaciamiento para este manuscrito.
Recibido: 01-10-2024.
Aceptado: 15-04-2025.
Resumen: La ecografía de tiroides se ha consolidado como una herramienta fundamental
en la práctica clínica del endocrinólogo. Su capacidad para evaluar
la morfología glandular, identificar nódulos tiroideos y guiar procedimientos
intervencionistas la posiciona como el método de imagen de elección en la
evaluación de patologías tiroideas. Además, permite la diferenciación de características
ecográficas que ayudan a estratificar el riesgo de malignidad de
los nódulos, facilitando así la toma de decisiones en el manejo clínico. Este
artículo revisa las principales indicaciones de la ecografía tiroidea, su papel
en la evaluación de enfermedades benignas y malignas, y su impacto en la
personalización del tratamiento, destacando su importancia como extensión
del examen físico en la consulta endocrinológica.
Palabras clave: Ecografía de tiroides; Endocrinología; Nódulo tiroideo.
Abstract: Thyroid ultrasound has become established as a fundamental tool in the clinical
practice of endocrinologists. Its ability to assess glandular morphology,
identify thyroid nodules, and guide interventional procedures positions it as
the imaging method of choice in the evaluation of thyroid pathologies. In
addition, it allows the differentiation of ultrasound characteristics that help
stratify the risk of malignancy of nodules, thus facilitating decision-making
in clinical management. This article reviews the main indications for thyroid
ultrasound, its role in the evaluation of benign and malignant diseases, and
its impact on the personalization of treatment, highlighting its importance as
an extension of the physical examination in the endocrinological consultation.
Keywords: Endocrinology; Thyroid ultrasound; Thyroid nodule.
Introducción
La ecografía tiroidea constituye una herramienta fundamental para complementar la valoración clínica de la glándula, es una técnica no invasiva, de bajo costo, sin contraindicaciones para el paciente. Es el método de elección para el estudio de la glándula tiroides1. Los trastornos de tiroides son muy frecuentes en la población general, hasta 20% de los adultos en el mundo padecen de patología tiroidea y la cifra asciende a 50% en zonas endémicas.
El ultrasonido permite definir la localización, dimensiones, volumen, forma, ecoestructura y vascularización de la glándula1. Es el método más adecuado para valorar la patología nodular tiroidea. Se puede utilizar para monitorizar tratamientos, permite el seguimiento del paciente intervenido quirúrgicamente y es fundamental para realizar técnicas complementarias como la punción aspiración con aguja fina (PAAF)1,2.
Se considera importante que el endocrinólogo tenga nociones sobre ecografía tiroidea, sea capaz de identificar las estructuras en relación con la glándula tiroides, pueda reconocer alteraciones de esta e interpretarlas de forma correcta. Puede complementar a la clínica considerándola como una extensión del examen físico. Desde hace varias décadas muchos especialistas no radiólogos han incorporado el ultrasonido a su práctica diaria, y está creciendo el interés por parte de endocrinólogos en la realización de ecografía de tiroides. En la actualidad se encuentran disponibles muchos cursos en la región para especialistas no radiólogos3. Para que la ecografía sea reproducible y confiable se debe tener mucha experiencia en la técnica, ya que su principal limitación es que se trata de un estudio técnico dependiente con variabilidad interoperador2. Las recomendaciones de formación en ecografía y técnicas asociadas de las Sociedades Americana (ATA) y Europea (ETA) de tiroides sugieren que para tener experiencia se debería realizar un mínimo de 600 ecografías cervicales anuales. Estas deben incluir 30 casos de cáncer de tiroides, adenopatías metastásicas y recurrencias locales, además de 150 PAAF anuales con un porcentaje de muestras insuficientes para el diagnóstico menor del 10% de las punciones1,3.
Indicaciones de ecografía Tiroidea
Está indicada en pacientes con palpación anormal de cuello, ya sea bocio difuso, nódulos o adenopatías palpables. En casos de disfunción tiroidea como en el hipertiroidismo ayuda a completar el diagnóstico etiológico y en el hipotiroidismo, si bien no es imprescindible, puede ser complementaria para su valoración integral. También en personas con incidentalomas encontrados por otra técnica de imagen4. Es importante en pacientes con cáncer de tiroides que se encuentran en el preoperatorio, en búsqueda de adenopatías sospechosas de malignidad para la planificación de la cirugía. Es fundamental en el seguimiento de estos pacientes luego de una tiroidectomía para descartar remanente, recidivas y/o aparición de adenopatías. Es imprescindible como guía para la punción aspiración con aguja fina (PAAF) de los nódulos tiroideos y adenopatías. También es necesaria para realizar tratamientos de ablación con distintos métodos. No está indicada como screening en personas sanas.
Procedimiento para realizar ecografía tiroidea en la policlínica de endocrinología
Para comenzar la atención del paciente es fundamental realizar un correcto interrogatorio y examen físico. Al evaluar la glándula tiroides se debe utilizar una sonda lineal de alta frecuencia de 5 a 18MHz. Las imágenes deben obtenerse en el plano sagital y transversal2.
Es importante posicionar al paciente de forma correcta para una visualización óptima de la glándula. La posición recomendada es en decúbito supino, con el cuello hiperextendido; para esto se puede utilizar una almohada no muy alta debajo de los hombros (Figura 1)1. El informe de la ecografía tiroidea debe incluir la descripción general de la glándula tiroides, de los nódulos, de los ganglios linfáticos y la conclusión del riesgo de malignidad. No debe incluir indicación de punción aspirativa con aguja fina (PAAF)5.
Figura 1: Posición del paciente para la realización de la ecografía de tiroides.Características ecográficas de la glándula tiroides
Los hallazgos ultrasonográficos y las patologías de la glándula tiroides varían ampliamente con el sexo, edad y fármacos que recibe el paciente. Ciertos estados fisiológicos como embarazo, antecedentes personales y familiares de patología tiroidea también pueden influir en los hallazgos. El estudio puede ser utilizado como complemento del examen físico en los pacientes con indicación de ecografía tiroidea.
La tiroides de un adulto tiene un tamaño variable de aproximadamente 13 a 18 mm de ancho o transversal (T), 16 a 18 mm de profundidad o anteroposterior (AP) y 45 a 60 mm de largo o longitud (L), el istmo mide entre 2 a 6 mm de profundidad (AP). El volumen del lóbulo se calcula mediante la fórmula V (ml) = 0,479 × AP × T × L (cm). El número 0,479 o 0,524 en la fórmula es el factor de corrección para determinar el volumen de estructuras de una forma elipsoide, existen varias constantes y puede utilizarse cualquiera de ellas. El volumen de la tiroides es la suma de los volúmenes de ambos lóbulos. El volumen del istmo por ser pequeño, en general inferior a 10 mm no está incluido2. El volumen de una tiroides normal tanto en adultos como en niños es fuente de debate. La Organización Mundial de la Salud sugiere un volumen normal en hombres de 7,7 a 25 cm3 y en mujeres de 4,4 a 18 cm3(2). Depende de la edad y el área de superficie corporal de cada individuo2.
La ecogenicidad es media o alta cuando se compara respecto a los músculos pre tiroideos, tiene aspecto granular fino similar a las glándulas salivales y es isoecoica respecto a estas últimas. Cuanto más coloide y menos células haya en la glándula se produce mayor reflexión del sonido, por lo tanto, mayor ecogenicidad con respecto a los músculos pre tiroideos y demás tejidos como se observa en la figura 26.
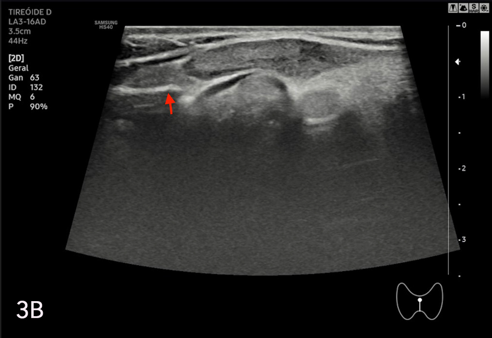
La eco estructura es homogénea, los márgenes son regulares y presenta una cápsula ecogénica, su vascularización es escasa. El rango de referencia para una tiroides normal es de entre cinco y diez vasos visibles dentro de la exploración de cada lóbulo valorado con Doppler color2. Se ha descripto que hasta un 50% de los individuos presentan lóbulo piramidal (Figura 3a y 3b). Este sector, en general, es similar en ecogenicidad, homogeneidad y vascularización al istmo y los lóbulos. En la superficie posterior de los lóbulos tiroideos, especialmente en el segmento inferior, puede visualizarse el tubérculo de Zuckerkandl, un ejemplo de este se puede observar en la figura 4a y 4b. Este es un tabique hiperecogénico fibroso que a menudo genera sombra posterior. Se forma por la extensión del tejido tiroideo de las áreas laterales de los lóbulos hacia el sector posterior, y a menudo exhibe una disminución de la ecogenicidad detrás del mismo. Este proceso puede imitar una lesión tiroidea o paratiroidea y causar dificultades en la interpretación2.
Figura 2: Corte transversal de la tiroides normal, se señalan con las
flechas distintas estructuras.


Características ecográficas de la glándula tiroides patológica
Dentro de la glándula tiroides pueden encontrarse alteraciones del parénquima difusas o formando nódulos tiroideos, puede haber en la misma glándula concomitancia de ambos trastornos.
Los cambios difusos confieren las siguientes patologías principales: bocio tóxico difuso o Enfermedad de Graves Basedow (EGB), tiroiditis, bocio no tóxico difuso (hiperplasia difusa).
Bocio tóxico difuso (EGB)
Definimos bocio como el aumento de volumen de la glándula tiroides, se considera un volumen glandular normal hasta 12 cc según diferentes autores.
Es la causa más común de hipertiroidismo, con una
prevalencia entre 0,4 a 1% de la población6. Es más frecuente
en el sexo femenino. Se caracteriza por un exceso de
producción de hormonas tiroideas de etiología autoinmune7.
Por lo general, se acompaña de un agrandamiento de la
tiroides (bocio), con desplazamiento de las estructuras
vasculares del cuello lateral y/o dorsalmente, como
resultado del aumento de tamaño de los lóbulos tiroideos.
Protrusión de las superficies anteriores de los lóbulos,
agrandamiento del istmo, redondeo del contorno angular
normal. Disminución difusa de la ecogenicidad. Aumento
de la vascularización significativa del parénquima de
forma simétrica (Figura 5)7.
En general la glándula tiende a ser más homogénea
que en las tiroiditis, aunque en pacientes con evolución
más prolongada de la enfermedad puede ser seudonodular
similar a las mismas6.
La hipoecogenicidad observada en la enfermedad de Graves se debe a la hipertrofia e hiperplasia de la células foliculares e infiltrado linfocitario, disminución del contenido de coloide en los folículos y aumento de la vascularización como se observa en la figura 56.
La valoración de la vascularización y la velocidad del pico sistólico (VPS) de las arterias tiroideas inferiores son útiles para el diagnóstico de hipertiroidismo, el seguimiento de la enfermedad y el diagnóstico diferencial con otras causas de tirotoxicosis. En la EGB antes del tratamiento con antitiroideos de síntesis (ATS) existe aumento de la vascularización glandular con aumento de VPS (> 41 cm/s), la glándula normal presenta VPS de 21,5 +/- 7 cm/s. La probabilidad de recidiva luego de suspender los ATS en pacientes con función tiroidea normal es mayor en pacientes con mayor vascularización y VPS mayores6.
Pacientes con otras causas de tirotoxicosis como la tiroiditis inducida por amiodarona, por destrucción del parénquima o la tirotoxicosis gestacional transitoria presentan vascularización y VPS más bajos6. El estudio Doppler puede servir también para diferenciar el origen del hipertiroidismo en un individuo que presente patología nodular, lo que permite diferenciar si se trata de nódulos tóxicos o EGB con nódulos no funcionantes6.
Figura 5: Corte transversal y longitudinal de tiroides de paciente con EGB. Se señala el itsmo engrosado, disminución de la ecogenicidad, estructura
heterogénea, aumento de la vascularización del parénquima.
Tiroiditis
La tiroiditis es un término generalizado para el grupo de procesos inflamatorios en la glándula tiroides. Todos los tipos de tiroiditis están asociados con procesos citotóxicos inflamatorios o autoinmunes en el tejido tiroideo4.
Varias etiologías determinan distintas manifestaciones clínicas y duración de la enfermedad. Cualquier tipo de tiroiditis implica daño de los folículos tiroideos, lo que resulta en una imagen patológica específica que se puede obtener con ecografía. Los elementos clínicos y los exámenes de laboratorio son cruciales para un diagnóstico correcto. Los tipos más comunes de tiroiditis que se encuentran son las tiroiditis crónicas autoinmunes y subagudas4.
Tiroiditis de Hashimoto
La tiroiditis de Hashimoto es la tiroiditis crónica más frecuente y es la principal causa de hipotiroidismo primario en zonas con suficiencia de iodo, entre 6 a 11 % de la población. Es más frecuente en el sexo femenino4. La etiología es autoinmune. El tejido tiroideo presenta cambios morfológicos específicos que van desde la infiltración linfocítica hasta el reemplazo fibroso.
La glándula tiroides se encuentra aumentada de tamaño en la mayoría de los casos, pero en ocasiones, puede estar disminuido su volumen, esta última se denomina forma atrófica6.
El hipotiroidismo no siempre está presente en la tiroiditis de Hashimoto, se desarrolla en el 50% de los casos en la evolución4. Frecuentemente las tiroiditis autoinmunes se presentan inicialmente con un estado de tirotoxicosis transitorio. A partir de entonces, el nivel de hormona tiroidea vuelve al eutiroidismo o cae a hipotiroidismo permanente subclínico o manifiesto7. En algunos pacientes los cambios ecográficos son la primera manifestación de la enfermedad. Está descripto que se pueden observar cambios en la ecogenicidad previo al aumento de los anticuerpos o a la alteración de las hormonas tiroideas6.
En pacientes con tiroiditis de Hashimoto diagnosticada, la ecografía sirve para el diagnóstico diferencial con otras enfermedades tiroideas, para el seguimiento y detección de otras patologías tiroideas concomitantes como la patología nodular tiroidea7.
La fase aguda es transitoria, generalmente comienza con infiltración linfocítica en el istmo y en los sectores anteriores de los lóbulos tiroideos representados con manchas hipoecoicas homogéneas y uniformes, además de áreas con márgenes mal definidos. La propagación de la infiltración confiere este aspecto en ambos lóbulos. En la fase subaguda se propaga esta infiltración al resto de la glándula acompañada de hipervascularización irregular7.
La hipoecogenicidad del parénquima glandular se correlaciona con el grado de infiltración linfocitaria, atrofia de los folículos y disminución del contenido coloide. Esto genera menos reflexión de las ondas sonoras y, por lo tanto, menor ecogenicidad6. Se puede encontrar además aspecto micro o macronodular. Se denominan seudonódulos a las áreas de intensa infiltración linfocitaria local, las cuales deben ser diferenciadas de los nódulos verdaderos que requieren otro seguimiento6. En la figura 6 se aprecian estas características comentadas.
Figura 6: Corte transversal y longitudinal de tiroides de paciente con tiroiditis de Hashimoto. Se señala la disminución de la ecogenicidad, estructura
heterogénea, seudonodular.
Con respecto a la vascularización con doppler color, se encuentra normal o disminuida en un 63%, moderadamente aumentada en un 18% y muy aumentada en un 7% de los casos6. Se observa mayor vascularización en la enfermedad de inicio reciente, especialmente en los casos sin tratamiento, que presentan mayor volumen tiroideo con niveles de anticuerpos y hormona estimulante de la tiroides (TSH) más elevados6.
Otro elemento que se puede encontrar en este tipo de tiroiditis son adenomegalias en el compartimento ganglionar central del cuello (sector VI). Estas adenomegalias son hipoecoicas, a menudo redondeadas, localizadas más frecuentemente cerca del istmo o adyacentes al polo inferior de los lóbulos tiroideos y, en esta última localización, se pueden confundir con adenopatías secundarias o paratiroides. En general los ganglios linfáticos encontrados en la tiroiditis de Hashimoto no presentan vascularización o la presentan de forma leve en hilio, mientras que las paratiroides o adenopatías secundarias tienen hipervascularización6.
Tiroiditis subaguda de De Quervain
Esta es una patología inflamatoria, generalmente ocurre posterior a un cuadro viral respiratorio. Afecta con mayor frecuencia al sexo femenino. Se presenta en 3 fases: tirotoxicosis, hipotiroidea y fase de recuperación funcional. En su fase de tirotoxicosis se caracteriza por síntomas de tirotoxicosis y dolor agudo en logia tiroidea. Ecograficamente se puede observar un área mal definida generalmente unilateral hipoecoica que se puede confundir con un nódulo maligno , en este caso la historia clínica y exámen físico son fundamentales para un correcto diagnóstico. Estas áreas pueden cambiar de localización en el tiempo, la vascularización está ausente o disminuída en las fases iniciales y aumentada en las fases de mejoría del cuadro clínico6.
Bocio no tóxico
Se produce generalmente por déficit de iodo. No está asociado con hipertiroidismo, hipotiroidismo, inflamación o malignidad. Se observa hiperplasia difusa en el 1 a 5% de la población7.
La glándula tiroides se encuentra aumentada de tamaño, con márgenes regulares bien definidos, ecoestructura homogénea e isoecoica. La cápsula es uniforme y continua en todos los grados7.
Patología nodular tiroidea
Se denomina nódulo tiroideo a una lesión definida radiológicamente, distinta al resto del parénquima glandular. Presentan alta prevalencia, entre 19 a 68% descubiertos de forma incidental por ultrasonido, dependiendo de la resolución del ecógrafo. Los nódulos palpables se presentan aproximadamente en el 4 a 7% de la población8. La frecuencia de los nódulos aumenta con la edad, en el sexo femenino y en áreas iodo insuficientes9.
Alrededor del 5 al 6,5% de estos nódulos son malignos. La ecografía es el método más sensible para diagnosticar estas lesiones10.
Existen algunas características o situaciones del paciente que aumentan el riesgo de malignidad como son: sexo masculino, el antecedente de radioterapia de cabeza o cuello, radioterapia de mama, la presencia de antecedentes familiares de cáncer de tiroides, cáncer medular de tiroides o neoplasia endócrina múltiple tipo 2. Los elementos peyorativos de malignidad al examen físico son la consistencia pétrea del nódulo, la adherencia a planos profundos y la presencia de síntomas loco-regionales como disfonía. Esta última se puede deber al compromiso del nervio laríngeo recurrente. Otro factor que aumenta el riesgo es la presencia de adenopatía con características de secundarismo, sobre todo en la misma región que la lesión sospechosa.
Las características ecográficas sospechosas de malignidad incluyen presencia de microcalcificaciones, hipoecogenicidad, márgenes irregulares, ausencia de halo hipoecoico, composición predominantemente sólida, nódulo más alto que ancho y marcada vascularización intranodular. La combinación de estos hallazgos ecográficos proporciona una mejor precisión diagnóstica que solo uno de estos hallazgos de forma aislada11.
A la hora de describir ecográficamente un nódulo tiroideo se debe comenzar definiendo la localización, el tamaño nodular y sus características para evaluar el riesgo de malignidad que este presenta; esto es fundamental para decidir si requiere estudio citológico con punción aspiración con aguja fina (PAAF). El tamaño nodular a partir del cual se realiza una PAAF depende de las guías usadas que se describen a continuación.
Varias sociedades de profesionales y grupos de investigadores propusieron métodos para guiar a los médicos que realizan la ecografía en la solicitud de la PAAF, según las características del ultrasonido. Algunos de estos sistemas se denominaron TI-RADS (Thyroid Imaging, Reporting and Data System) porque se basaron en el BI-RADS de la Asociación Americana de Radiólogos (ACR), que ha sido ampliamente aceptado en la obtención de imágenes de mamas. Otras sociedades, como la Asociación Americana de Tiroides (ATA), la Asociación Europea de Tiroides (ETA) y la asociación coreana, han protocolizado clasificaciones similares. Uno de los más utilizados es el ACR-TIRADS12.
La decisión de realizar una PAAF no se puede basar únicamente en una clasificación de riesgo de malignidad del nódulo tiroideo ultrasonográfica, se deben valorar entre otras cosas los factores de riesgo para cáncer de tiroides del paciente, la esperanza de vida y la preferencia de este12.
En el sistema ACR-TIRADS las lesiones se clasifican en benignas, mínimamente sospechosas, moderadamente sospechosas o altamente sospechosas de malignidad. Se otorgan puntos por todas las características ultrasonográficas de un nódulo, y se agregan puntos adicionales si existen características más sospechosas. La tabla 1a presenta estas características ordenadas según las cinco categorías a valorar12.
Al evaluar un nódulo, se debe seleccionar una característica de cada una de las primeras cuatro categorías y todas las que correspondan de la categoría final, luego se suman los puntos. El total de puntos determina el nivel de ACR TI-RADS del nódulo, que varía de TR1 (benigno) a TR5 (alta sospecha de malignidad). Se debe tener en cuenta que, aunque es posible que a un nódulo se le otorgue cero puntos y por lo tanto se lo catalogue como TR1, todos los demás nódulos tendrán al menos dos puntos. Esto sucede porque, por ejemplo, una lesión que tiene una composición sólido-quistica, se le otorgará un punto por ser mixta y también ganará al menos un punto más por la ecogenicidad de su componente sólido12. En la tabla 1a se observa la clasificación ACR-TIRADS y en la tabla 1b se describen las características ecográficas a evaluar en los nódulos tiroideos.
Tabla 1a. Clasificación ACR-TIRADS

Tabla 1b. Descripción de las características ecográficas

Al igual que otras sociedades de profesionales la ACR recomienda la realización de PAAF de nódulos de alta sospecha solo si miden 1 cm o más. Para los nódulos que tienen un bajo riesgo de malignidad la ACR sugiere la PAAF cuando miden 2,5 cm o más. Esto intenta equilibrar el beneficio de identificar cánceres clínicamente importantes con el riesgo y el costo que implica someter a individuos con nódulos benignos o cánceres indolentes a biopsia y tratamientos innecesarios.
A efectos prácticos, una clasificación rápida y fácil de utilizar es el Sistema Europeo de Datos de Imagen e Informes de Tiroides (EU- TIRADS). Surge de una revisión de la literatura de la Asociación Americana de Endocrinólogos Clínicos, la Asociación Americana de Tiroides y las directrices coreanas.
Se clasifican como benigno, bajo, intermedio y alto riesgo de malignidad.
Clasificación de EU-TIRADS: Existen 5 categorías según el riesgo de malignidad13.
Figura 7: Cortes transversales de quiste tiroideo y microquiste con “artefacto en cola de cometa”(flecha).
Figura 8: Corte transversal de nódulo espongiforme.
Figura 9: Corte transversal y longitudinal de nódulo sólido isoecoico.
Figura 10: Corte transversal de nódulo sólido hipoecoico.
Figura 11: Corte longitudinal de nódulo sólido , marcadamente hipoecoico
con microcalcificaciones. Se destaca que nódulos <10 mm aún con características sospechosas de malignidad se puede acordar con el paciente realizar seguimiento sin puncionar. Esto último, sobre todo en pacientes mayores de 60 años, cuyos nódulos no estén asociados con características desfavorables como localización adyacente al nervio laríngeo recurrente o la tráquea, evidencia de propagación fuera de la tiroides, ya sea por extensión directa o metástasis, y no presenten progresión de la enfermedad. Varios estudios indican que la frecuencia de microcarcinomas papilares asintomáticos detectados en ultrasonografía y autopsias están presentes en al menos el 5-10 % de la población adulta de los Estados Unidos14. La mayoría de estos focos subclínicos de cáncer de tiroides no progresan o lo hacen de forma muy lenta. Ito Y, et al. compararon 340 pacientes con microcarcinoma papilar de tiroides que se sometieron a observación y 1.055 pacientes que se sometieron a tratamiento quirúrgico sin observación. Las proporciones de pacientes que mostraron un agrandamiento de 3 mm o más fueron de 6,4 y 15,9 % en el seguimiento de 5 y 10 años, respectivamente15.
Rol de la ecografía en el seguimiento del cáncer de tiroides
La ecografía cumple un papel importante tanto en la evaluación preoperatoria como en el seguimiento a largo plazo.
La evaluación preoperatoria permite identificar elementos de agresividad como tamaño del tumor primario mayor de 4 cm, multicentricidad, extensión extratiroidea y presencia de adenopatías sospechosas de metástasis locorregional. La valoración exhaustiva de todas las cadenas ganglionares en búsqueda de adenopatías metastásicas, seguido de un informe detallado de su localización para su posterior estudio con PAAF con medición de tiroglobulina por lavado de aguja de ser necesario, es fundamental para un adecuado diagnóstico de extensión de la enfermedad16.
Identificar estas características en el preoperatorio permite planificar la extensión de la cirugía para lograr mejores resultados
Durante el seguimiento a largo plazo se busca la presencia de tejido remanente tiroideo, recidiva tumoral y aparición de adenopatías sospechosas de malignidad. En el lecho tiroideo normal se identificará tejido hiperecogénico que corresponde a grasa y tejido cicatrizal, con desplazamiento de las estructuras normales del cuello medialmente. Es relativamente frecuente ver lesiones nodulares pequeñas, hiperecogénicas, con sombra acústica posterior, generalmente avasculares, que corresponden a granulomas calcificados en relación con material de sutura. La presencia de nódulos anecogénicos o hipoecogénicos en el lecho tiroideo, con o sin vascularización pueden corresponder a recidiva17. La guía ATA 2015 recomienda la PAAF con medición de tiroglobulina por lavado de aguja en lesiones sospechosas mayores de 8-10 mm en su diámetro menor. En lesiones menores de 8 mm se plantea el seguimiento ecográfico. De la misma forma, si ha aparecido una adenopatía cervical sospechosa de ser metastásica en otra localización cervical, se punciona bajo guía ecográfica y se solicita la medición de tiroglobulina por lavado de aguja; si son varias las adenopatías, se elige la o las más representativas, idealmente las más lejanas a la línea media y lecho tiroideo para establecer los límites de una eventual cirugía17.
Se consideran características ultrasonográficas de adenopatías sospechosas de malignidad la quistificación, presencia de calcificaciones, pérdida de hilio graso, hiperecogenicidad, forma redondeada y vascularización anormal al Doppler. En la figura 12a y 12b se observan algunos ejemplos de adenopatías con características sospechosas de malignidad.


Técnicas no invasivas
Estos tratamientos corresponden a la ablación térmica y la inyección con etanol.
Existen varias técnicas dentro de la ablación térmica como el láser, la radiofrecuencia, las microondas y el ultrasonido enfocado de alta intensidad. Estos procedimientos térmicos son necesarios realizarlos con sedación, para evitar la deglución y los movimientos, también es fundamental realizar controles de presión arterial, frecuencia cardiaca y saturación de oxígeno. Están indicados en los nódulos sólidos o casi completamente sólidos, benignos, sintomáticos o cuando generan trastorno cosmético, en general mayores de 30 mm. Las complicaciones son lesiones en piel, hematomas, daño de la capsula tiroidea. En general pueden reducir el volumen del nódulo más del 50%. La termoablación puede ser una opción en pacientes con nódulos funcionantes que no son candidatos al yodo o cirugía.
La ablación con etanol se reserva para los nódulos quísticos. Está descrita una disminución del volumen del nódulo entre un 50 a 94%. Este procedimiento es más sencillo, se puede realizar en consultorio sin sedación, con menor riesgo de complicaciones18. La ablación con etanol puede considerarse en pacientes con recurrencia tumoral ganglionar como una alternativa a la cirugía de cuello repetida en pacientes seleccionados,en aquellos con mayor riesgo anestésico quirúrgico, así como en pacientes que se niegan a someterse a una cirugía adicional. Ha mostrado ser eficaz y seguro, con bajo porcentaje de complicaciones19.
Conclusión
La ecografía tiroidea es una herramienta esencial en endocrinología para evaluar y manejar patologías tiroideas de manera no invasiva, económica y sin contraindicaciones. Ofrece información clave sobre la estructura y vascularización de la glándula, siendo especialmente útil para la valoración de nódulos y el seguimiento postoperatorio en cáncer de tiroides. Su uso permite la detección temprana y un seguimiento eficiente, mejorando la atención al reducir los tiempos de espera. La correcta interpretación de los hallazgos y su integración con factores clínicos son fundamentales para la toma de decisiones terapéuticas óptimas, lo cual depende de la experiencia y actualización constante de los especialistas.
Referencias