1Interno VII Año de Medicina, Sede Occidente, Facultad de Medicina, Universidad de Chile.
2 Servicio de Medicina Interna, Hospital San Juan de Dios.
3Servicio de Anatomía Patológica.
4Hospital San Juan de Dios, Unidad de Endocrinología, Servicio de Medicina, Hospital San Juan de Dios.
No existe conflicto de intereses
Trabajo no requirió financiamiento adicional
Correspondencia a:
Amanda Ladrón de Guevara Hernández.
Huérfanos 3255, Hospital San Juan de Dios
Fono: 6816693
Fax: 6816693
E-mail: a.ldeguevara@yahoo.com
Recibido: 15 de Julio de 2011
Aceptado: 17 de Agosto de 2011
Brown tumors are an uncommon manifestation of primary and secondary hyperparathyroidism. We report a 38 years old male consulting for generalized bone pain and prostration caused by multiple osteolytic lesions. Diagnostic work up disclosed a primary hyperparathyroidism secondary to a right parathyroid adenoma. The patient was subjected to a parathyroidectomy. After one year of follow up, symptoms have decreased considerably, laboratory parameters are normal and bone lesions are disappearing.
Key words: Hyperparathyroidism, osteitis fibrosa quística, parathyroid adenoma.
Paciente de sexo masculino, 38 años, con antecedentes de Hipertensión arterial, nefrolitiasis a repetición, fracturas múltiples secundarias a trauma de baja energía y conductas antisociales desde los 20 años de edad. Sin antecedentes familiares relevantes.
Inicialmente consulta en Traumatología por dolor óseo generalizado que le impide la deambulación, solicitándose estudio radiológico que muestra múltiples lesiones osteolíticas que fueron biopsiadas.
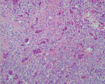
Las biopsias de clavícula y tibia derecha mostraron proliferación fibrohistiocítica de tipo benigno (Figura 1), por lo que es derivado a Endocrinología para descartar posible hiperparatiroidismo.
Los exámenes de laboratorio iniciales muestran calcemia 14,9 mg/dl (VN: 8,5-10,5 mg/dl), fosfemia 2,1 mg/dl (VN: 2,5-5 mg/dl), Parathormona (PTH) 1.862 pg/ml (VN: 11-67 pg/ml), 25-OH vitamina D 30 ng/ml (VN: 3,5-5), albúmina 4,5 mg/dl (VN: 3,5-5 mg/dl), Fosfatasa alcalina 910 U/L (VN), creatinina 1,7 mg/dl (VN: 0,6-1,3 mg/dl). Se realiza Ecografía cervical de alta resolución (Figura 2) que muestra tiroides normal y un nódulo hipogénico de 3 x 1,2 cm inferior derecho, compatible con un posible adenoma paratiroídeo, el que se confirma por un Cintigrama paratiroídeo con Tc99 SESTAMIBI, que muestra concentración anormal del trazador en región cervical, en relación a polo inferior del lóbulo tiroídeo derecho (Figura 2).
Figura 1. Tumor pardo caracterizado por una proliferación fibrohistiocítica vascularizada y con células gigantes multinucleadas de tipo osteoclasto. (Tinción Hematoxilina- Eosina. Ampliación 40X).

Figura 2. A) Ecografía cervical que muestra nódulo hipogénico de 3 por 1,2 cm inferior en el lóbulo tiroideo derecho, compatible con adenoma paratiroídeo. B) Cintigrama paratiroídeo con Tc99 SESTAMIBI.
Se complementa estudio con Cintigrama óseo (Figura 3A), que muestra alteraciones cintigráficas difusas y focales del esqueleto, concordantes con enfermedad ósea metabólica y una Ecografía renal que muestra signos de nefropatía médica y litiasis renal bilateral. La evaluación de la densidad ósea mostró a nivel de columna lumbar L2- L4 un Z score de -2,1 y a nivel de cadera izquierda completa un Z score -2,8. (Equipo DEXA Lunar).
Por dolor intenso a nivel de columna dorsal se estudió con Tomografía Axial Computarizada y Resonancia Magnética (Figura 4), las que mostraron proceso infiltrativo a nivel de la vértebra T4, que desplaza la médula realizándose fijación de columna dorsal a este nivel. Biopsia compatible con tumor pardo (Figura 4).
Figura 3. A) Cintigrama óseo preoperatorio. B) Cintigrama óseo un año postoperatorio.

Figura 4. Resonancia magnética de columna dorsal muestra proceso infiltrativo a nivel de T4, que desplaza la médula.

Se realiza exploración quirúrgica cervical, encontrándose nódulo paratiroídeo inferior derecho de 2 cm de diámetro, cuya biopsia fue compatible con adenoma de células oxifílicas y principales, sin atipias, siendo el resto de paratiroides de aspecto normal. En el postoperatorio evoluciona con calcemia 10,2 mg/dl, fosfemia 2,5 mg/dl y PTH 45 pg/ml.
Paciente regresa a control un año después de la cirugía, asintomático, sin dolor óseo y deambulando sin dificultad. Sus exámenes de control muestran calcemia 9,7 mg/dl, albúmina 4,0 mg/dl; PTH 20 pg/ml, creatinina 1,7 mg/dl. Además se realiza cintigrama óseo de control (Figura 3B), que muestra alteraciones cintigráficas polifocales de menor intensidad y extensión con respecto al preoperatorio. Al reevaluar la densidad ósea, se evidenció una notable mejoría tanto a nivel de columna lumbar L2- L4 con un Z score de 0,6 como a nivel de cadera izquierda completa con un Z score 0,1. (Equipo DEXA Lunar).
Discusión
Presentamos un caso excepcional de hiperparatiroidismo primario con hipercalcemia grave, probablemente de larga evolución dada la presencia de un compromiso óseo muy extenso. En la actualidad, el diagnóstico de hiperparatiroidismo primario suele hacerse en etapa muy precoz, habitualmente asociado al hallazgo de hipercalcemia leve en un sujeto asintomático. Es por ello que la presentación de hiperparatiroidismo primario con tumores pardos es una situación extraordinariamente infrecuente en la actualidad.
El hiperparatiroidismo primario se caracteriza por la hipersecreción de PTH, la que es causada por adenomas en el 85% de los casos, asociado en el laboratorio a la presencia de hipercalcemia e hipofosfemia, lo que lleva a múltiples manifestaciones clínicas como urolitiasis, trastornos digestivos y neurológicos. El hiperparatiroidismo primario es diagnosticado por el hallazgo de tumores pardos en el 4,5% los casos1.
El hiperparatiroidismo secundario resulta, entre otras etiologías, como consecuencia de la evolución de la enfermedad renal crónica; en este caso, en el laboratorio existe hipocalcemia e hiperfosfemia, por lo que carecen de la sintomatología derivada de la hipercalcemia. En este grupo, el 1,5-1,7% de los pacientes desarrolla tumores pardos2,3.
Los tumores pardos (antiguamente conocidos como enfermedad de von Recklinghausen, quien la describió en 1891), corresponden a lesiones óseas benignas, uni o multifocales y se presentan infrecuentemente en el hiperparatiroidismo, tanto primario como secundario2,4.
Su aspecto histológico característico consiste en la presencia de lesiones osteolíticas asociadas a células gigantes multinucleadas y fibrosis peritrabecular progresiva. Estas alteraciones son secundarias al incremento de la actividad osteoclástica y corresponden a la etapa terminal de la remodelación ósea que ocurre debido al hiperparatiroidismo3,5.
Macroscópicamente, son lesiones de color café, debido a la vascularización, hemorragia y depósitos de hemosiderina5.
Clínicamente se caracterizan por aumentos de volumen dolorosos, de crecimiento lento, ocasionalmente asociados a fracturas en hueso patológico, las que se pueden encontrar en cualquier hueso, pero cuya ubicación más frecuente es la región maxilofacial, clavícula, costillas, pelvis y/o fémur, habiéndose reportado en múltiples otras localizaciones, como espinal, generando incluso compromiso medular5-7. Se pueden manifestar a cualquier edad, pero principalmente en mayores de 50 años, siendo tres veces más común en mujeres que en hombres2.
Radiológicamente, se presentan como áreas redondas de osteolisis de hasta 7 cm de diámetro, expandiendo la cortical, sin compromiso de tejidos blandos, con márgenes regulares y de bordes escleróticos. En la tomografía se observa una masa de tejido blando relativamente bien definida, con erosión y expansión del hueso local7.
Su diagnóstico diferencial incluye, en los casos de tumores únicos, múltiples patologías esqueléticas como condroma, fibroma condromixoide, displasia fibrosa, quistes óseos, fibroxantoma, osteosarcoma telangiectásico, histiocitosis de células de Langerhans y tumores de células gigantes7. En los casos de lesiones múltiples se hace indispensable el diagnóstico diferencial con metástasis óseas, por lo que puede ser necesario un estudio básico que incluya, radiografía de tórax, ecotomografía abdominal, mamografía y estudio de laboratorio8.
El tratamiento del tumor pardo depende de su localización, evolución y de la causa del hiperparatiroidismo7. Existe consenso de que el tratamiento de elección en el hiperparatiroidismo primario es la paratiroidectomía, la que al disminuir el nivel de PTH circulante lleva a una disminución de tamaño o la desaparición del tumor9, en el manejo de las lesiones residuales, algunos autores plantean el uso de glucocorticoides sistémicos para reducir el tamaño tumoral seguido de la remoción quirúrgica de la lesión10. En cuanto a las lesiones derivadas de hiperparatiroidismo secundario, el tratamiento definitivo es el transplante renal, por lo que la enfermedad ósea asociada a esta patología puede ser prevenida por tratamiento médico, combinando el uso de carbonato de calcio, vitamina D y antiácidos de hidróxido de aluminio para el control de la hiperfosfemia, asociado o no a tratamiento quirúrgico según la ubicación de la lesión11.
En resumen, presentamos el caso clínico de un paciente con hiperparatiroidismo primario que consultó por un compromiso óseo difuso e invalidante. El estudio dirigido determinó la presencia de un adenoma paratiroídeo, que se extirpó quirúrgicamente causando regresión de las lesiones óseas y de la sintomatología asociada, lo que le permitió retomar su vida normal. Queremos destacar este caso clínico, ya que en la actualidad es poco frecuente diagnosticar hiperparatiroidismo primario de tan larga evolución natural que produzca este nivel de compromiso óseo.
Referencias