1Becario de Endocrinología Hospital Clínico Universidad de Chile.
2Departamento de Endocrinología Hospital Clínico Universidad de Chile.
Correspondencia: Dra. Marcela Barberán M. Dirección: Departamento de Endocrinología, Hospital Clínico Universidad de Chile, Santos Dumont 999 4º piso, sector E
Fono: 9788430 – (9)4487960 E-mail: marclaes2001@gmail.com
Recibido: 30 Junio de 2009
Aceptado: 14 Agosto de 2009
The prevalence of pituitary among adolescents is 0.1 per million and the most common type is prolactinoma. We report two adolescents with pituitary adenomas. A 15 years old female presenting with a progressive reduction of visual acuity, headache and galactorrhea. Magnetic resonance showed a sellar tumor with suprasellar expansion. She was subjected to transcraneal surgery and the pathological study of the piece disclosed a prolactinoma. A 23 years old male presenting with weight gain, headache and decreased visual acuity of the left eye. Magnetic resonance demonstrated a tumor with sellar and suprasellar involvement. He was subjected to transsphenoidal surgery and the pathological study of the surgical piece disclosed a prolactinoma.
Keywords: Giant prolactinoma in adolescence.
Los adenomas hipofisiarios se describen en cualquier edad, con mayor frecuencia en la edad adulta, siendo claramente minoritarios en ninos y adolescentes.
En estos ultimos se ha observado un aumento de la prevalencia, llegando a constituir casi el 3% de todas las causas de tumores supratentoriales. En las edades puberal y postpuberal, los prolactinomas son los tumores hipofisiarios mas frecuentes. Cuando alcanzan un diametro ≥10 mm se denominan macroprolactinomas.
A continuacion se describen dos casos de macroprolactinomas que corresponderian a la definicion de prolactinomas gigantes o ggianth, forma poco frecuente de prolactinoma de presentacion en el adolescente.
Caso 1
Nina de 15 anos de edad sin antecedentes morbidos. Tuvo su menarquia a los 14 anos, sin menstruaciones posteriores. Desde septiembre del 2008 nota disminucion progresiva de la agudeza visual, asociada a cefalea y galactorrea de 2 anos de evolucion. En marzo de 2009 se realiza campimetria que demuestra hemianopsia bitemporal y el oftalmologo detecta defecto pupilar aferente. La RM mostro un proceso expansivo selar y supraselar solido y quistico de 3 x 3 x 1,9 cm con extension hacia el seno cavernoso izquierdo, con desplazamiento y compresion del quiasma optico especialmente a derecha (Figura 1A). Al examen fisico destacaba hemianopsia bitemporal detectada por confrontacion. Eutrofica con ausencia de caracteres sexuales secundarios, incluido el vello axilar y pubiano (Tanner I). El desarrollo mamario era escaso (Tanner II) y no habia galactorrea. El estudio hormonal pre-operatorio mostraba prolactinemia muy elevada (1967 ng/mL) y calcemia 9,0 mg/dL (VN: 8,1-10,2 mg/dL) (Tabla 1). Se realiza cirugia descompresiva por via transcraneana con reseccion parcial del macroadenoma. La biopsia y el estudio inmunohistoquimico describen la lesion como prolactinoma que, de acuerdo al indice de proliferacion celular, se catalogo como adenoma hipofisiario anaplasico (Prl positiva en 95% de celulas, HGH, ACTH, TSH, FSH, LH negativos, Ki-67 positivo en 8 a 10% de los nucleos). Cursa el postoperatorio sin complicaciones y con recuperacion visual bilateral parcial. Es dada de alta con indicacion de cortisol 20 mg/d, levotiroxina 50 ug/d y cabergolina 0,5 mg 2 veces/semana.
Caso 2
Hombre de 23 anos de edad, sin antecedentes morbidos. Consulta en octubre del 2008 en nuestro hospital por aumento de peso no cuantificado en los ultimos anos, asociado desde hacia un ano a cefalea referida principalmente a la zona interciliar, con disminucion de la vision del ojo izquierdo. Inicio su pubertad a los 14 anos. Al examen fisico destaco la talla baja con proporciones corporales mantenidas, y actitud y voz infantil. La campimetría por confrontación demostró disminución de visión temporal derecha y abolición casi total del campo visual izquierdo. Tenía obesidad de predomino central, con IMC 37, piel gruesa y fría, con vello muy escaso a nivel de genitales (Tanner III). El pene era pequeño (2,5 cm) y los testículos aparecían con buen desarrollo (Tanner IV), sin galactorrea ni ginecomastia. El estudio hormonal pre operatorio demostró: prolactinemia de un “pool” 3177 ng/mL y calcemia 9,7 mg/dL (VN 8,1 -10,2 mg/dL) (Tabla 1) El estudio con TAC y RM selar demostraron una gran lesión expansiva intra y supraselar con carácter sólido-quístico que alcanzaba el tercer ventrículo, comprimiendo el quiasma óptico y la región hipotalámica. No se observaron signos de hidrocefalia (Figura 1B). Se planteó el diagnóstico de prolactinoma gigante con compromiso visual avanzado y grave, ya que en la evaluación oftalmológica se encontraron papilas levemente pálidas en el ojo izquierdo y menos rosada en el ojo derecho, especialmente en la zona temporal. Se constataron defectos de visión heterónimos bitemporales. Se realizó cirugía hipofisisaria por vía transesfenoidal, evolucionando sin complicaciones y con recuperación parcial de la visión del ojo izquierdo. La biopsia y el estudio inmunohistoquímico demostraron un prolactinoma que, de acuerdo al índice de proliferación celular se catalogó como adenoma hipofisiario atípico (Prl positiva en 100% de células, HGH, ACTH, TSH, FSH, LH negativos, Ki-67 positivo en 3 a 4% de los núcleos). Fue dado de alta con cabergolina 0,5 mg 2 veces/ semana y levotiroxina 100 ug/d.

Figura 1. RM (secuencia T1) de la región selar de casos 1 (A) y 2 (B).


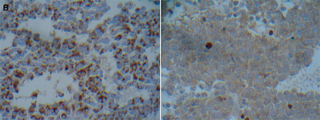
Figura 2. Inmunohistoquímica para prolactina y Ki-67 en casos 1 (A) y 2 (B).
Tabla 1. Exámenes preoperatorios

*Hubo sólo una muestra discordante con recuperación de 51% post PEG y 38% post UF
Discusión
Los adenomas hipofisiarios son menos frecuentes en niños que en adultos, pero su prevalencia ha aumentado en adolescentes1. Corresponden al 2,3 a 6% de los tumores intracraneanos operados a esta edad. La incidencia anual en adolescentes ha sido estimada en 0,1 por millón1,2. Los prolactinomas constituyen el subtipo más frecuente en los adolescentes, seguido por los adenomas productores de GH y ACTH, respectivamente. Los prolactinomas son más comunes en la edad puberal y postpuberal y frecuentemente son macroadenomas. Por otra parte, los adenomas productores de ACTH son habitualmente microadenomas y se presentan antes de la pubertad2,3.
La presentación clínica de los prolactinomas varía según el sexo y la edad, predominando en el sexo femenino (relación 1,7: 1). En los hombres se presentan con mayor tamaño y tienden a ser invasores. En la edad prepuberal, el no tener síntomas o signos mediados por las hormonas sexuales impide hacer un diagnóstico precoz. Sólo cuando el tamaño es mayor se producen síntomas o signos neurológicos que motivan la consulta (cefalea, alteraciones visuales, parálisis de pares craneanos, hidrocefalia o epilepsia)3,6.
La hiperprolactinemia puede producir retraso del crecimiento y de la pubertad. El retraso de crecimiento es infrecuente (4-14%), y los menores percentiles de altura se han descrito en macroadenomas extraselares o invasivos2. Por otra parte, se ha comunicado que la hiperprolactinemia favorece el aumento de peso corporal, lo cual también ha sido observado en adolescentes.
Todas las mujeres en edad postpuberal presentan oligomenorrea o amenorrea y un 71 a 91% galactorrea, signo que debe ser pesquisado dirigidamente en el examen físico debido a que los adolescentes habitualmente no la refieren en forma espontánea. La ginecomastia se describe en 57% de los hombres y los síntomas por efecto de masa varían según el tamaño tumoral2,7.
En la minoría de los adolescentes el hipo o panhipopituitarismo está instalado al momento del diagnóstico; en algunos de ellos se desarrolla después de la cirugía, siendo esto más frecuente en macroadenomas con extensión extraselar. El compromiso visual progresivo o abrupto puede ser el primer signo de presentación a esta edad7.
Durante la niñez los prolactinomas pueden constituir el primer exponente del síndrome de neoplasia endocrina múltiple o MEN 1 con presentación clínica similar a la descrita o de mayor agresividad2.
La complicación más frecuente a largo plazo de la hiperprolactinemia, tanto en adultos como en adolescentes, es la disminución de la densidad mineral ósea principalmente de columna lumbar. Esto, comparado con casos controles de la misma edad y sexo, en la mayoría de los casos existe osteoporosis u osteopenia. Su reversibilidad con la normalización de los niveles de prolactina es discutible, debiendo considerarse otras alternativas terapéuticas para prevenir complicaciones esqueléticas a largo plazo7.
Algunos autores han planteado que a esta edad temprana los prolactinomas serían de crecimiento más acelerado e invasor, sobre todo en el sexo masculino lo que se explicaría por un diagnóstico más tardío. Los mecanismos subyacentes a este comportamiento biológico agresivo no han sido completamente aclarados. Los prolactinomas invasores o “atípicos”, según la clasificación de la OMS 2004, fueron definidos por un índice mitótico elevado, con inmunoreactividad a Ki-67 y p53 elevada (> 3%). Los niveles de prolactina al momento del diagnóstico en este subtipo serían más elevados y estarían directamente relacionados con sus respectivos tamaños. Además, se ha descrito en ellos mayor resistencia a los agonistas dopaminérgicos. La disminución de la expresión del complejo de adhesión E-cadherina/ catenina y la inducción de FGF y VEGF podrían exacerbar el crecimiento, proliferación y angiogénesis, contribuyendo específicamente a la capacidad invasiva de los prolactinomas comparados con otros adenomas hipofisiarios4. Un ejemplo de este grupo serían los prolactinomas descritos como “giant” o gigantes. Son definidos por tener un diámetro mayor a 4 cm y/o extensión supraselar mayor de 2 cm, marcada agresividad, compromiso extraselar extenso, y niveles de prolactina mayores > 1.000 ng/mL2,6. Su prevalencia es desconocida, y estudios recientes comunican que corresponden al 0,5 a 4,4% de todos los tumores hipofisiarios2.
El tratamiento de primera línea, similar al de los adultos, es médico, con análogos de dopamina5, quedando la cirugía reservada para la descompresión óptica rápida, la prevención de la apoplejía hipofisiaria, el manejo de fístula de LCR o hidrocefalia y en aquellos casos refractarios a los agonistas dopaminérgicos3,7. El tratamiento médico ha demostrado ser efectivo en normalizar la prolactina, disminuir el tamaño tumoral, revertir los signos neurológicos, en particular el compromiso visual, y normalizar la función hipofisiaria. La función del eje hipotalámo-hipófisis puede ser también restablecida permitiendo un normal crecimiento y maduración sexual del adolescente1-3. En esta edad, la bromocriptina ha sido usada exitosamente por algunos investigadores aunque hay series que comunican sólo normalización parcial de la prolactinemia. En una de estas ello alcanzó a 38% de los tratados atribuyendo este hecho a una mala adherencia o discontinuación del fármaco por intolerancia gástrica. Ambos, cabergolina y quinagolide, han demostrado ser efectivos en la normalización de la prolactina y en reducir el tamaño tumoral en este grupo etario, aún en casos de resistencia o intolerancia a la bromocriptina. La mayor vida media de cabergolina y su mejor tolerancia la convierten en una excelente herramienta terapéutica en pacientes adolescentes. Los objetivos terapéuticos pueden diferir en casos de prolactinomas gigantes, situación en que resulta primordial evitar un mayor crecimiento tumoral, y las complicaciones más frecuentes como la apoplejía hipofisiaria y la fístula de líquido cefalo-raquídeo. Hay siete series comunicadas sobre tratamiento médico (bromocriptina o cabergolina de novo o adyuvante) en prolactinomas gigantes, con normalización de la prolactinemia en un 65% y reducción a la mitad del tamaño tumoral en un 64%. De esta manera, la normalización de la prolactinemia y la desaparición radiológica del tumor es posible en algunos prolactinomas gigantes. La indicación quirúrgica en este caso corresponde a lo expresado precedentemente7, especialmente cuando hay compresión de la vía óptica neural con detrimento de la visión8,9, existiendo correlación entre el tamaño tumoral y la magnitud del defecto visual10. La evaluación neuro-oftalmológica es esencial y debe ser hecha precozmente para permitir la descompresión quirúrgica oportuna. Son signos directos también de daño al nervio óptico la alteración de la percepción de colores (Test Ishihara), defectos pupilares aferentes y atrofia papilar.
La radioterapia ha sido usada como terapia adyuvante en este tipo de pacientes y se la indica cuando hay resistencia a la terapia médica y/o quirúrgica2.
Referencias