1Residente Becario de Endocrinología. Escuela de Medicina,
Pontificia Universidad Católica de Chile.
2Departamento de Cirugía Oncológica. Escuela de Medicina,
Pontificia Universidad Católica de Chile.
3Departamento de Endocrinología. Escuela de Medicina,
Pontificia Universidad Católica de Chile.
Correspondencia:
Nevenka Vucetich B.
Departamento de Endocrinología. Facultad de Medicina,
Pontificia Universidad Católica de Chile.
Lira 85 5º Piso, Santiago, Chile.
Teléfono: 3543095.
Fax: 6385675.
E-mail: nvucetic@puc.cl.
Recibido: 26 de Abril de 2010
Aceptado: 7 de Septiembre de 2010
We report a 59 years old female with a history of nephrolithiasis and progressive
worsening of her bone mineral density. High serum PTH levels were detected, with
normal serum calcium. Causes of secondary hyperparathyroidism were discarded.
The patient was followed during six years, period in which she maintained elevated
serum PTH and normal serum calcium. During the second year of follow up,
hydrochlorothiazide was indicated. Serum calcium raised progressively and after
six years, it became abnormally high. The patient was subjected to a total left lobe
and subtotal right lobe thyroidectomy. The surgeon found a 1.6 mm diameter left
parathyroid nodule. After surgery the patient is asymptomatic and is receiving levothyroxine
supplementation.
Key words: Primary hyperparathyroidism, normocalcemic hyperparathyroidism,
parathyroid adenoma, hydrochlorothiazide.
El hiperparatiroidismo primario (HPP) es una patología endocrinológica frecuente. Se caracteriza por hipercalcemia con PTH elevada o no suprimida. Usualmente, la fosfemia es normal o disminuida y la calciuria de 24 h aumentada1. La causa del HPP corresponde a un adenoma paratiroideo (> 80%), o menos frecuentemente, adenomas múltiples, hiperplasia paratiroidea (15%) y excepcionalmente cáncer paratiroideo (< 1%).
El perfil clínico de los pacientes con HPP ha cambiado desde ser plenamente sintomático a través de sus complicaciones (litiasis renal, fracturas óseas, osteoporosis y mayor riesgo cardiovascular), a constituir sólo el hallazgo de hipercalcemia en individuos asintomáticos1.
El problema clínico se hace complejo en aquellos casos con PTH elevada y calcemia normal, sin condiciones evidentes que expliquen dicha situación como hiperparatiroidismo secundario (HPPS)2. Descartadas las causas de HPPS: hipercalciuria renal idiopática, síndrome de mala absorción intestinal, deficiencia de vitamina D de larga data, insuficiencia hepática o renal crónica, queda en pie una entidad que no sabemos si corresponde a una etapa evolutiva, normocalcémica, del HPP clásico o es genuinamente una patología distinta desde el inicio. Respecto a este cuadro, conocido como hiperparatiroidismo primario normocalcémico (HPPN), se desconoce su historia natural y fisiopatología, al contrario de lo que sucede con el HPP.
Presentamos el caso de una paciente de 59 años, seguida durante 6 años con concentraciones sanguíneas de calcio en nivel normal superior y concentraciones concomitantes de PTH claramente elevadas. El uso de hidroclotiazida permitió poner en evidencia la conjunción bioquímica propia del HPP clásico y consecuentemente, lograr la extirpación de un adenoma paratiroideo.
Caso clínico
Mujer de 51 años de edad (talla 1,53 cm, peso 49 kg), que consultó por detrimento progresivo de la densidad mineral ósea (DMO) de hueso cortical, con el antecedente de litiasis urinaria cálcica bilateral (cálculo de 4 mm uréter derecho y dos más pequeños a izquierda). Su menopausia fue a los 54 años y recibió tratamiento de reemplazo hormonal semanal (parches de 50 mcg de estradiol y 10 mcg de levonorgestrel) durante todo el período de observación. Las calcemias y fosfemias habían sido persistentemente normales (Ca: 9,9 mg/dL, VN 8,5-10,5 mg/dL; Albúmina: 4,3 g/dL, VN: 3,5- 5,0 g/dL; P: 3,3 mg/dL, VN: 2,6-4,5 mg/dL). El estudio del metabolismo fosfo cálcico confirmó la condición de hiperparatiroidismo, sin aclarar taxativamente el carácter primario o secundario de él dado el valor limítrofe de la calcemia (Ca: 10,4 mg/dL, PTH 121 pg/mL, VN: 15-65 pg/mL) y los niveles de Vit D que aunque no claramente falentes tampoco alcanzaron cifras que descartaran totalmente algún grado de déficit. Así, se constituyó un cuadro de hiperparatiroidismo de difícil clasificación en cuanto a su origen (Tabla 1).
Se mantuvo en control cada 6 meses midiendo: Ca, P, albúmina y PTH, observándose persistencia del mismo patrón inicial. Al completar dos años de seguimiento se indicó hidroclorotiazida oral (25 mg/d por 18 meses y luego 37,5 mg/d por otros 42 meses), con lo que progresivamente se evidenció ascenso de la calcemia hasta superar el límite de normalidad, adquiriendo las características del HPP (Figura 1).
Tabla 1. Estudio inicial del metabolismo fosfo-cálcico

Figura 1. Evolución de las concentraciones
séricas de Ca y
PTH durante 6 años de seguimiento.
La evaluación de la densidad ósea, hecha durante 6 años en un mismo equipo DEXA Lunar, mostró un progresivo deterioro alcanzando la condición de osteoporosis a nivel de cuello femoral (Tabla 2).
Tabla 2. Evolución de la DMO durante 6 años de seguimiento
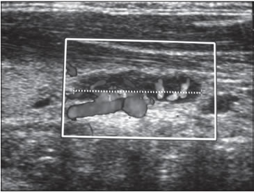
La ecografía cervical de alta resolución, mostró inicialmente
que la estructura glandular tiroidea era heterogénea, y
existía, detrás del polo inferior del lóbulo izquierdo, un nódulo
ovoideo de 14 mm de diámetro, irrigado por una arteriola
independiente (Figura 2). En controles anuales, el nódulo
descrito no presentó variaciones y mantuvo su característica
de independencia vascular.
En el control ecográfico preoperatorio se visualiza otro nódulo de localización ístmica, hipoecogénico, de textura homogénea, vascularizado, sin calcificaciones, bien delimitado, de 9 x 10 mm; este nódulo fue calificado con puntaje 2 de acuerdo a la escala predictora de malignidad según las características ecográficas3. Se efectuó punción aspirativa con aguja fina (PAAF) de este nódulo que demostró ser de naturaleza coloidea.
El cintigrama paratiroideo con Tc 99 SESTAMIBI, señaló aumento de la captación del isótopo en posición inferior derecha (imágenes precoces) y otra imagen sospechosa a la altura del polo inferior izquierdo (imágenes tardías). Repetido el cintigrama 14 meses después persistía la imagen derecha, esta vez con captación más notoria que en el examen anterior, sin visualizarse la zona captante descrita a izquierda.
La paciente fue sometida a lobectomía tiroidea izquierda y subtotal derecha. El cirujano encontró un gran nódulo paratiroideo inferior izquierdo (1,6 cm de diámetro mayor, 300 mg de peso) en correspondencia con la imagen descrita por la ecografía y el cintigrama inicial, el cual se extirpó. En el polo inferior del lóbulo tiroideo derecho se encontró un nódulo que resultó ser hiperplasia folicular coloidea. La glándula tiroides tenía además una extensa tiroiditis linfocitaria. Las tres paratiroides restantes fueron identificadas y consideradas normales por el cirujano.
La medición intraoperatoria de PTH evidenció que la extirpación
del adenoma se asoció a 44% de descenso a los 10
minutos respecto de la concentración basal de esta hormona
(Figura 3). Al día siguiente de la intervención quirúrgica las
cifras eran Ca: 9,4 mg/dL; P:2,7 mg/dL y PTH 56,3 pg/mL.
A los 15 días del postoperatorio, se constató Ca: 10,1 mg/dL;
P: 3,5 mg/dL y PTH 59,8 ng/mL. A los 70 días de operada se
inicia hidroclorotiazida 37,5 mg/d; 24 días más tarde se obtienen
los siguientes resultados: Ca:10,1 mg/dL; P: 3,4 mg/
dL; albúmina: 4,6 mg/dL; PTH: 61,3 ng/dL; Ca en orina: 221
mg/24 h; Creatininuria 980 mg/24 h; índice urinario Ca/Cr:
0,225.
La paciente se mantiene asintomática y eutiroidea, recibiendo suplementación con levotiroxina.
Figura 2. Ecografía que muestra nódulo retrotiroideo izquierdo de
14 mm x 6 mm. Nótese la presencia de una arteriola que irriga independientemente
la lesión.
Figura 3. Evolución intraoperatoria
de la PTH. El punto cero
marca el momento de la exéresis
del adenoma.
Discusión
En general, el diagnóstico de HPP se fundamenta en la conjunción de hipercalcemia y PTH no suprimida. En pacientes asintomáticos es la hipercalcemia la primera clave de sospecha de la enfermedad, o también la pesquisa de osteoporosis.
En las últimas décadas y, debido a la creciente preocupación por la salud ósea, se ha descrito cada vez más el hallazgo de pacientes con calcemia normal y ascenso de PTH, sin causas que den cuenta de esta asociación como un hiperparatiroidismo secundario. Dentro de las explicaciones de la normocalcemia con PTH elevada4, se deben considerar las siguientes posibilidades:
La posibilidad de que la etapa normocalcémica corresponda a un genuino HPP o a un HPPN es difícil de aclarar salvo por los hechos que marque el seguimiento evolutivo. Así, la historia natural del HPPN no está aún aclarada. Un estudio observacional prospectivo de 37 pacientes catalogados como HPPN4, mostró que 73% de ellos fueron diagnosticados a raíz de densidad ósea baja, 11% por fracturas y 14% por litiasis urinaria. El 57% de estos 37 pacientes tenían osteoporosis (según criterio WHO) en al menos un sitio. El 19% del total llegó a ser hipercalcémico dentro de los 3 primeros años de observación. La población que viró hacia la hipercalcemia era de mayor edad y tenía un mayor nivel de calcio inicial respecto del grupo que permaneció normocalcémico (9,7 mg/dL vs 9,3 mg/dL, p < 0,001). No se demostraron diferencias en el nivel de PTH ni en la DMO entre ambos grupos. Nuestra paciente se asemeja a estos sujetos en el compromiso óseo y urinario y la persistente normocalcemia durante un prolongado seguimiento, reconociendo sí que existió un valor aislado de calcio iónico levemente superior a lo normal.
A pesar del bajo número de pacientes de esa investigación que desarrolló hipercalcemia (n:7), 41% del total demostró evidencias de progresión de la enfermedad paratiroidea con disminución de DMO, hipercalciuria, litiasis renal y fracturas. Es decir, estos pacientes presentaron complicaciones similares a las propias de los con HPP hipercalcémico, lo que hace presumir que se podría tratar de otra forma de presentación de esta enfermedad, y que sólo algunos de ellos se harían hipercalcémicos. El hecho que el HPPN pueda permanecer mucho tiempo en la condición de normocalcemia, hablaría más a favor de una entidad distinta que de una etapa de transición de la enfermedad clásica. Sin embargo, no puede desconocerse que en la falta de elevación de la calcemia el rol de los niveles de vitamina D puede ser substancial.
Si bien algunos estudios han mostrado que el exceso de PTH en pacientes HPPN sería menor que en los HPP hipercalcémicos, existe una amplia sobreposición de valores entre ambos grupos. Es decir, hay pacientes que con igual nivel de PTH tienen hipercalcemia y otros no. Para entender la causa de este fenómeno, una investigación prospectiva estudió pacientes con hiperparatiroidismo normo e hipercalcémico, pareados con respecto a edad, sexo y con iguales concentraciones de PTH, encontrando que en el grupo normocalcémico existía una menor liberación de calcio óseo (medida como uCa/uCr) y una menor elevación de los marcadores de recambio esquelético. Comparativamente con el grupo hipercalcémico, a nivel renal los pacientes normocalcémicos muestran menor reabsorción tubular de calcio, mayor reabsorción tubular de fósforo y menor capacidad de la PTH para estimular la síntesis de 1,25(OH)2 vitamina D5. La conjunción de los elementos anteriores plantea que, en los pacientes con HPPN, existiría algún grado de resistencia a la acción de PTH a nivel renal y óseo. Nuestra paciente, mujer activa, expuesta a la luz solar, con alimentación completa y balanceada y bajo un régimen de altos niveles de PTH, muestra concentraciones de vitamina D insatisfactorias, lo que recordaría el argumento mencionado de resistencia renal a la acción de PTH.
Un elemento que también debe considerarse en las mujeres es el eventual efecto protector que los estrógenos tendrían sobre la acción de PTH en el hueso7, de modo que el hipoestrogenismo postmenopáusico crearía una situación de mayor sensibilidad a PTH. Al contrario, el tratamiento de reemplazo estrogénico postmenopáusico podría aminorar el efecto hipercalcemiante de la PTH. Nuestra paciente, tuvo su menopausia a los 54 años y mantuvo durante toda la observación tratamiento de reemplazo con estradiol por vía cutánea en dosis bajas y con concentraciones de estradiol plasmático entre 40 y 47 pg/mL. De todos modos, esta explicación sólo parece ser de índole coadyuvante y no alcanza el grado de causa suficiente.
Habiendo completado dos años de seguimiento decidimos intentar develar si nuestra paciente alcanzaba un grado de hipercalcemia que permitiera catalogarla como HPP clásico. Al respecto, con esta misma intención se ha propuesto efectuar una prueba de 3 horas con una carga oral de 1 g de calcio, que permitiría, con la conjunción de los parámetros medidos en sangre y orina, diagnosticar el HPPN con 100% de sensibilidad y 87% de especificidad.8 Otro estudio, usando un test de sobrecarga oral de calcio demostró que a pesar que la calcemia, incluso iónica, sube sobre lo normal, se asiste sólo a una mínima reducción de PTH, que persiste elevada (PTH promedio precarga 82 ng/mL y promedio postcarga 62 ng/mL).7
En nuestro caso optamos por usar a largo plazo hidroclorotiazida, cuyo conocido efecto de aumento de la reabsorción tubular renal de calcio, pudiera poner en evidencia la condición hipercalcémica. Iniciamos dosis pequeñas hasta llegar a 37,5 mg/d y, al cabo de 24 meses se hizo patente la hipercalcemia moderada con PTH incluso en ascenso (Figura 1). Creemos que esta prueba llevada con cautela y control suficiente es una herramienta de fácil manejo y muy bajo costo que ayudaría a dilucidar la etiología de la normocalcemia.
Juntando los hechos clínicos de litiasis urinaria, osteoporosis inicial en hueso cortical e identificación ecográfica y cintigráfica de un adenoma paratiroideo se decidió su extirpación, lo cual fue confirmado en el estudio anatomopatológico, con la evidencia de un adenoma paratiroideo de 300 mg de peso. Al respecto, en una serie de 34 pacientes con HPPN se operó al 21% de ella (n:7); en 4 de ellos se confirmó la presencia de un adenoma paratiroideo y en el resto se encontró enfermedad multiglandular4.
El control intraoperatorio de las concentraciones de PTH demostró una caída de 44% con respecto a la basal (Figura 2), lo cual no cumple a cabalidad con la cifra mínima de 50% de caída descrita para las operaciones de HPP hipercalcémico. Debe tenerse en cuenta que la situación de la paciente no es homologable a la descrita para HPP9, debido a que la supresión de las restantes glándulas paratiroides es sólo parcial, debido a la normocalcemia, y por lo tanto, puede esperarse alguna contribución secretora de PTH de parte de ellas. Sin embargo, tampoco podemos negar la posibilidad, como sucede en el HPP hipercalcémico, que exista otro adenoma pequeño o enfermedad multiglandular paratiroidea hiperplásica. Desde la operación nuestra paciente mantiene cifras de calcemia y PTH estables, ambas en el espectro alto de lo normal. En el ánimo de probar la respuesta de las glándulas paratiroides restantes usamos durante 24 días hidroclorotiazida en dosis semejantes a las utilizadas anteriormente, sin detectar variaciones tanto de la calcemia como de la PTH. En este sentido, la respuesta al diurético fue distinta a la observada preoperatoriamente, sin desconocer que en esa oportunidad el tratamiento fue de largo alcance.
La conjunción de concentraciones séricas de calcio y PTH, que aunque normales persisten en nivel alto, plantea la duda razonable que la forma clínica de HPPN corresponda a una enfermedad multiglandular paratiroidea, como ha sido descrita en un gran número de los casos de HPP operados4.
Sólo el seguimiento ajustado de su evolución permitirá clarificar si se trataba sólo de un adenoma, enfermedad poliglandular en evolución, o menos probable se haga evidente un HPP clásico. El carácter genuinamente primario del adenoma parece claro, aunque no es totalmente descartable que en una situación de hiperparatiroidismo secundario una de las glándulas haya alcanzado la independencia terciaria.
En resumen, presentamos el caso clínico de una paciente con hiperparatiroidismo con compromiso óseo y renal, en quien descartamos convenientemente causas secundarias de estímulo a PTH como hipercalciuria renal idiopática, insuficiencia renal y hepática, síndrome de mala absorción intestinal, aunque con niveles de vitamina D que de acuerdo a las normas actuales aparecen como insuficientes. Durante un seguimiento de 6 años hicimos evidente la condición hipercalcémica, mediante el uso de hidroclorotiazida. La extirpación de un adenoma paratiroideo mejoró los parámetros propios del metabolismo fosfo-cálcico, pero mantiene abierta la interrogante sobre la estabilidad de esta normalización en el tiempo y la posibilidad que se trate de una enfermedad pluriglandular subyacente. La creciente mayor información que se está generando sobre el HPPN nos permitirá reevaluar a la luz de esos antecedentes la evolución.
Referencias